Ответить
|
Re: Застарелое повреждение голеностопа
Mikhail Smokov 14 Август 2008, 15:13
|

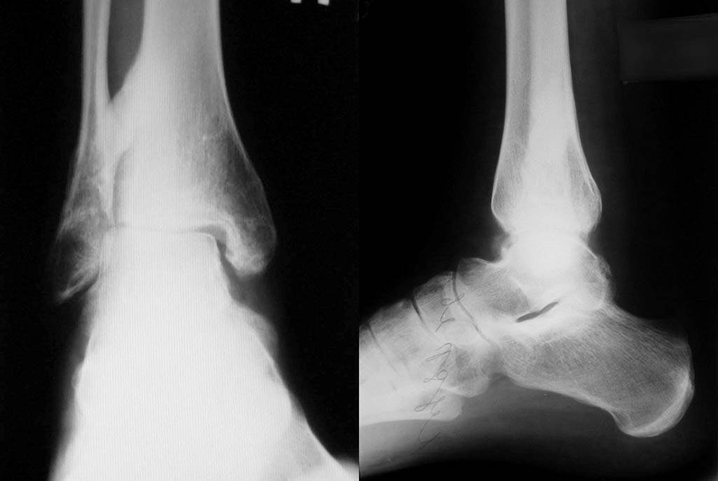
Приложил последние снимки г/стопа.
|
[
Ответить ]
|
Re: Застарелое повреждение голеностопа
Отправитель: Ильин Вадим 15 Август 2008, 00:24
|
Сустава-то нет. Артродез.
|
[
Ответить ]
|
Re: Застарелое повреждение голеностопа
Отправитель: Mikhail Smokov 15 Август 2008, 02:36
|
Мы с коллегами тоже склояемся к такому исходу. У пациента стойкое желание сохранить сустав. Хотя пациент довольно вменяемый, образованый молодой человек. Возможно согласится.
|
[
Ответить ]
|
|
Re: Застарелое повреждение голеностопа
Gleb Korobushkin 15 Август 2008, 07:36
|
Михаил!
Если состояние кожных покровов позволяет, если нет сопутствующих тяжелых хронических заболеваний,
если больной не переносит тяжелые физические нагрузки, то можно думать об эндопротезировании голеностопного сустава.
С ув Коробушкин Г
|
[
Ответить ]
|
Re: Застарелое повреждение голеностопа
Иван 15 Август 2008, 16:07
|
Здравствуйте Михаил на действительно сустава та нет. на учитывая молодой возраст рекомендовать артродез как то не хотелось бы. скорее эндопротезирование. если по финансовым (парамедицинским) вопросам нет то артродез избавит от боли. а функция за счет предплюсны будет хотя и скудная. удачи.
|
[
Ответить ]
|
Re: Застарелое повреждение голеностопа
A. Liberson 15 Август 2008, 19:42
|
What about distraction or Total ANKLE?
AL
|
[
Ответить ]
|
Re: Застарелое повреждение голеностопа
Отправитель: Evgueny Tchekashkine 16 Август 2008, 16:33
|
Hello Arcady,
How long do you keep the joint in distraction? Is there any risk of chondrolysis correlated with duration of distraction?
Do you think it's going to work in this case as the talus remains subluxated?
Probably the patient should be given an options to choose: ankle fusion restoring painfree??? (metatarsalgia) weight bearing function or ankle
anatomy reconstruction combined with joint distraction as there is 60% functional improvement after 5 yrs.
Kind Regards,
Evgueny Tchekashkine
|
[
Ответить ]
|
Re: Застарелое повреждение голеностопа
Отправитель: A.Liberson 16 Август 2008, 20:45
|
Dear Evgueny,
I did it with a circular frame, distracted it on a table with an arthroscopy and coninued the distraction for 3 month. The same did a Dutch group, If I recall well from Amsterdam also on small group of patients. There is also an
American one.
I do not think there is a lot cartilage ther to be afraid of a lysis.
I would appreciate a weight bearing AP film in order to answer on your second question-talar subluxation did not look very prominant-its about 1 nn if I SEE WELL. I beleive in a thick pseudocartilage -I distract 3-4 MM and
do not imagine a reposition without an open intervention.
I would be very cautious to plan an osteotomy with reposition in this destroyed joint-I might be wrong looking on radiographs provided. I did some late repositions, though in an earlier phase. I would consult and explain the p-nt every one of those-agree.
yours
Aharon
|
[
Ответить ]
|
|
Re: Застарелое повреждение голеностопа
Андрей Верховский 15 Август 2008, 22:28
|
Боль в области дистального межберцового синдесмоза вероятнее всего связана с отсутствием амортизационных функций последнего в связи со сращением берцовых костей, что похоже явилось следствием проведения винта непосредственно через синдесмоз. Категорически не согласен что сустава "нет". Личное мнение: разъединить сращение берцовых костей через доступ 5-6 мм в проекции сращения 8 мм долотом БЕЗ последующей иммобилизации. Одномоментно провести артроскопию сустава (удалить тела если обнаружатся, рубцы из наружного отдела, отмыть) и в последующем терапия посттравматического остеоартрита (нпвс, вискосаплиментаторы в полость сустава и т.д.). Искалечить человека вы всегда успеете, так что не спешите.
|
[
Ответить ]
|
Re: Застарелое повреждение голеностопа
Отправитель: Alexander Chelnokov 16 Август 2008, 17:02
|
АВ> Боль в области дистального межберцового синдесмоза вероятнее
АВ> всего связана с отсутствием амортизационных функций последнего в
Основная проблема в том, что не была достигнута репозиция, стопа зафиксирована в наружном подвывихе. Единственное, что имело шансы на
успех из сохраняющих сустав манипуляций - ранний ревизионный остеосинтез. Однако же все оставлено и срослось как есть. И при уже явных вторичных изменениях никакими паллиативными мерами стойкого
благоприятного результата не получить.
АВ> Искалечить человека вы всегда успеете, так что не спешите.
Калечащей операцией здесь был остеосинтез в подвывихе. А артродез как раз позволит достичь опорной и безболезненной конечности.
|
[
Ответить ]
|
|
Re: Застарелое повреждение голеностопа
Дедок Михаил 15 Август 2008, 22:56
|
Согласен с мнением Андрея Верховского.
Артродез- голеностопного сустава инвалидизирующая операция с последующим развитием подтаранного артроза. Боли не исчезнут.А трехсуставной артродез сдесь явно не показан. Добавить 3- 4 месяца временной нетрудоспособности в послеоперационном периоде....
К тому- же по старым канонам МСЭК - это третья группа инвалидности. Теперь не дадут даже её. А на рентгенограммах ДОА 2 стадии. Третья с очень большой натяжкой + бутылка рентгенологу.
Артроскопический дебридмент + восстановить подвижность синдесмоза.
В послеоперационном периоде алфлутоп внутрисуставно курсом, лазер и в довершении дипроспан (дипроспан не ранее 3- 4 недель с момента операции).
Если нет желания оперировать, то алфлутоп и дипроспан внутрисуставно (дипроспан не более 0,3- 0,5 мл. Можно ввести в сустав нолтрекс, остенил и т.д.
Как правило, боли значительно уменьшаются.
|
[
Ответить ]
|
Re: Застарелое повреждение голеностопа
Отправитель: Alexander Chelnokov 16 Август 2008, 22:05
|
ДМ> последующим развитием подтаранного артроза. Боли не исчезнут.
А на каком клиническом материале проанализироали, у какой части пациентов после артродеза голеностопного сустава развивается выраженный процесс в подтаранном?
ДМ> К тому- же по старым канонам МСЭК - это третья группа
ДМ> инвалидности. Теперь не дадут даже её. А на рентгенограммах ДОА 2
ДМ> стадии. Третья с очень большой натяжкой + бутылка рентгенологу.
Стадия артроза определяется еще и клиникой. Но и рентгенологическая картина тут более чем достаточная. И нарушенные взаимоотношения в
суставе налицо, и вторичные изменения. Группа и сейчас вполне уместна.
ДМ> В послеоперационном периоде алфлутоп внутрисуставно курсом, лазер
ДМ> и в довершении дипроспан (дипроспан не ранее 3- 4 недель с момента операции).
ДМ> Если нет желания оперировать, то алфлутоп
Опять этот загадочный алфлутоп всплывает. На каких исследованиях основаны представления о том, что он вообще какое-то полезное действие оказывает? Этот препарат неизвестен нигде за пределами бывшего СССР и, видимо, страны-изготовителя. Пока не удалось обнаружить ни одного
рандомизированного испытания.
|
[
Ответить ]
|
|
Re: Застарелое повреждение голеностопа
Дедок Михаил 17 Август 2008, 01:21
|
По поводу уместности группы.
Только при наличии ДОА голеностопного сустава 3 стадии группу, даже третью, МСЭК не даст. В моей практике были отказы в группе инвалидности даже после артродезирования голеностопного сустава при сохранном втором. А некоторым больным группу снимали , мотивируя рациональным трудоустройством. МСЭК, стали гораздо строже. Опять же, кем пациент работает?.
Артродез- операция отчаяния.
По поводу алфлутопа. Все крупные исследования по препаратам финансируются фарм.фирмами. И вообще, коллега, вы не знаете как пишут статьи ...ммм.. с потолка?!
У нас положительный опыт по данному препарату не менее 1000 пациентов. Постараемся обработать статистически и предоставить результаты.
|
[
Ответить ]
|
Re: Застарелое повреждение голеностопа
Отправитель: Alexander Chelnokov 17 Август 2008, 16:32
|
ДМ> Только при наличии ДОА голеностопного сустава 3 стадии группу,
[...]
ДМ> строже. Опять же, кем пациент работает?.
Да, это один из ключевых моментов. Но при прочих равных после артродеза пациенты могут работать не только служащими, но и с физическими нагрузками.
ДМ> Артродез- операция отчаяния.
Жизнь на фоне постоянной боли и хромоты действительно может довести до отчаяния. Наверно, есть смысл пораньше решить проблему, замкнув
бесперспективный сустав.
ДМ> По поводу алфлутопа. Все крупные исследования по препаратам
ДМ> финансируются фарм.фирмами.
Это не мешает появляться немалому количеству публикаций об исследованиях, не выявляющих отличия того или иного препарата от плацебо.
Фактор ангажированности существует, но он не настолько выражен, чтобы вот уж прямо все публикации считать сфабрикованными для оправдания продаж неэффективных препаратов. Да и фармфирмам это не нужно - когда правда всплывет, может дороже обойтись. Кроме того, все авторы статьи
обязаны раскрывать конфликты интересов. И тут тоже обманывать себе дороже.
ДМ> У нас положительный опыт по данному препарату не менее 1000
ДМ> пациентов. Постараемся обработать статистически и предоставить результаты.
Дело за малым - убедиться, что этот опыт собран методологически корректно, то есть больные случайным образом распределялись на две группы, получающие идентичное лечение, за исключением этого препарата. Если дело обстояло не так - никакая обработка достоверных результатов не даст, без рандомизации не доказать, стало больному
лучше благодаря алфлутопу, или вопреки.
Вообще-то успешный поиск результатов исследований такого дизайна должен предшествовать включению этого препарата в свою текущую практику. И если таких исследований не нашли, нет оснований его
использовать. Или возникает подозрение в какой-то иной заинтересованности этот препарат выписывать.
|
[
Ответить ]
|
Re: Застарелое повреждение голеностопа
Отправитель: Maxim Agalakov 20 Август 2008, 21:31
|
Полностью согласен с мнением А.Н., артродез, в таком случае- не шаг отчаяния, а средство решения основных проблем: боль и неопороспособность конечности. Есть дисер Лаврукова А.М., где основная мысль- артродезы г/с в случаях артозов дают лучшие результаты. Протезироывание г/с, как мне кажется, пока находится в стадии эксперимента и данных о отдаленных результатов не встречал, в России вряд ли кто-то располагает значимым опытом в этой практике.
С уважением, Мвксим А. Е-бург
|
[
Ответить ]
|
Re: Застарелое повреждение голеностопа
Отправитель: Sereda Andrey 18 Август 2008, 00:03
|
А я знаю случай, когда алфлутоп проанализировали на хроматографе. Оказалось - вода.
Ваши статистические результаты получатся некорректными, так как
1. У вас уже имеется убежденность в пользе препарата.
2. Материал - ретроспективный. В таких случаях действительно статьи идут "с потолка". А вы не пишите "с потолка" - сразу заметны белые нитки.
3. Нет рандомизации.
4. Нет ослепления. Плюс см п 1.
5. С чем сравнивать будете - no treatment? Placebo? Что будет в плацебо - вода? А не пробовали новокаин внутрисуставно?
6. Кроме того, корректно сравнивать новый способ лечения с лучшим из известных. Сраните с ферматроном? Да, он дороже. Ну так может стоит его предлагать больным, а не действовать по принципу - все равно не купят. Кто-то да купит.
7. А что, все кто не получал лечения алфлутопом, так и пребывают в обострении?
8. Как вы в своем исследовании будете учитывать физическую активность пациента в ходе лечения? Известно, что многие обострения артроза проходят быстрее, если отлежаться.
9. Вы действительно сможете учесть назначения 1 тысче пациентов НПВП? Местно, пер ос?
10. По какой шкале вы будете оценивать результаты? ВАШ? SF - 36? IKDC? WOMAC? Если пациенты не заполняли опросники, то как вы будете оценивать ретроспективный материал? По количеству койко дней? А что тогда с отдаленными результатами? Где гарантия, что через год после алфлутопа у 40% пациентов обострения не станут чаще и хуже? Ведь до вас наверняка дойдут на повторный курс алфлутоповливания только 10-30%, а те самые 40% пойдут к капустным листам и другим докторам? Т.е. будете ли вы учитывать lost from follow up? Будете ли вы связываться с выбывшими из исследования по почте, телефону?
11. Уж лучше исследование на 50-100 пациентах, но с корректным дизайном, чем на 1000, но с потолка.
12. Актульность качественного исследования эффективности алфлутопа весьма сомнительна. Предпосылок нет.
|
[
Ответить ]
|
|
Re: Застарелое повреждение голеностопа
Mikhail Smokov 18 Август 2008, 21:30
|
Коллеги! Спасибо за участие в обсуждении данного случая. Как и пранировал - провел КТ г/с. Свободных тел необнаружено. На КТ четко визуализируются 2 массивных оссификата (в области синдесмоза и передне-медиальном отделе). К слову сказать на КТ сустав выглядит намного "симпатичнее". С каким-либо оперативным лечением решено повременить, поскольку на данный момент состояние пациента удовлетворительное.
Заинтересовала техника предложениая доктором Либерсоном, хотелось бы изучить поподробнее. Коллеги, возможно у кого есть какие-либо материалы по ankle distraction artroplasty (рус, англ.) Буду благодарен за ссылки.
|
[
Ответить ]
|
( Ответить )
|
|