AOTRAUMA.ORG Центр Илизарова  

Ортопедия и травматология Общие вопросы/General questions Help Информационные технологии в медицине
 вверх
 отправить
 поиск
 админ
 главная
 Предыдущее


Re: Застарелое повреждение голеностопа
Mikhail Smokov 14 Август 2008, 15:13


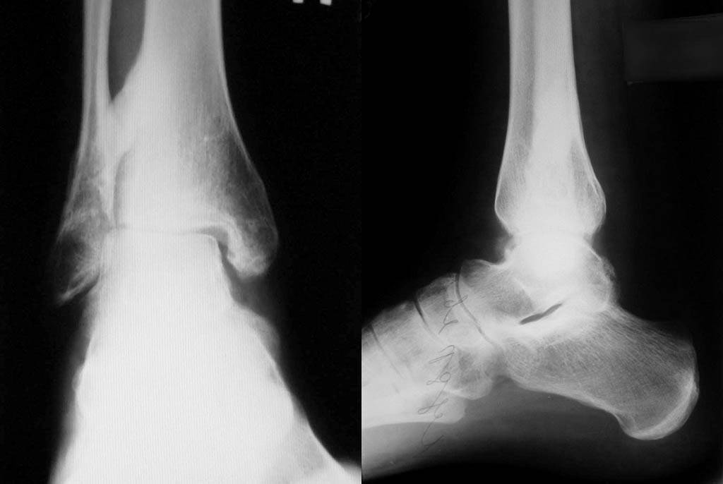
Приложил последние снимки г/стопа.

  • Сообщения о Ортопедия и травматология
  • Также Mikhail Smokov
  • Связаться с автором
  • Ответить

    Re: Застарелое повреждение голеностопа
    Ильин Вадим 15 Август 2008, 00:24
    Сустава-то нет. Артродез.
    [ Ответить ]

    • Re: Застарелое повреждение голеностопа
      Отправитель: Mikhail Smokov 15 Август 2008, 02:36
      Мы с коллегами тоже склояемся к такому исходу. У пациента стойкое желание сохранить сустав. Хотя пациент довольно вменяемый, образованый молодой человек. Возможно согласится.

      [ Ответить ]

     

    ( Ответить )

    Powered by Zope  Squishdot Powered MedLink
    Посетитель: 0420160
      "По форме правильно, а по существу - издевательство" В.И.Ленин
    ©2001-2019Orthoforum Coordinator.
    [ Главная | Отправить сообщение | Поиск | Админ ]