AOTRAUMA.ORG Центр Илизарова  

Ортопедия и травматология Общие вопросы/General questions Help Информационные технологии в медицине
 вверх
 отправить
 поиск
 админ
 главная


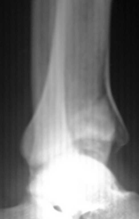
Перелом дистального метаэпифиза ББ кости
Ортопедия и травматология Отправлено Димтрий бондарь 26 Август 2008, 21:53
Приветствую , коллеги ! Помогите определиться с тактикой оперативного лечения и выбором импланта
Больной 29 лет , плотник , травма 3 дня назад - упал с высоты 2 метра . Первая помощь в травмпункте одного уважаемого учреждения . Диагноз " З. перелом внутренней лодыжки без смещения ". рекомендовано консервативное лечение. Сегодня госпитализировал в своё отделение , мой диагноз - "Перелом пилона", планирую оперативное лечение в объёме: открытая репозиция , костная пластика после восстановления суставной поверхности, Фиксация Т или L пластиной, используя её в качестве опорной . Сверху АВФ в режиме дистракции с шарнирами для ранних движений.
Вопросы:
1. какой лучше использовать доступ?
2. возможный фиксатор? (уговорить на LCP? или "лист клевера" ?) материальные возможности в приобретении импланта ограничены.
3. Что я упустил\ошибся ?( Больной от операции в ургентном порядке отказался ).
Более качественные снимки представлю позже . (сломался рентгенаппарат )
С уважением Д.Б.

<  |  >

 

  • Сообщения о Ортопедия и травматология
  • Также Димтрий бондарь
  • Связаться с автором
  • Ответить

    Re: Перелом дистального метаэпифиза ББ кости
    Alexander Chelnokov 26 Август 2008, 23:23
    > 1. какой лучше использовать доступ ?

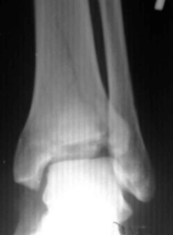
    А можно вторую проекцию и КТ посмотреть?
    [ Ответить ]

    • Re: Перелом дистального метаэпифиза ББ кости
      Отправитель: Lespovich 27 Август 2008, 21:57
      Перелом внутрисуставной, с импрессией или переднего или заднего (нужна боковая проэкция) края tibia. Думаю, что пластика нужна, фиксация клевером возможна, но зачем аппарат? Не пересолите, коллега. Да, и предупредить пациента о развитии посттравматического остеоартроза надо обязательно - это потом упростит ваши с ним взаимоотношения.......

      [ Ответить ]
    Re: Перелом дистального метаэпифиза ББ кости
    Димтрий бондарь 27 Август 2008, 22:27
    Приветствую ! Что то вторая проекция не прошла :((
    Пересылаю


    [ Ответить ]

    • Re: Перелом дистального метаэпифиза ББ кости
      Отправитель: Sereda Andrey 27 Август 2008, 23:00
      Здравствуйте. Я думаю что нужно использовать передний доступ. Заодно нужно мыть область гребень подвздошной оксти. Вполне может потребоваться аутопластика - все таки вполне серьезная импрессия.
      Фиксатор - LCP Pilon Plate 2.7/3.5
      www.haukeland.no/metodebokorto/Metodebok_Leger/pdf/LCP_Pilon_OPTechnique.pdf
      Он позволит фиксировать при необходимости и сам трансплантат, и получить мостовидную фиксацию в области импрессии. Неблокируемые пластины в случае восстановления суставной поверхности с импрессионым дефектом будут иметь ограниченную дистальную опору, что неблагоприятно скажется на фиксации.

      [ Ответить ]
    Re: Перелом дистального метаэпифиза ББ кости
    Гринь Алексей 28 Август 2008, 21:35
    Уважаемый Дмитрий. Считаю доступ д.б передним, костная пластика обязательна. LCP конечно фиксатор замечательный, но уж больно дорогой. В данном случае раннюю нарузку Вы все равно давать не будете. Поэтому бикортикальный трансплантат и лист клевера прекрасный выбор! Удачи.

    [ Ответить ]

    • Re: Перелом дистального метаэпифиза ББ кости
      Отправитель: Sereda Andrey 28 Август 2008, 23:18
      Уважаемый Алексей, скажите пожалуйста, что вы имеете в виду, говоря "бикортикальный трансплантат"? Спасибо.

      [ Ответить ]
    Re: Перелом дистального метаэпифиза ББ кости
    Антон Жаглин 29 Август 2008, 10:10
    Уважаемый коллега! Думаю, что имплант с угловой стабильностью даст Вам возможнность ранней реабилитации пациента- ДОЗИРОВАННАЯ нагрузка при этом возможна с первых дней после операции. Я бы остановился на Pilon Plate,хотя и "лист клевера" тоже возможен, но предпочтительнее все- таки LCP дизайн.
    [ Ответить ]

    • Re: Перелом дистального метаэпифиза ББ кости
      Отправитель: Sereda Andrey 29 Август 2008, 23:19
      Мне кажется что после имрессионного дефекта с нагрузкой стоит подождать вне зависимости от типа пластины.

      [ Ответить ]
    Re: Перелом дистального метаэпифиза ББ кости
    Димтрий бондарь 03 Сентябрь 2008, 22:12
    Доброго времени суток , коллеги ! Сегодня прооперировал больного . Пошёл передне-латеральным доступом ,вышел точно на перелом после артротомии . Импрессия составила около 1 см . репозиция без особых проблем , костная пластика , фиксация "клевером" (LCP больной не "потянул" ) , . снимки выложу завтра С мягкиси тканями проблем не было .
    Спасибо всем за советы .
    С уважением Д.Б.
    [ Ответить ]

    Re: Перелом дистального метаэпифиза ББ кости
    Максим 10 Сентябрь 2008, 01:26
    Ну где же контрольные снимки?
    [ Ответить ]


    ( Ответить )

    Powered by Zope  Squishdot Powered MedLink
    Посетитель: 0187536
      "По форме правильно, а по существу - издевательство" В.И.Ленин
    ©2001-2019Orthoforum Coordinator.
    [ Главная | Отправить сообщение | Поиск | Админ ]