AOTRAUMA.ORG Центр Илизарова  

Ортопедия и травматология Общие вопросы/General questions Help Информационные технологии в медицине
 вверх
 отправить
 поиск
 админ
 главная
 Предыдущее
 Весь тред


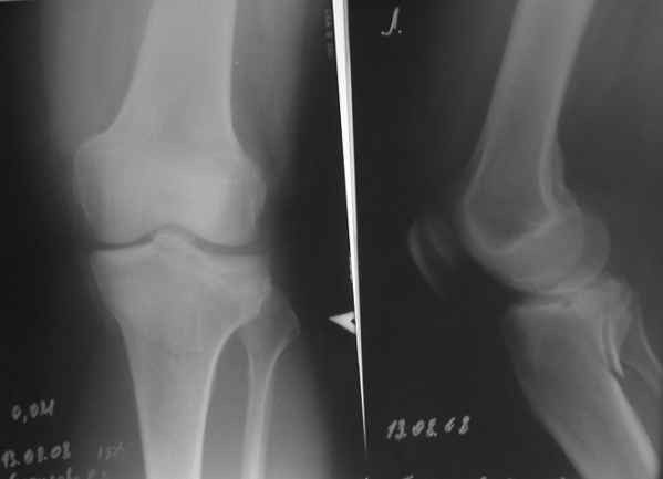
Re: подбор имплантата
С. Киселев 22 Август 2008, 16:57
конечно есть, просто не дошли. Посылаю




  • Сообщения о Help
  • Также С. Киселев
  • Связаться с автором
  • Ответить

    Re: подбор имплантата
    Sereda Andrey 22 Август 2008, 22:16
    Действительно, доступ капризный. Из имплантов я бы выбрал Tomofix от синтез.
    [ Ответить ]


    ( Ответить )

    Powered by Zope  Squishdot Powered MedLink
    Посетитель: 0195295
      "По форме правильно, а по существу - издевательство" В.И.Ленин
    ©2001-2019Orthoforum Coordinator.
    [ Главная | Отправить сообщение | Поиск | Админ ]