вверх
отправить
поиск
админ
главная
|
Остеосинтез при импрессионном переломе заднего отдела наружного мыщелка tibia? |
 |
 |
 |
Отправлено Данил Близнец 21 Январь 2008, 17:31 УНИИТО
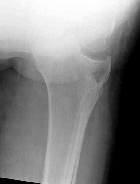
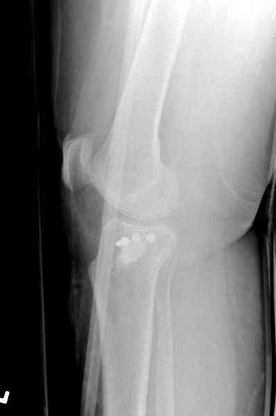
Здравствуйте, уважаемые коллеги!Подскажите, пожалуйста, какой выбрать доступ и способ фиксации при импрессионном переломе заднего отдела наружного мыщелка большеберцовой кости. Женщина 40 лет, травму получила 02.01.2008, катаясь на горных лыжах.Есть ли здесь необходимость использовать задний доступ, или можно справиться через наружный? Есть ли шансы сделать закрыто - под ЭОП через медиальное "окошко" поднять забойником суставную поврехность? Какой лучше использовать фиксатор?Спасибо.
<
|
>
|
|
Ответить
|
Re: Остеосинтез при импрессионном переломе заднего
Djoldas Kuldjanov 23 Январь 2008, 00:19
|
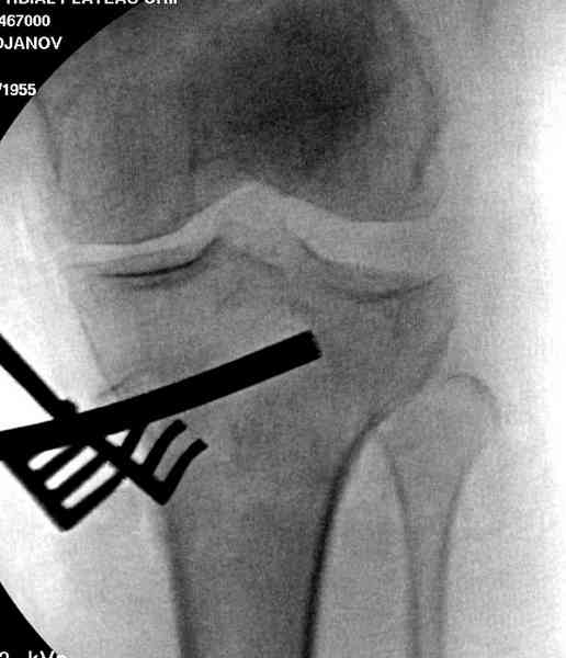
Из медиального окна можно приподнять латеральную
импрессию. Фиксация тремя параллельными шурупами в
эпифизарной части над импрессией. Создается крыша,
которая предупредит коллапс. На образовавшуюся полость - костная пластика из аутокости или синтетический заменитель. Мы применяем Osteoset в 4-5 мм диаметре таблеточки или иньекционную форму Prodens.
Djoldas Kuldjanov, MD
Department of Orthopedic Surgery
|
[
Ответить ]
|
Re: Остеосинтез при импрессионном переломе заднего
Отправитель: Савранский Александр 25 Январь 2008, 01:10
|
Уважаемый Джолдас!
Вы контролируете положение малоберцового нерва?
И если можно поподробнее про репозицию из медиального окна.
Заранее спасибо.
|
[
Ответить ]
|
Re: Остеосинтез при импрессионном переломе заднего
Отправитель: Djoldas Kuldjanov 26 Январь 2008, 00:21
|
>Вы контролируете положение малоберцового
> нерва?
Нет, малоберцовый внизу, фиксацию проводим на верхнем эпифизе, где твердая кость. Задача состоит
в том, чтобы создать арматуру из нескольких проведенных шурупов на эпифизе.
>И если можно поподробнее про репозицию из
> медиального окна.
Медиально, обычно на протовоположной
строне, делается окно в кортикальном слое, кривым забойником под рентгеном поднимается импрессия.
Лет 10 назад пытались комбинировать внутрисуставной контроль артроскопом,
но из-за увеличения операционного
времени и сложности манипуляции многие отказались от такой техники.
После заполнения образовавшейся полости в метафизе
кортикальное окно можно прикрыть.

Это техника применяется, когда имеется
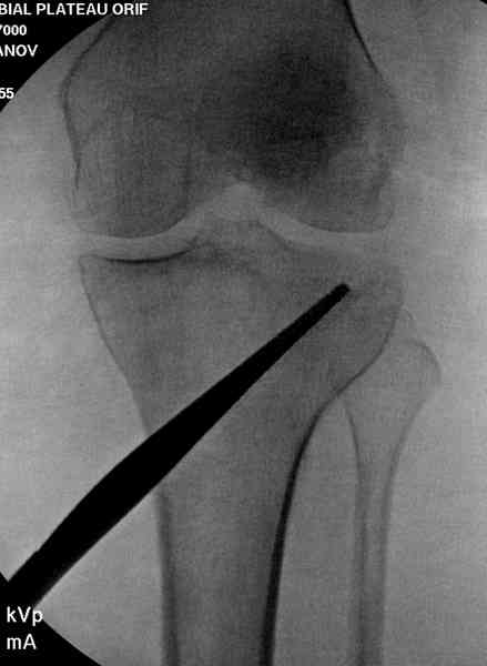
центральная импрессия, а при ипрессии с краевым переломом - после приподнимания импрессии опорная (Butress) пластина, как на снимке.
|
[
Ответить ]
|
|
Re: Остеосинтез при импрессионном переломе заднего
George Thomas 29 Январь 2008, 01:04
|
In this situation, where the fragment is posterolateral, one needs a posterior approach, either as described by Timothy Bhatacharya et al in 2005 in JOT, which involves taking down the medial head of the gastrocnemius, or the Lobenhoffer paper which involves a transfibular approach.
Hope this helps.
|
[
Ответить ]
|
Re: Остеосинтез при импрессионном переломе заднего
Отправитель: dan schlatterer 29 Январь 2008, 01:10
|
would anyone consider an anterolateral approach with a sagital osteotomy just lateral to midline?
this would give access to the impacted posterior region. then "backgraft", and fix the osteotomy
fragment with a standard anterolateral plate. thanks.
|
[
Ответить ]
|
|
( Ответить )
|
|