ВХОД ДЛЯ ПАЦИЕНТОВ
вверх
поиск
админ
главная
исходное
|
Re: ложный сустав после остеосинтеза плеча
послал Anatoly F. Lazarev 23 Февраль 2008, 01:04
|
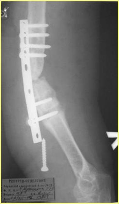
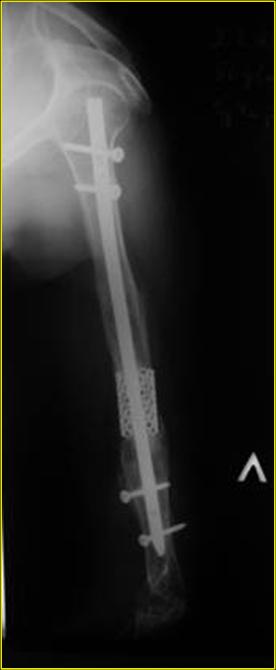
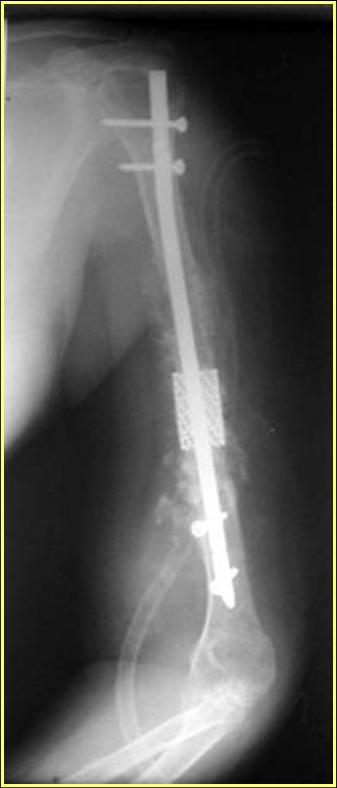
Типичная положительная ситуация для интрамедуллярного остеосинтеза с
использованием опорного металлокаркаса для компенсации дефекта.
Послеоперационное ведение активное или агрессивно-активное. Каркасы
можно заказать в МАТИ.


Рентгеновская версия реконструкции. хронология:
после операции, 2 мес. после операции, через 1 год
Движения в полном объеме восстановлены к 2 мес. после операции. Если надо могу показать мультик. Сейчас уже прошло более 3 лет, больная не
показывается. Успехов ЛАФ.
|
| Послать ответ |
Обратите внимание: Поля с жирными названиями обязательны.
Старайтесь отвечать в рамках обсуждаемой темы, а не начинать новые обсуждения.
Указывайте адекватную тему сообщения, чтобы было ясно, о чем оно.
Не послайте сообщений не по теме (оффтопик), раздраженных, грубых или обидных комментариев. Здесь это неуместно.
|