AOTRAUMA.ORG Центр Илизарова  

Ортопедия и травматология Общие вопросы/General questions Help Информационные технологии в медицине
 вверх
 отправить
 поиск
 админ
 главная
 Предыдущее
 Весь тред


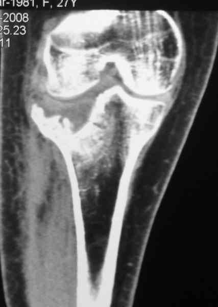
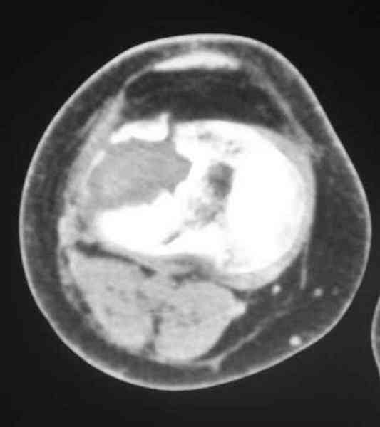
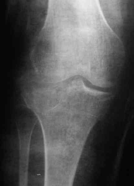
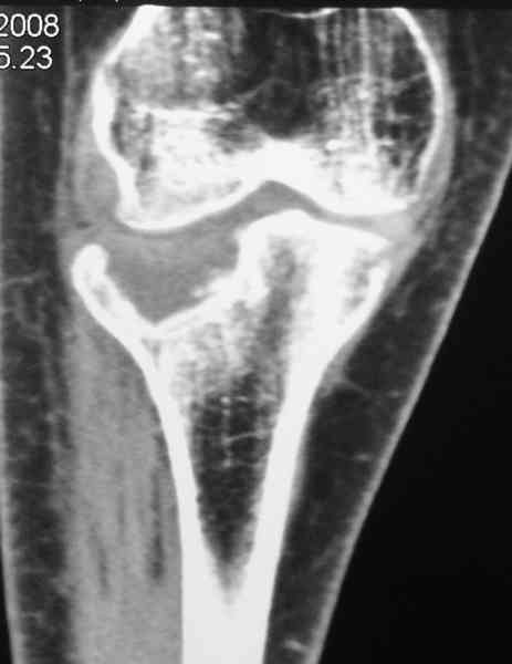
Re: Застарелый перелом 41С3
Abdurashid Turaev 17 Апрель 2008, 21:27

Уважаемый Ростислав. Спасибо что поправили, это у нас по старой привычке, "застарелый" наверное правильно будеть "неправильно вялоконсолидируюшаяся перелом" или есть еще другие варианты, надо подумать.
По тактике лечения, более импонирует второй вариант, но наружная плато расколота и туда при нагрузке внедряется н/мышелка бедра, поэтому после дистракции как репонирвать: или стяжными винтами, или изогнутами спицами или субхондральная костная пластика?
Александр Петрович Ким, хотел бы услышать и Ваше мнения.
С уважением Абдурашид

  • Сообщения о Ортопедия и травматология
  • Также Abdurashid Turaev
  • Связаться с автором
  • Ответить

    Re: Застарелый перелом 41С3
    А..П.Ким 18 Апрель 2008, 15:55
    Уважаемый Абдурашид. Если нет противопоказаний , то из оперативных способов, я бы рекомендовал следующие: Полное замещение наружного мыщелка аллотрансплантатом либо открытая репозиция с элевацией и замещение дефекта ауто или аллокостью. В Ваших условиях , я бы рекомендовал второй способ. Во-время элевации необходимо разъединить фрагменты со стороны сустава ( надсечь скальпелем по линиям перелома, а затем тонким остеотомом их разъединить. При помощи долота произвести неполную остеотомию ( захватите не менее 1,5 - 2 см губчатой кости и поднять фрагменты, визуально отрепонировать и фиксировать 2-3 спицами. Дефект заместить костным ауто или аллатрансплантатом. Окончательная стабилизация пластиной ( лучше с угловой стабильностью, либо АВФ - позволит спокойно устранить угловую деформацию.




    Недавно поступила больная через 1,5- 2 месяца.
    Удачи.


    [ Ответить ]


    ( Ответить )

    Powered by Zope  Squishdot Powered MedLink
    Посетитель: 0411910
      "По форме правильно, а по существу - издевательство" В.И.Ленин
    ©2001-2019Orthoforum Coordinator.
    [ Главная | Отправить сообщение | Поиск | Админ ]