Ответить
|
Re: Нагноение после интрамедуллярного остеосинтеза
Odessky Jacob M.D. 20 Апрель 2008, 01:21
|
Уважаемый доктор Ситник!
Если возможно дополните выше обследование скенированием косстей, лучше с меченными лейкоцитами и КТ
Я бы рекомендовал Вам лечение в несколько этапов.
На первом этапе необходимо удалить гвоздь и произвести дебридмент мягких и твёрдых тканей, обязательно включая риминг костномозгового канала и его промывание. Рану можно ушить , оставив сисему промывания или септопал биц. Фиксировать в гипсе.Дать в/в антибиотики с учётом чувствительности и, если есть возможность - гипербарическую оксигенацию.
На втором этапе - через 3-4 недели выполнить повторный дебридемент,адаптировать хорошо концы отломков, удалить все остальные внутренние фиксаторы,убрать участок м/б кости, наложить аппарат Илизарова и сделать острое укорочение.Аппарат должен быть очень стабьльный. Если удастся на проксимальный фрагмент наложите 2 кольца, 5 спиц. Или одно кольцо с 3 спицами и 2-мя стержнями Шанца. И 2 кольца на дистальный фрагмент. Имейте ввиду, что острое укорочение вызывает гофрирование мягких тканей и может привести к нарушению кровообращения. Поэтому в случае исчезновения пульса на артерих стопы, необходимо проверить доплер сигнал. Есоли есть доплер сигнал, сосудистые нарушения ограничиваються спазмом, что очень часто при таких операциях!!! Если доплер сигнала нет, надо вернуть частично длину назад, оставив при этом некоторое растояние между отломками. В послеоперационном периоде продолжаем антибиотики.
И даём компрессию в месте контакта фрагментов, в случае, если на операции удалось выполнить острое укорочение.
На третьем этапе - ещё через 3-4 недели , в случае если нет признаков инфекции выполняем остеотомию большеберцовой кости для восстановления длины сегмента в случае, острого укорочения, или костного транспорта для восстановления деффекта.
На четвёртом этапе - только в случае костного транспорта перед контактом фрагментов надо пойти на освежение их концов.
Иными словами в данной ситуации остеосинтеэ должен быть открытый и можно применить либо одновременный компрессионно-дистракционный остеосинтез ( в случае острого укорочения ) Даже не смотря на то, что остеотомия для восстановления длины сегмента будет проведена через 3-4 недели после острого укорочения.
Либо последовательный дистракционный, а потом компрессионный остеосинтез ( Костный транспорт)
Первый даёт лучшие результаты.
Возможно , что некоторые коллеги посоветуют лечение в один этап - т.е. убрать гвоздь, дебридмент остеотомию и аппарат в одну сессию.
Мой опыт лечения показывает, что поэтапная тактика даёт лучший результат, поэтому я его рекомендую.
Я бы мог подкрепить всё сказанное клиническими примерами, но последний раз , сделав это напоролся на беспардонную критику со стороны некоторых коллег.
С уважением
|
[
Ответить ]
|
Re: Нагноение после интрамедуллярного остеосинтеза
Отправитель: А. Ситник. 20 Апрель 2008, 11:04
|
Уважаемый д-р Odessky Jacob.
Спасибо за детальный совет, несколько уточняющих вопросов:
1. Цель дообследования: КТ - поиск секвестров, консолидации? а сканирование?
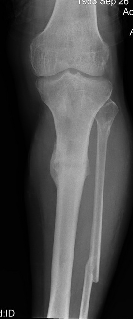
2. С аппаратом и резекцией малоберцовой кости все понятно, но почему вы предполагаете значимое укорочение, требующее транспорта? В моем случае есть признаки формирования нормотрофического (по крайней мере не аваскулярного несращения)- в приложении боковая рентгенограмма.

3. Примеры все же были бы интересны, надеюсь, здесь не возникнет беспочвенных нападок.
Спасибо
А.Ситник
|
[
Ответить ]
|
Re: Нагноение после интрамедуллярного остеосинтеза
Отправитель: Odessky Jacob M.D. 21 Апрель 2008, 02:51
|
Уважаемый доктор Ситник!
Цель дообследования выявить границы остеомиелита. То, что канал инфицирован, сомнения не вызывает. Дебридмент канала можно сделать с помощью его расверливания.То же самое и с отверстиями блокирующих болтов. Но если не будет удалена некротизированная кость в области ложного сустава, успехов в лечении Вам не видать.
Поэтому определение границ процесса крайне важно.
Вы можете к этому добавить ЯТР с гадулиниумом после удаления гвоздя.
То, что ложный сустав нормотрофический не говорит о том , что ближайшие границы его чисты. Это говорит скорее о менее агрессивном инфекционном процессе.
Я не предлагаю резекцию , требующую транспорта...
Если в результате дообследования, локальный процесс будет очень близок к зоне сустава, достаточно будет его резекции и компрессии.
С уважением
|
[
Ответить ]
|
|
Re: Нагноение после интрамедуллярного остеосинтеза
adonin 20 Апрель 2008, 17:57
|
55 лет в стране, где средняя продолжительность жизни мужчины - 59 , это достаточно немало.
То, что я сейчас напишу - это не окончательный совет, а просто одна из возможных опций. Серьезно задумайтесь и обсудите с больным
1 каков сосудистый статус конечности ( атеросклероз, облитерирующий тромбангиит, состояние после тромбоза глубоких вен и тд)?
2 Наличие диабета
3 наличие иммунокомпрометирующих заболеваний и привычек ( употребление алкоголя. укрение, ожирение и т.д.)
4 является ли идеальным состояние голеностопа после Вашей предыдущей операции.
Если Вы и недовольны ответами по предыдущим пунктам - задумайтесь об ампутации. Вполне возможно, что ампутация обеспечит человеку много более комфортную жизнь. чем многомесячные ( многолетние ?) попытки сохранить ногу и жизнь в травматологическом стационаре.
Уровень перелома позолит больному получить хороший протез голени и ходить с полной нагрузкой на ногу через считанные месяцы после операции. Результат всех органосохраняющих операций непредсказуем, а то, что подобные вмешательства отнимут у человека многие месяцы (годы) жизни - наверняка.
|
[
Ответить ]
|
Re: Нагноение после интрамедуллярного остеосинтеза
adonin 20 Апрель 2008, 18:12
|
на втором, боковом снимке видно немного голеностопа. Насколько я понимаю, голеностоп нехорош и ходить на таком голеностопе больной будет врядли. Это - еще один "плюс" в пользу ампутации
|
[
Ответить ]
|
Re: Нагноение после интрамедуллярного остеосинтеза
Отправитель: А.Ситник 20 Апрель 2008, 21:42
|
Пациент активен, физически и биологически крепок, даст 100 очков вперед многим нынешним 30-леткам.
Состояние сосудов, нервов конечности (а также мозгов) хорошее.
Качество остеосинтеза (по центрированным снимкам)я расцениваю как удовлетворительное.
Спасибо за данную опцию, но этот вариант в настоящее время непремлем.
С уважением
А.Ситник
|
[
Ответить ]
|
Re: Нагноение после интрамедуллярного остеосинтеза
Отправитель: adonin 20 Апрель 2008, 22:20
|
Без вопросов, я не настаивал.
мое мыло sergadonin@yahoo.com. Буду благодарен, если через пол-годика расскажете, чем все закончилось ( или на каком этапе все продолжается)
Кстати, загляните сюда - http://forums.rusmedserv.com/showthread.php?t=48689
у нас с Алексом сейчас идет активное обсуждение длины гвоздя при синтезе голени. К Вашему случаю это тоже относится ( относилось)
|
[
Ответить ]
|
|
Re: Нагноение после интрамедуллярного остеосинтеза
Alexander Chelnokov 20 Апрель 2008, 22:11
|
АС> вскрытии 2 дня назад около 80 мл сливкообразного гноя. Спица удалена (видимо она и была
АС> причиной инфицирования), винты нестабильны - также удалены. Гвоздь оставили на месте
АС> (пока). Дном гнойной раны явлется кость, зонд доходит до гвоздя. в настоящее вроем рана
Ну и зачем в таких условиях было гвоздь оставлять, если он ничего не фиксирует.
АС> канала. 2. То же, но вместо промывания - интрамедуллярный тонкий стержень с антибиотиком на
АС> цементе. Просьба откликнуться имеющих личный опыт лечения таких осложнений относительно
Хорошой вариант. Можно и не гвоздь, а просто спейсер из цемента с антибиотиком плюс аппарат, а через несколько недель после исчезновения проявлений инфекции - заштифтовать обычным стержнем еще раз.
|
[
Ответить ]
|
Re: Нагноение после интрамедуллярного остеосинтеза
Алексей Семенистый 20 Апрель 2008, 22:21
|
У пациента 55 лет после открытого перелома костей голени остро развилось глубокое нагноение
верхней трети голени.
Здравствуйте, Александр.
Как говорится, хуже несращения может быть только инфицированное несращение!
При вскрытии 2 дня назад около 80 мл сливкообразного гноя. Спица удалена (видимо она и была
причиной инфицирования), винты нестабильны - также удалены. Гвоздь оставили на месте
(пока). Дном гнойной раны явлется кость, зонд доходит до гвоздя. в настоящее вроем рана
дренируется выпускниками, количество отделяемого уменьшается....
...рассматриваем 2варианта: 1. Удаление стержня - переход на ВКДО по Илизарову с промывным дренированием
канала. 2. То же, но вместо промывания - интрамедуллярный тонкий стержень с антибиотиком на
цементе. Просьба откликнуться имеющих личный опыт лечения таких осложнений относительно
нюансов, и возможно других вариантов.
Маловероятно, что при таком анамнезе и клинике инфекция только в мягких тканях и кость не поражена. Значит, без радикального дебритмента, включающего резекцию больной кости, трудно рассчитывать на успех.
Удаления штифта- обязательно.
Аппарат Илизарова - обязательно.
Если кость здорова (что очень сомнительно) - вариант, предложенный А.Челноковым, либо один из ваших. Нюансы: если промывать канал надо создать герметичные условия.
Если это остеомиелит - в приложении короткая презентация похожего случая другой локализации. Принципиальным является удаление штифта, резекция, билокальный остеосинтез по Илизарову. Повторное штифтование - дело вкуса, возможностей и т.д. и т.п. и не является обязательным, но улучшает качество жизни пациента

Открытый перелом- пхо+стержневой аппарат-штифтование. Через 4 месяца отек, температура 39….

Удален штифт-резекция+билокальный остеосинтез. Выращивание дистракционного регенерата

Повторное штифтование с рассверливанием. Оставлен дистально «легкий» аппарат для создания компрессии сближенных опилов на 4 недели.
С уважением, А.Семенистый.
ГКБ № 13, Москва.
|
[
Ответить ]
|
Re: Нагноение после интрамедуллярного остеосинтеза
Отправитель: Alexander Chelnokov 20 Апрель 2008, 22:47
|
AS> Если это остеомиелит - в приложении короткая презентация похожего
AS> случая другой локализации. Принципиальным является удаление
AS> штифта, резекция, билокальный остеосинтез по Илизарову. Повторное
Похожесть ситуаций тут оценить довольно непросто. В представленном в презентации случае успешно удалось удалить очаг инфекции. Это говорит о том, что он был достаточно компактно локализован. Что имеется далеко не в каждом случае инфекции со стержнем в канале.
В обсуждаемом случае четко отграниченного очага не видно. Поэтому более оправданной представляется попытка "стерилизации" канала либо системой орошения, либо спейсером.
|
[
Ответить ]
|
|
Re: Нагноение после интрамедуллярного остеосинтеза
Шипунов Владимир 21 Апрель 2008, 02:33
|
Уважаемый Алксандр! Обсудили Вашу ситуацию у нас в клинике повреждений (ГВКГ МО Украины), наше мнение: 1. Удаление стержня с последующим ВЧКДО по Илизарову ( естественно с резекцией малоберцевой кости; приточно промывное дренировнаие + а/б с учетом чувствительности.
если можно дайте ответ на несколько вопросов:
1.зачем нужна была Вам спица в проксимальном фрагменте, что и куда она отклоняла?
2. как вы проводили динамизацию, если в круглом отверстии в проксимальной части стержня оставался блокирующий винт
3. сколько прошло времени после снятия стержневого аппарата и выполнения интрамедулярного блокированного остеосинтеза
Заранее спасибо!
|
[
Ответить ]
|
Re: Нагноение после интрамедуллярного остеосинтеза
Отправитель: Alexander Chelnokov 21 Апрель 2008, 21:24
|
Dear Владимир Шипунов.
ШВ> (ГВКГ МО Украины), наше мнение: 1. Удаление стержня с последующим
ШВ> ВЧКДО по Илизарову ( естественно с резекцией малоберцевой кости;
ШВ> приточно промывное дренировнаие + а/б с учетом чувствительности.
Это традиционная тактика, которая применялась и 10-20 лет назад. На сегодня появились новые возможности местного воздействия на инфекционный очаг. В частности, спейсеры из костного цемента с
антибиотиками.
ШВ> если можно дайте ответ на несколько вопросов:
ШВ> 1.зачем нужна была Вам спица в проксимальном фрагменте, что и куда она
ШВ> отклоняла?
Отвечу на то, на что знаю ответ. Отклоняющая, трансмедуллярная, или Poller спица (или винт) используется для отклонения интрамедуллярного гвоздя от прохождения в нежелательном направлении. В частности, в данном случае необходимо было не позволить стержню уйти кзади и кнаружи.
ШВ> 2. как вы проводили динамизацию, если в круглом отверстии в
ШВ> проксимальной части стержня оставался блокирующий винт
В дистальном конце стержня винтов нет. Соответственно, нет препятствия для телескопирования отломков.
ШВ> 3. сколько прошло времени после снятия стержневого аппарата и
ШВ> выполнения интрамедулярного блокированного остеосинтеза
Лучше всего не делать перерыв, штифтовать прямо в аппарате.
|
[
Ответить ]
|
Re: Нагноение после интрамедуллярного остеосинтеза
Отправитель: А. Ситник 22 Апрель 2008, 21:52
|
Александр, спасибо - ответили за меня:)
По поводу последнего вопроса - тоже все правильно - так и делали.
А. Ситник
|
[
Ответить ]
|
|
Re: Нагноение после интрамедуллярного остеосинтеза
Ростислав Никифоров 22 Апрель 2008, 21:26
|
Добрый день.
На мой взгляд полностью оправдана тактика, предложенная доктором из Одессы. Мы в таких случаях поступаем приблизительно так же, то есть, удаление всех металлоконструкций, проточно - промывное дренирование в течении 2-4 недель, методом иммобилизации на данном этапе можно избрать скелетное вытяжение и последующий ЧКДО. Костный цемент, на наш взгляд, в данной ситуации - не совсем оправдан. Ведь при неудачи и сохранении инфекции выходов остается не так уж и много.
А какой стержень? я имею ввиду канюлированный? и какой фирмы?
|
[
Ответить ]
|
Re: Нагноение после интрамедуллярного остеосинтеза
Отправитель: А. Ситник 22 Апрель 2008, 21:55
|
Уважаемый Ростислав,
гвоздь стальной цельный, вводился без рассверливания.
А. Ситник
|
[
Ответить ]
|
Re: Нагноение после интрамедуллярного остеосинтеза
Отправитель: Alexander Chelnokov 22 Апрель 2008, 23:11
|
РН> доктором из Одессы. Мы в таких случаях поступаем приблизительно
РН> так же, то есть, удаление всех металлоконструкций, проточно -
РН> промывное дренирование в течении 2-4 недель, методом иммобилизации
Это вполне известная и традиционная тактика. До недавнего времени это был безальтернативный вариант
РН> Костный цемент, на наш взгляд, в данной ситуации - не совсем
РН> оправдан. Ведь при неудачи и сохранении инфекции выходов остается не так уж и много.
Да ровно столько же - можно убрать спейсер и после повторной обработки канала поставить новый. Можно поставить систему орошения и потом снова спейсер или гвоздь с покрытием.
РН> А какой стержень? я имею ввиду канюлированный? и какой фирмы?
Да сейчас уж какая разница. С любым могло случиться. Это стержень SIGN. Он стальной, сплошной. При прочих равных наименьший риск инфекции у сплошных титановых, наибольший - у полых стальных.
|
[
Ответить ]
|
консультация
Отправитель: надежда 24 Март 2010, 18:14
|
Здраствуйте Ростислав Ростиславович.
После перенесенного в 2008 году гематогенного остеомилита с сепсисом(золотистый стафилокок) у сына разрушен тазобедренный сустав,деформировано стопа,укорочение ноги и стопы.Подскажите пожалуста как можно попасть в вашу клинику на прийом и пройти обследование и консультацию по этому поводу. может ребенку можно помочь.Заранее благодарна.
|
[
Ответить ]
|
консультация
Отправитель: надежда 24 Март 2010, 18:16
|
Здраствуйте Ростислав Ростиславович.
После перенесенного в 2008 году гематогенного остеомилита с сепсисом(золотистый стафилокок) у сына разрушен тазобедренный сустав,деформировано стопа,укорочение ноги и стопы.Подскажите пожалуста как можно попасть в вашу клинику на прийом и пройти обследование и консультацию по этому поводу. может ребенку можно помочь.Заранее благодарна.
|
[
Ответить ]
|
|
Re: Нагноение после интрамедуллярного остеосинтеза
Pavel Ivanov 22 Апрель 2008, 22:42
|
Уважаемый Александр.
Если бы данный пациент лечился в нашем отделении, то мы бы постарались ответить на один важный вопрос - "Есть ли у больного некроз кости в области перелома либо его нет?". Как нам кажется, это один из важных моментов, который обуславливает возможность сращения, купирования и рецидива инфекции в последующем. При наличии некроза - первое и второе маловероятно, третье можно ожидать с большой вероятностью.
Исходя из этого мы бы выбирали между двумя вариантами лечения:
1) Некроза нет, кость в области перелома жизнеспособна (представленная рентгенограмма позволяет на это надеяться).
Необходимости в резекции кости нет. Мы бы убрали бы старый штифт и выполнили остеосинтез блокируемым штифтом с антибактериальным покрытием. Для этого бы использовали штифт для метаэпифизарных переломов с большим количеством блокирующих отверстий диаметром 8-9 мм, 1 дозу костного цемента, 4-5 г ванкомицина. Рассверлили бы костно-мозговой канал до 14-15 мм (желательно хорошо отмывать канал после рассверливания от обильной костной стружки, иначе эти мелкие кусочки кости после операции в течение длительного времени отходят через свищевые отверстия, являясь своего рода мелкими секвестрами и поддерживают воспаление в канале; для промывания мы устанавливаем в канал на всю длину толстый пластиковый жесткий желудочный зонд и промываем под напором из шприца Жане 2-3 литрами р-ра хлоргексидина). Установили бы штифт с покрытием в канал и блокировали через все отверстия для максимальной стабильности (толстый штифт с большим количеством винтов как никакой фиксатор обеспечивает столь важную для купирования воспаления стабильность). Один важный момент. В цементе напротив динамического отверстия следует делать такое же по форме овальное отверстие, для возможности динамизации в последующем.
2) Концы отломков нежизнеспособны. Надежды на надежное сращение нет. Необходима резекция.
В подобной ситуации бы сделали резекцию, остеотомию, наложили бы спице-стержневой аппарат в один этап. После окончания дистракции в аппарате при отсутствии признаков воспаления - остеосинтез обычным блокируемым штифтом, при воспалении в области спиц и стержней - штифтом с антибактериальным покрытием.

Определенным подспорьем в решении вопроса о жизнеспособности кости (а это определить часто очень сложно) может служить эндоскопия костно-мозгового канала (медуллоскопия), которую мы пробуем выполнять в подобных ситуациях. При высоких переломах голени это сделать не сложно (рис. 1, данная фотография взята из зарубежной статьи). Можно использовать лапароскоп (мы так и делали), урологический цистоскоп, артроскоп. После удаления штифта перед рассверливанием канала эндоскопия малоинформативна, так как поверхность кости закрыта патологическкими грануляциями и соединительнотканными разрастаниями в виде бахромы (рис. 2, виден конец канюлированного винта, через который мы вводили жидкость в костно-мозговой канал). Однако после рассверливания канала можно хорошо видеть участки кости, которые имеют серый цвет и не кровоточат, или же наоборот, имеют вид жизнеспособных (рис. 3). Манипуляцию целесообразно делать под жгутом на бедре. Наилучшая визуализацию обеспечивает постоянное промывание жидкости через костно-мозговой канал.
Желаем успехов.
--
Best regards,
Pavel Ivanov
Sklifosovsky Clinical and Research Institute for Emergency Medicine
Polytrauma Department
3, Bolshaya Sukharevskay sq.
Moscow, 129090 Russia
|
[
Ответить ]
|
Re: Нагноение после интрамедуллярного остеосинтеза
Никифоров Ростислав 23 Апрель 2008, 01:57
|
Александр, мы распологаем опытом применения интрамедуллярного блокируемого остеосинтеза, который применяем уже около 20 лет. Был этап, когда мы применяли данный способ у пациентов после перенесенных ими ранее инфекционно - гнойных осложнений, даже в отдаленные периоды, спустя 3 - 5 лет после закрытия свищей. Перед операцией проводилось и остеосцинтиграфия,и томография. И тем не менее, в ряде случаев повторные нагноения имели место.
|
[
Ответить ]
|
Re: Нагноение после интрамедуллярного остеосинтеза
Отправитель: Alexander Chelnokov 23 Апрель 2008, 17:16
|
НР> Александр, мы распологаем опытом применения интрамедуллярного
НР> блокируемого остеосинтеза, который применяем уже около 20 лет.
А какими имплантатами пользовались? Материал, дизайн? Производитель? Много ли за этот срок набралось пациентов?
НР> остеосцинтиграфия,и томография. И тем не менее, в ряде случаев
НР> повторные нагноения имели место.
И что с ними стало? Пользовались ли цементными спейсерами с антибиотиками?
Гнойные соложнения случаются и сейчас, не только 20 лет назад. Их относительно немного, но в абсолютных цифрах при большом потоке больных с неудачами предшествуюшего оперативного лечения может быть заметное число.
|
[
Ответить ]
|
Re: Нагноение после интрамедуллярного остеосинтеза
Отправитель: Ростислав Никифоров 24 Апрель 2008, 14:18
|
Мы применяем фиксаторы, разработанные профессором Блискуновым. Производственная база - в Севастополе. Материал - ВТ 16, а пациентов накопилось порядка 1000. Пациентам, при гнойных осложнениях (а было их 12) в 9 случаях удалось сохранить аппарат и в 3 случаях перейти на аппарат Илизарова.
|
[
Ответить ]
|
Re: Нагноение после интрамедуллярного остеосинтеза
Отправитель: Alexander Chelnokov 24 Апрель 2008, 23:10
|
РН> Мы применяем фиксаторы, разработанные профессором Блискуновым.
РН> Производственная база - в Севастополе. Материал - ВТ 16, а пациентов
РН> накопилось порядка 1000.
Материал более чем представительный. Что это за фиксатор, известно, видимо, только узкому кругу причастных. Чем этот фиксатор отличается от современных блокируемых стержней? Можно ли где-то почерпнуть сведения о нем? Доводилось читать только про устройство Блискунова для интрамедуллярной дистракции.
РН> Пациентам, при гнойных осложнениях (а было их 12) в 9 случаях
РН> удалось сохранить аппарат и в 3 случаях перейти на аппарат Илизарова.
То есть результаты даже при использовании только традиционных мер вполне оптимистичны, не так ли?
|
[
Ответить ]
|
|
Re: Нагноение после интрамедуллярного остеосинтеза
Djoldas Kuldjanov 26 Апрель 2008, 16:57
|
Ампутацию как альтернативу можно принять если патология расположена в нижней трети конечности, где отсутствует мягкотканое покрытие. Переломы особенно пилона, когда осложняются несращениями на фоне нарушеннего периферического кровоснабжения вследствие заболевания или действия никотина. Измученные многочисленными процедурами больные по рекомендации врача могут принять такой агрессивный приговор, но средняя треть голени имеет шансы на восстановление.
Протокол - как рекомендуют в большинстве наши коллеги, удаление, дебридмент, спейсер и при необходимости повторный остеосинтез. Иногда приходилось наблюдать после рассверливания на минимальном остеосинтезе - спейсере наступление сращения в кратчайший срок.
Вот насчет проточной системы, не знаю как у вас, наверное все налажено, но в наших краях где-то с середины 90х мы охладели к методике из-за трудности организации в наших больницах.
Жалобы от тех, кто вовлечен в лечебный процесс, особенно ночью, когда происходит закупорка, льется вокруг трубки, теряется эстетичность больного, жалуются родственники... если вставлена сквозная трубка через рану, так и работает без эффекта всквозную.
Спейсер и вакуум намного лучше справляются с задачей и контролируется нами, чем многодневные орошения не зная, что орошаем.
"Костный цемент, на наш взгляд, в данной ситуации - не совсем оправдан"
Обьясните почему? Ещё не понятен смысл "при сохранении инфекции выходов остается не так уж и много"?
Мне кажется, при отсутствии другой техники, невозможно оспорить широко применяемую стандартную методику "цемента с антибиотиком" для лечения инфицированного ложного сустава. Закрывая патологическую полость, длительно действующий антибиотик создает условия против инфекции.
Следующее действие рассверливание канала, нет точного стандарта на сколько, но обычно мы придерживаемся на два мм больше диаметром первоначального гвоздя.
Один из эффектов рассверливания - местный, удаляется внутриканальный некротический "мусор" и в результате механического сверления создается тепловая реакция, которая стимулирует биологическую реакцию внутри канала. Восстановление кровообращения происходит в течение двух с половиной недели и создает бурное стимулирующее действие при ложных суставах.
Кстати, второй системный эффект от рассверливания более опасен, то есть при рассверливании канала часть огромного свободного количества жировых частиц устремляется через венозную систему в легкие, поэтому рассверливание канала не рекомендуется при ушибах грудной клетки политравматическим больным из-за опасности тромобоэмболии. Reamer aspirator уменьшает риск, но из-за его дороговизны не применяется широко, также они расчитаны для имплантов только от компании Synthes.
Насчет остеотомии малоберцовой - если отсутствует сращение малоберцовой, тогда нет необходимости остеотомии, потом, в некоторых случаях, косая линия верхнего малоберцово-тибиального сочленения позволяет создание компрессии в ложном суставе, иногда до 15мм.
Малый наружный фиксатор из двух колец или стержневой не мешает, создается стабильность в конструкции и еще создает условия для рекондиции кожных покровов.
Исследование, о котором напоминает Яша, позволит оценить состояния процесса и делать прогноз.
|
[
Ответить ]
|
Re: Нагноение после интрамедуллярного остеосинтеза
Отправитель: Nikita Zadneprovsky 01 Май 2008, 00:12
|
DK> некоторых случаях, косая линия верхнего малоберцово-тибиального сочленения позволяет создание компрессии в ложном суставе, иногда до 15мм.
Не совсем понимаю как это возможно. Джолдас, пожалуйста, дайте пояснение.
С уважением, Заднепровский Никита Николаевич
|
[
Ответить ]
|
Re: Нагноение после интрамедуллярного остеосинтеза
Отправитель: Djoldas Kuldjanov 01 Май 2008, 00:15
|
Ogden J.A в статье выделяет два вида взаимоотношения тибиафибулярного сочленения: горизонтальную и косую. Но некоторые авторы еще выделеяют и вертикальный тип развития.
При горизонтальном виде невозможно создать компрессию на большеберцовой, потому что малоберцовая будет служить как внутренняя подпорка.
Не как правило, но при некоторых случаях при косом и вертикальном типе сочленения засчет скольжения в суставе и без остеотомии малоберцовой можно создать компрессию до 15 мм., острожно наблюдая за верхним подвывихом головки.
Djoldas Kuldjanov, MD
Department of Orthopedic Surgery
St. Louis University Medical Center
|
[
Ответить ]
|
|
Re: Нагноение после интрамедуллярного остеосинтеза
Александр Ситник 29 Октябрь 2010, 03:18
|
Уважаемые коллеги, спасибо всем за участие. Сегодня просто просмативал старые страницы, да и пациента относительно недавно вспоминали. Случай подошел к логическому завершению:

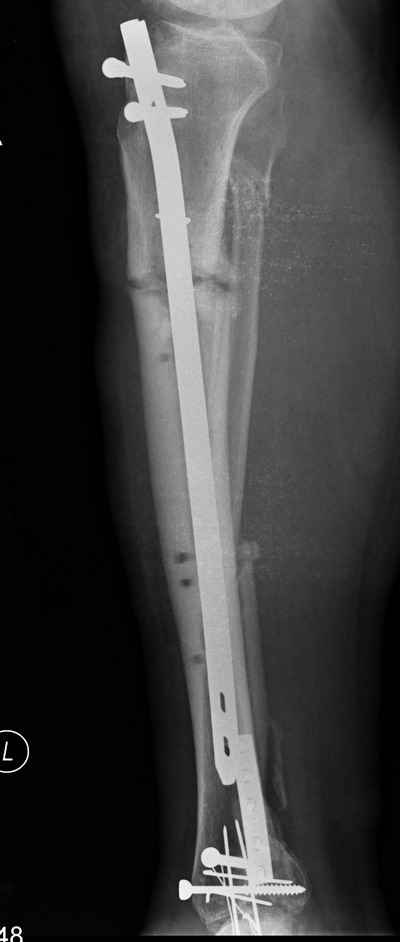
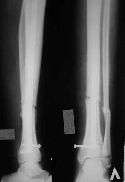
Итак - удалили стержень, воспалительный процесс к тому моменту купирован, наложили кастовую повязку и в течение 3 месяцев на контрольных рентгенограммах - признаки консолидации. Уже в сентябре, т.е черз 5 месяцев после нагноения пациент вернувшиь с подвождной охоты привез здорового сазана - основная жалоба - ноги побаливают после длительного лпаваня в ластах. Прилагаю снимки через год после удаления стержня. Вот такая, на этот раз счастливая казуистика.
Еще раз спасибо,
А. Ситник
|
[
Ответить ]
|
( Ответить )
|
|