ВХОД ДЛЯ ПАЦИЕНТОВ
вверх
поиск
админ
главная
исходное
|
Re: Нагноение после интрамедуллярного остеосинтеза
послал Александр Ситник 29 Октябрь 2010, 03:18
|
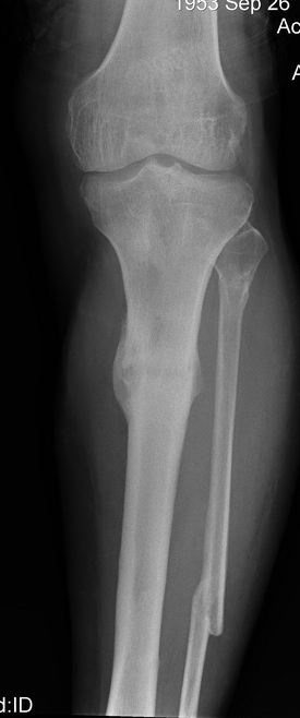
Уважаемые коллеги, спасибо всем за участие. Сегодня просто просмативал старые страницы, да и пациента относительно недавно вспоминали. Случай подошел к логическому завершению:

Итак - удалили стержень, воспалительный процесс к тому моменту купирован, наложили кастовую повязку и в течение 3 месяцев на контрольных рентгенограммах - признаки консолидации. Уже в сентябре, т.е черз 5 месяцев после нагноения пациент вернувшиь с подвождной охоты привез здорового сазана - основная жалоба - ноги побаливают после длительного лпаваня в ластах. Прилагаю снимки через год после удаления стержня. Вот такая, на этот раз счастливая казуистика.
Еще раз спасибо,
А. Ситник
|
| Послать ответ |
Обратите внимание: Поля с жирными названиями обязательны.
Старайтесь отвечать в рамках обсуждаемой темы, а не начинать новые обсуждения.
Указывайте адекватную тему сообщения, чтобы было ясно, о чем оно.
Не послайте сообщений не по теме (оффтопик), раздраженных, грубых или обидных комментариев. Здесь это неуместно.
|