ВХОД ДЛЯ ПАЦИЕНТОВ
вверх
поиск
админ
главная
исходное
|
Re: Нагноение после интрамедуллярного остеосинтеза
послал Алексей Семенистый 20 Апрель 2008, 22:21
|
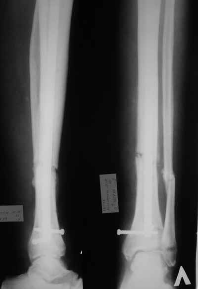
У пациента 55 лет после открытого перелома костей голени остро развилось глубокое нагноение
верхней трети голени.
Здравствуйте, Александр.
Как говорится, хуже несращения может быть только инфицированное несращение!
При вскрытии 2 дня назад около 80 мл сливкообразного гноя. Спица удалена (видимо она и была
причиной инфицирования), винты нестабильны - также удалены. Гвоздь оставили на месте
(пока). Дном гнойной раны явлется кость, зонд доходит до гвоздя. в настоящее вроем рана
дренируется выпускниками, количество отделяемого уменьшается....
...рассматриваем 2варианта: 1. Удаление стержня - переход на ВКДО по Илизарову с промывным дренированием
канала. 2. То же, но вместо промывания - интрамедуллярный тонкий стержень с антибиотиком на
цементе. Просьба откликнуться имеющих личный опыт лечения таких осложнений относительно
нюансов, и возможно других вариантов.
Маловероятно, что при таком анамнезе и клинике инфекция только в мягких тканях и кость не поражена. Значит, без радикального дебритмента, включающего резекцию больной кости, трудно рассчитывать на успех.
Удаления штифта- обязательно.
Аппарат Илизарова - обязательно.
Если кость здорова (что очень сомнительно) - вариант, предложенный А.Челноковым, либо один из ваших. Нюансы: если промывать канал надо создать герметичные условия.
Если это остеомиелит - в приложении короткая презентация похожего случая другой локализации. Принципиальным является удаление штифта, резекция, билокальный остеосинтез по Илизарову. Повторное штифтование - дело вкуса, возможностей и т.д. и т.п. и не является обязательным, но улучшает качество жизни пациента

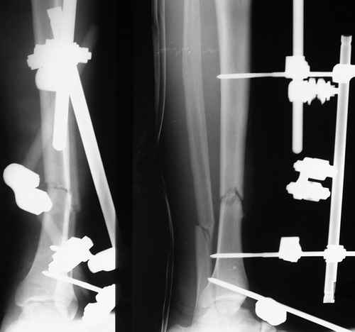
Открытый перелом- пхо+стержневой аппарат-штифтование. Через 4 месяца отек, температура 39….

Удален штифт-резекция+билокальный остеосинтез. Выращивание дистракционного регенерата

Повторное штифтование с рассверливанием. Оставлен дистально «легкий» аппарат для создания компрессии сближенных опилов на 4 недели.
С уважением, А.Семенистый.
ГКБ № 13, Москва.
|
| Послать ответ |
Обратите внимание: Поля с жирными названиями обязательны.
Старайтесь отвечать в рамках обсуждаемой темы, а не начинать новые обсуждения.
Указывайте адекватную тему сообщения, чтобы было ясно, о чем оно.
Не послайте сообщений не по теме (оффтопик), раздраженных, грубых или обидных комментариев. Здесь это неуместно.
|