AOTRAUMA.ORG Центр Илизарова  

Ортопедия и травматология Общие вопросы/General questions Help Информационные технологии в медицине
 вверх
 отправить
 поиск
 админ
 главная


Коксит vs. Ас.некроз
Ортопедия и травматология Отправлено Моисеев Ю.И. 27 Май 2008, 01:34
Уважаемые коллеги! Помогите с дифф. диагнозом и тактикой лечения.
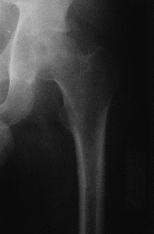
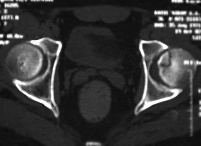
Молодой человек, 37л. Начало заболевания сентябрь 2007, резкие боли в области лев. тазобедренного сустава, повышение температуры до 39 гр., в течение недели, лабораторные данные: лейкоцитоз со сдвигом влево. Посев крови на стерильность возбудителя не выявил. По данным Рг, РКТ выставлен диагноз: Левосторонний коксит? Асептический некроз? Проводилось лечение: цефсон в/в неделю, иммобилизация кокситной повязкой 1 мес. Обратился повторно 10 дней назад с жалобами на сильные боли в левом тазобедренном суставе, белая кровь – нормограмма, СОЭ 46 мм/ч. На сегодняшний день: болей не отмечает. Лаб.данные: белая кровь – нормограмма, СОЭ 30 мм/ч. Рентген и РКТ прилагаем.
Рассмотреная тактика лечения: операционная биопсия.
При отрицательных данных за коксит - диагноз асептический некроз - эндопротезирование

При положительных данных за коксит какие методы могут быть использованы?
Правомочна ли резекция головки, установка спейсера, тотальное эндопротезирование.
На какой срок устанавливать спейсер? Имеет ли здесь право как методы лечения сегметарная резекция головки, артродезирование тазобедренного сустава?

<  |  >

 

  • Сообщения о Ортопедия и травматология
  • Также Моисеев Ю.И.
  • Связаться с автором
  • Ответить

    Re: Коксит vs. Ас.некроз
    adonin 28 Май 2008, 01:15
    vtoraya popitka

    У вашего больного белая кровь в норме и посевы отрицательны , а Вы ему спейсеры ставить собираетесь. У него был период болей длительностью в несколько дней\недель невыясненной этиологии, сейчас все прошло, Вы говорите об эндопротезировании. Ему же 37 лет, а не 77 ( да и в 77 при такой клинике эндопротезирование не показано)!

    Подозреваете инфекцию – аспирируйте сустав, синовиальная жидкость на микробиологию-посев-чуствительность к антибиотикам. Лично я пока достаточных данных, чтоб говорить об инфекционном процессе, не вижу.

    Речь об эндопротезировании надо вести только тогда, когда есть хронические боли в тазобедеренном суставе, не купирующиеся аналгетиками, снижением веса, разгрузкой сустава ( напр, ходьбой с тростью), модификацией образа жизни.

    [ Ответить ]

    Re: Коксит vs. Ас.некроз
    Виктор 28 Май 2008, 05:10
    В подобных случаях возможно применение межвертельной ротационной остеотомии. Сам не разу не делал, но на муляжах отработал вариант с применением АВФ с дозированной ротацией проксимального отдела до нужного угла. Пользуясь случаем хотел бы услышать мнение об этой операции вообще, в том числе и хирургов ее выполняющих. Ссылка с описанием варианта операции

    http://trauma.by.ru/sok.htm

    Виктор
    [ Ответить ]

    Re: Коксит vs. Ас.некроз
    Михаил Сергеевич Сердобинцев 30 Май 2008, 02:36
    Уважаемый коллега! Судя по представленной скромной информации у больного, вероятней всего, речь идет о банальном коксите с преимущественной очаговой деструкцией проксимального эпифиза бедренной кости. Учитывая возраст пациента, течение заболевания, эффект от проведенной Вами терапии больному показана радикально-пластическая операция в объеме некрэктомии и пластики головки бедренной кости с последующей рациональной функциональной реабилитацией сустава в условиях разгрузки. Гисто- и бакисследование материала поможет быстее верифицировать процесс.
    Клиника хирургии костно-суставного туберкулеза СПб НИИ фтизиопульмонологии располагает более чем 40-летним опытом лечения такого рода заболеваний.
    Более подробную информацию можно получить на сайте www.spbniif.ru
    C уважением,
    рук. клиники
    дмн М.С.Сердобинцев
    [ Ответить ]

    Re: Коксит vs. Ас.некроз
    Maxim Agalakov 01 Июнь 2008, 21:18
    Мне представляется, что предоставлен случай аваскулярного некроза головки бедра. Для определения тактики лечения необходимо выполнить ренгенограммы лучшего качества и посмотреть все срезы на уровне головки. Предоставленные срезы -уровень ямки,т.е. малонагружаемой зоне, наличие в этой зоне участков сегментарного некроза скорее всего не приведет к деформации головки, при таком варианте разгрузка конечности на 3-4 мес может привести к благоприятному исходу.
    При наличии участков некроза внутри головки близко к нагружаемой зоне для профилактики имперссионного прелома, вероятно, целесообразно выполнить Core Decompression (тема обсуждалась на форуме). В случае расположения участков некроза, затрагивающих суставную поверхность в нагружаемой зоне может быть целесообразным выполнение операций на проксимальном отделе бедра, ставящих целью выведение участков некроза из под нагрузки. Ну и протезирование, конечно, как вариант.

    С уваждением, Максим Агалаков, госпиталь ВВ, Е-бург.
    [ Ответить ]


    ( Ответить )

    Powered by Zope  Squishdot Powered MedLink
    Посетитель: 0389988
      "По форме правильно, а по существу - издевательство" В.И.Ленин
    ©2001-2019Orthoforum Coordinator.
    [ Главная | Отправить сообщение | Поиск | Админ ]