ВХОД ДЛЯ ПАЦИЕНТОВ
вверх
поиск
админ
главная
исходное
последующие
|
Re: Нагноение после интрамедуллярного остеосинтеза
послал А. Ситник. 20 Апрель 2008, 11:04
|
Уважаемый д-р Odessky Jacob.
Спасибо за детальный совет, несколько уточняющих вопросов:
1. Цель дообследования: КТ - поиск секвестров, консолидации? а сканирование?
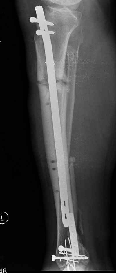
2. С аппаратом и резекцией малоберцовой кости все понятно, но почему вы предполагаете значимое укорочение, требующее транспорта? В моем случае есть признаки формирования нормотрофического (по крайней мере не аваскулярного несращения)- в приложении боковая рентгенограмма.

3. Примеры все же были бы интересны, надеюсь, здесь не возникнет беспочвенных нападок.
Спасибо
А.Ситник
|
| Послать ответ |
Обратите внимание: Поля с жирными названиями обязательны.
Старайтесь отвечать в рамках обсуждаемой темы, а не начинать новые обсуждения.
Указывайте адекватную тему сообщения, чтобы было ясно, о чем оно.
Не послайте сообщений не по теме (оффтопик), раздраженных, грубых или обидных комментариев. Здесь это неуместно.
|