AOTRAUMA.ORG Центр Илизарова  

Ортопедия и травматология Общие вопросы/General questions Help Информационные технологии в медицине
 вверх
 отправить
 поиск
 админ
 главная
 Предыдущее


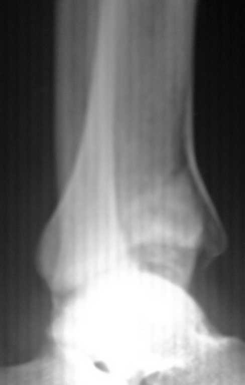
Re: Перелом дистального метаэпифиза ББ кости
Димтрий бондарь 27 Август 2008, 22:27
Приветствую ! Что то вторая проекция не прошла :((
Пересылаю


  • Сообщения о Ортопедия и травматология
  • Также Димтрий бондарь
  • Связаться с автором
  • Ответить

    Re: Перелом дистального метаэпифиза ББ кости
    Sereda Andrey 27 Август 2008, 23:00
    Здравствуйте. Я думаю что нужно использовать передний доступ. Заодно нужно мыть область гребень подвздошной оксти. Вполне может потребоваться аутопластика - все таки вполне серьезная импрессия.
    Фиксатор - LCP Pilon Plate 2.7/3.5
    www.haukeland.no/metodebokorto/Metodebok_Leger/pdf/LCP_Pilon_OPTechnique.pdf
    Он позволит фиксировать при необходимости и сам трансплантат, и получить мостовидную фиксацию в области импрессии. Неблокируемые пластины в случае восстановления суставной поверхности с импрессионым дефектом будут иметь ограниченную дистальную опору, что неблагоприятно скажется на фиксации.
    [ Ответить ]


    ( Ответить )

    Powered by Zope  Squishdot Powered MedLink
    Посетитель: 0000068
      "По форме правильно, а по существу - издевательство" В.И.Ленин
    ©2001-2019Orthoforum Coordinator.
    [ Главная | Отправить сообщение | Поиск | Админ ]