Ответить
|
Re: ложный сустав после остеосинтеза плеча
В.Машталов 21 Февраль 2008, 19:36
|
Ув коллега!
Создатся впечатление, что трубка плечевой кости на дистальном отломке достаточная, чтобы сформировать канал., адаптирующая резекция концов,
антеградно гвоздь, мах низко ввести до локтевой ямки. Лучше использовать реконструктивный гвоздь с возможность компрессии и блокированием несколькими винтами. В зоне контаткта отломков в качестве костной пластики использовать оболочку "шара". Так-же можно использовать метеллокаркасную пластику (разработки А.Ф. Лазарева), своего опыта нет, но зная его работы, кажется, это тот случай.
С ув. В.Д. Машталов
|
[
Ответить ]
|
Re: ложный сустав после остеосинтеза плеча
Отправитель: Alexander Chelnokov 21 Февраль 2008, 23:16
|
>достаточная, чтобы сформировать канал., адаптирующая резекция концов,
антеградно гвоздь, мах низко ввести до локтевойй ямки.
Видимо, правомочен вариант и без адаптирующей резекции.
Лучше использовать реконструктивный гвоздь
Надо ли выдумывать новые названия типов для уже названных, или использовать старые названия не по назначению? Реконструкционный гвоздь - это для бедра, с двумя наклонными винтами в шейку. Такого названия для плечевых гвоздей любого дизайна просто не существует - поищите в Google хоть по "reconstruction humerus nail", хоть по "reconstructive". Есть проксимальные гвозди, которые с бОльшим количеством отверстий.
с возможность компрессии и блокированием несколькими
винтами.
Длина периферического отломка немаленькая, можно использовать и всего один винт, а в проксимальном отломке - тоже один, с компрессирующей заглушкой.
Так-же можно использовать метеллокаркасную пластику (разработки А.Ф. Лазарева), своего опыта нет, но зная его работы кажется это тот случай.
Тут же не будет необходимости возмещать длину, даже если все-таки сделать резекцию концов, и тем более, если ее не делать. По-моему, вставка кейджа тут не решит никаких проблем, только увеличит травматичность.
Еще один вариант штифтования - сформировать канал, ввести расширяемый гвоздь, внешним аппаратом сдавить фрагменты, и раздуть гвоздь. Он в качестве эндопротеза должен бы неплохо себя проявить.
|
[
Ответить ]
|
|
Re: ложный сустав после остеосинтеза плеча
sergey 21 Февраль 2008, 21:19
|
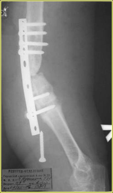
не изобретайте велосипед! задниий доступ- т.к. н,3 плеча,удаление пластины, декортикация,остеосинтез LCP пластиной узкой, которая фиксируется винтами 3,5 мм в дистальгом отделе и 5 мм винтами в проксимальном отделе, костная пластика экзостозами.
|
[
Ответить ]
|
Re: ложный сустав после остеосинтеза плеча
Отправитель: Антон Бехтерев 22 Февраль 2008, 18:08
|
Все то же самое, только остеосинтез не накостный, но БИОС с расверливанием каналов из отломков.Так, как выполняется неблокируемый интрамедуляррныйз.
|
[
Ответить ]
|
|
Re: ложный сустав после остеосинтеза плеча
Константин Глазков 21 Февраль 2008, 22:33
|
Добрый вечер. Возможно произвести реостеоситез с костной пластикой и фиксацией пластиной с угловой стабильностью. Желательно бы увидеть первичные снимки после остеосинтеза.
|
[
Ответить ]
|
Re: ложный сустав после остеосинтеза плеча
Андрей Волна 22 Февраль 2008, 00:09
|
Добиться формирования ложного сустава плеча сложно, но, как демонстрирует данный случай - можно. Я бы не стал, если это был бы мой пациент, имплантировать гвоздь в данной ситуации. Биологически не оправдано - периостальный кровоток уже страдает, внутрикостный лучше не компрометировать в такой ситуации, технически - крайне сложно, - посмотроите на канал в дистальном отломке, механически - проблематично, здесь всё же абсолютная стабильность была бы лучше относительной. Замещать дефект не нужно, на функцию не повлияет, а вот добиться консолидации будет ещё сложнее. Задний доступ, удаление конструкции, декортикация, аутоспонгиоза из крыла, взятая ацетабулярным римером. Желательно смешать с Хроносом - крупные гранулы. Компрессионный остеоситез широкой 4,5 мм LC LCP - длинной, на 10-11 отверстий пластиной, по 3 бикортикальных винта в каждом отлмке, 2 из которых блокированные. Активная гимнастика сразу же. Наверное, есть и другие пути, но я бы предпочёл именно такой. Волна
|
[
Ответить ]
|
Re: ложный сустав после остеосинтеза плеча
Отправитель: В.Машталов 22 Февраль 2008, 18:12
|
Вспоминаю наши дискусии "что после пластины- пластина или гвоздь", несомненно есть рациональность в сохранении того, что осталась,
внутрикостного кровотока.
Однако в данном случае Вы расчитываете на периостальное сращение, а пластину рекомендуете укладывать сзади, удаляя предыдущую с латеральной стороны, даже с оглядкой на LCP версию, не большой ли удар по оставшемуся периостальному
кровоснабжению ? Да и дистальный отломок достаточно мал, смоделировать широкую LCP в этой зоне технически сложно. Если пластина, то может быть со старого доступа и метафизарная версия под 5,0 и 3,5 винты.
с уважением В.Машталов
|
[
Ответить ]
|
|
Re: ложный сустав после остеосинтеза плеча
Алексей Минервин 22 Февраль 2008, 18:11
|
Коллеги, спасибо за идеи. Прошу прощения, что сразу не предупредил о невозможности БИОС.
Импонирует план А.Волны:
>Задний доступ, удаление конструкции,декортикация, аутоспонгиоза из крыла, взятая ацетабулярным римером.Желательно смешать с Хроносом - крупные гранулы. Компрессионный остеоситез широкой 4,5 мм LC LCP - длинной, на 10-11 отверстий пластиной, по 3 бикортикальных винта в каждом отломке, 2 из которых блокированные.
Вопрос по технической стороне: нужна ли резекция концов отломков? А 2 винта кортикальных - они должны быть в ближайших отверстиях к месту перелома?
Не уверен, что пациентка в состоянии приобрести LCP и Хронос, располагаем отечественными угловыми пластинами - поэтому, скорее всего, выбор имплантата без вариантов.
А.Минервин.
|
[
Ответить ]
|
Re: ложный сустав после остеосинтеза плеча
Отправитель: Антон Андрианов 22 Февраль 2008, 19:17
|
Уважаемый коллега,
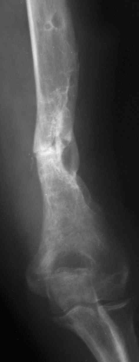
план доктора Волна на мой взгляд оптимален.Нами подобная тактика применялась только с коллапаном.Хочу обратить Ваше внимание на округлую тень мозоли в дистальном отделе.По моим многолетним наблюдениям и находкам так выглядят оставленные в ране салфетки-округлая мостовидная периостальная мозоль, огибающая инородное тело.
|
[
Ответить ]
|
|
Re: ложный сустав после остеосинтеза плеча
Андрей Волна 23 Февраль 2008, 00:29
|
Мне кажется, что нужно согласиться с др-ом Андриановым о проблематичности использования образования, которое кто-то из нас назвал *округлой периостальной мозолью* в качестве аутотрансплантата. Зачастую так костная ткань пытается ограничить, локализовать инфекцию. А может быть и инородное тело там. Но - в любом случае, мне кажется, эту штуку лучше удалить.
Так же мне не кажется обоснованной резекция концов отломков при ложных суставах, за исключением остеонекрозов на фоне инфекции, конечно. Ведь то, что мы потом трансплантируем, наверное не всегда более живое, чем то, что мы хотим резецировать, правда? Освежить - да, расщепить - да, декортицировать - сохраняя связь с окружающими тканями, пусть даже с рубцами - да, но не резецировать, наверное. И под эти сформированные Вами отломочки, между ними - аутоспонгиозу постарайтесь разместить поплотнее.
Чем ближе к перелому винты, тем ближе, при прочих равных условиях, механическая ситуация к абсолютной стабильности и тем дальше от стабильности относительной. Но, те правила, что хорошо работают в травматологии, не всегда выполнимы в ортопедии, в том числе и при лечении ложных суставов. Ведь Вы не должны вводить винты в зону пластики, да и вряд ли целесообразно так концентрировать напряжение здесь. Разнесите винты чуть подальше, но не забудьте дать межфрагментарную компрессию за счёт эксцентричного введения 1-2 кортикальных винтов и правильного моделирования пластины. Но нет, опять же, здесь жёстких правил и по количеству, и по положению винтов, как в травматологии, положитесь во многом на свой опыт и мануальные ощущения в ходе операции, на то, как Вы оцениваете качество кости.
Успехов и с уважением.Волна
|
[
Ответить ]
|
Re: ложный сустав после остеосинтеза плеча
Anatoly F. Lazarev 23 Февраль 2008, 01:04
|
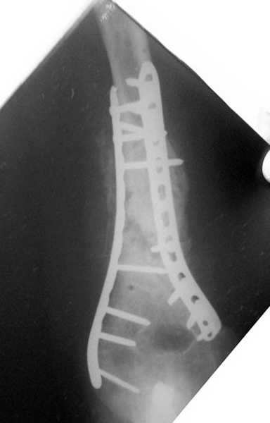
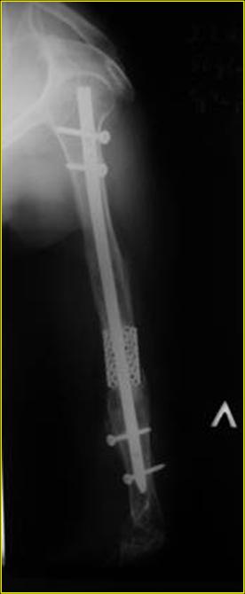
Типичная положительная ситуация для интрамедуллярного остеосинтеза с
использованием опорного металлокаркаса для компенсации дефекта.
Послеоперационное ведение активное или агрессивно-активное. Каркасы
можно заказать в МАТИ.


Рентгеновская версия реконструкции. хронология:
после операции, 2 мес. после операции, через 1 год
Движения в полном объеме восстановлены к 2 мес. после операции. Если надо могу показать мультик. Сейчас уже прошло более 3 лет, больная не
показывается. Успехов ЛАФ.
|
[
Ответить ]
|
Re: ложный сустав после остеосинтеза плеча
Отправитель: Alexander Chelnokov 23 Февраль 2008, 01:37
|
Дорогой Анатолий Федорович,
Anatoly Lazarev пишет:
> Типичная положительная ситуация для интрамедуллярного остеосинтеза с
> использованием опорного металлокаркаса для компенсации дефекта.
> Послеоперационное ведение активное или агрессивно-активное. Каркасы
> можно заказать в МАТИ.
Спасибо за очень интересный пример. Тактика непривычная (пока?), но результат, по крайней мере ближайший, достаточно нагляден и убедителен.
Была бы, интересно, существенная разница в исходе, если бы сделали то же самое, минус кейдж? То есть создали бы укорочение плеча на высоту кейджа. На нижней конечности такое укорочение было бы значимым, а на верхней?
И еще вопрос по заказу в МАТИ. Спасибо за контактную информацию. К сожалению, есть проблемы - эти кейджи не имеют регистрационного удостоверения, т.е. не внесены в Реестр медизделий, разрешенных к применению в РФ. Это первая проблема. Вторая, отчасти вытекающая из первой - нету методички по их использованию, или как это нынче называется, "медицинской технологии".
В ЦИТО ведь они используются несколько лет - может быть, что-то такое уже написано? Дайте pls ссылку. Или это в близкой перспективе?
В общем, надо этих производителей как-то убедить это изделие поскорее зарегистрировать, тогда про него можно будет писать методички, и приобретать на бюджетные средства.
У нас есть пациентка на замещение сегментарного дефекта большеберцовой кости после резекции опухоли, по программе ДВМП положили. Родная страна готова оплатить ей что угодно хоть за 100 тыщ, но - оно должно иметь все необходимые регистрационные документы.
И если получится использовать для нее такой каркас, то по-партизански, проведя по документам либо как что-то другое, разрешенное, либо напрягать ее или родственников на покупку за свои деньги.
> Сейчас уже прошло более 3 лет, больная не показывается.
В докладах по использованию кейджей для замещения сегментарных дефектов даже длиной больше 10 см показывают в некоторых случаях обрастание их костью, непонятно, откуда берущейся... По-моему, и у Вас такие наблюдения были?
|
[
Ответить ]
|
|
Re: ложный сустав после остеосинтеза плеча
Djoldas Kuldjanov 23 Февраль 2008, 03:01
|
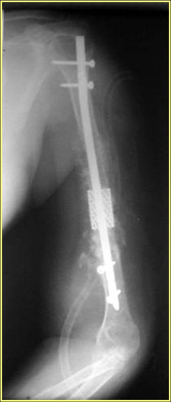
Лечение вторичного ложного сустава плеча особенно в дистальных отделах очень трудная задача. Результат несостоятельного остеосинтеза, приведший к ложному суставу осложнен коротким дистальным склеризированным участком и полным отслоением от мягких ткани в дистальном отделе плеча.
Проведение интрамедуллярного гвоздя в дистальный отдел плеча технически несложно, но с дополнительной травматизацией, и один дистальный винт не создаст стабильность.
В средней трети плеча проблем с интрамедуллярным
имплантом нет, можно надуть, или заблокировать, и
внутренная шина, нейтрализуя сгибательные и
разгибательные деформирующие силы, создаст условия для сращения ложного сустава.
Без нейтрализации ротационных деформирующих сил в
нижней трети плеча даже сильными потенционными
стимуляторами типа BMP 2 или OP1 невозможно создать сращение особенно во "вторично-послеоперационном" ложном суставе.
Без открытия фокуса не обойтись. Насчет декортикации - кто-то уже пытался создать декортикацию. На "вторичном" ложном суставе обычно вместо кортекса с мягкими тканями, особенно в этом случае, огромная псевдосуставная полость.
В зоне патологии нарушено кровообращение, поэтому
трудно предположить, какое из главное - внутрикостное или периостальное.
Мне кажется, главным является создание стабильности между проксимальным и дистальным отделами плеча.
В подготовке места для укладки костной пластики можно идти на небольшое укорочение до образования "pepper sign" т.е. образования "росы".
У взрослых для плеча до 3 см укорочение и варус до 20 градусов и ротация до 10 градусов считаются
приемлемым.
http://www.hwbf.org/ota/bfc/nepola/exp.htm
"In 1969 Klenerman reported that deformity of 20
degrees of AP angulation, 30 degrees of ML
(varus-valgus) angulation and shortening of up to 3 cm is extremely well tolerated"
Насчет пластины 4.5 или тем более "5 мм винтами в
проксимальном отделе" у меня сомнения, из-за стресса в больших дырках имплант 4.5 давно не применяется для лечения переломов плеча и еще потому, что пластинами с угловой стабильностью 3.5 и 4 мм создается адекватная стабильность.
Преконтурированная длинная Locking пластина латерально и вторая под 90 градусов к ней, медиальнее сзади с достаточным количеством аутокости из крыла создаст нужную стабильность и условия для скорейшей разработки движения в суставе.
Задний доступ должен быть адекватным, в положение на боку, под плечо рентгенопроницаемая подставка.
Если имеется сомнения о вовлечении лучевого нерва в процесс, предварительный невролиз поможет работать без оглядки на нерв.
"что пациентка в состоянии приобрести LCP и Хронос, располагаем отечественными угловыми пластинами - поэтому, скорее всего, выбор имплантата без вариантов"
Без достаточной подготовки с учетом всех нюансов и без наличия современных имплантов идти на операцию
считаю рискованным. Это увеличивает шансы
следующих ложных суставов....
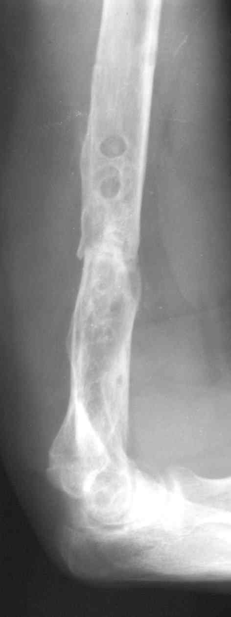
На примере два случая, извиняюсь за качество снимков, снимки и случаи из бывшего союза.

Первая больная с "успехом" была прооперирована 6 раз различными методами открытого и закрытого
остеосинтеза, включая то, что в Кисловодске заезжим австралийским "кудесником" на ложный сустав уложена скорлупа от страусиновых яиц. Последняя операция одиноким локинг плейт в одной из клиник.
Через год по поводу тех же проблем сделали ревизию, оригинальную пластину оставили как есть, только укрепили добавлением еще одной пластины и сделали костную пластику.
Через два месяца увидели признаки консолидации.

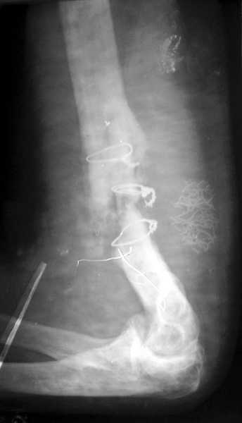
Второй случай, также после множественных операций:
пластина, аппарат, серкляж и парез нерва.
Также ревизия, из-за низкого состояния доступ был
сделан через остеотомию локтевого отростка.
Ложный сустав фиксирован двумя локинг плейт с
аутокостной пластикой, также через два месяца увидели признаки консолидации.
Движение в суставе разрешили в две недели.
Djoldas Kuldjanov, MD
Department of Orthopedic Surgery
St. Louis University Medical Center
|
[
Ответить ]
|
Re: ложный сустав после остеосинтеза плеча
Алексей Минервин 23 Февраль 2008, 03:12
|
Уважаемые коллеги! Спасибо всем за Вашу поддержку.
А.Ф. Лазареву за интереснейший иллюстрированный пример (жаль, что с БИОСом пока мы не дружим), А.Андрианову за настороженность в отношении *экзостоза*, А. Волне за реальный в наших условиях план. Серьезно поговорив с больной о перспективе лечения, пациентка готова приобрести металлоконструкцию и, возможно, даже Хронос. Поэтому опять адресую вопрос автору идеи: какой Хронос(гранулы, цилиндры и пр.) лучше заказать, доза? В плане имплантата: широкая LCP 10-11 отверстий или все-таки есть более лучший вариант?
А.Минервин.
|
[
Ответить ]
|
Re: ложный сустав после остеосинтеза плеча
Андрей Волна 24 Февраль 2008, 01:00
|
В данном случае я бы предпочёл использовать именно 4,5-5мм широкую блокированную пластину. Конечно, при переломах подобной локализации применение переходной метафизарной пластины 5,0-3,5 является уместным, но, мне кажется, не в случае ложного сустава. Хронос - именно гранулы (самые крупные)и именно с аутоспонгиозой.
Искренне Ваш
Andrey A.Volna, the member of the board of trustees of AO Foundation, Chairman of AOAA Russia
|
[
Ответить ]
|
Re: ложный сустав после остеосинтеза плеча
Зубач Остап 02 Март 2008, 18:53
|
Мы наблюдали подобный случай псевдартроза плеча и потери фиксации конструкции. Проблему решили так: удаление конструкции-освежение костных фрагментов до "кровавой росы"-пластика из крыла подвздошной кости-фиксация аппаратом Илизарова на спице-стержневой основе. Сращение наступило ч\з 6 мес.
С уважением, Зубач Остап
БСМП г. Львов, Украина
|
[
Ответить ]
|
Re: ложный сустав после остеосинтеза плеча
Leonid Solomin 03 Март 2008, 03:20
|
Уважаемый Алексей Минервин!
В подобном случае мы бы применили чрескостный остеосинтез. Пример - в приложении.

Всего наилучшего,
Л.Соломин
|
[
Ответить ]
|
( Ответить )
|
|