ВХОД ДЛЯ ПАЦИЕНТОВ
вверх
поиск
админ
главная
исходное
|
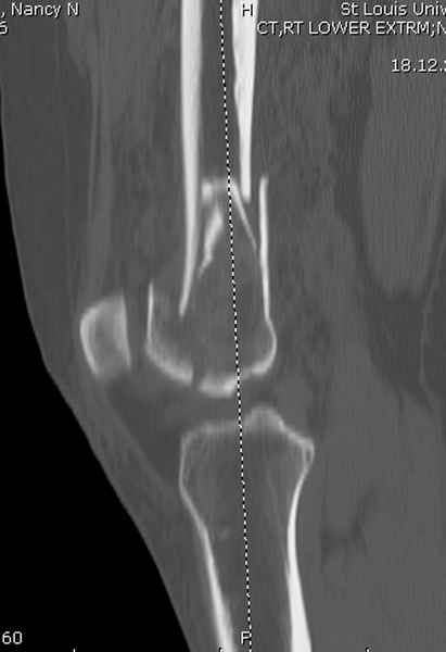
Re: Сегментарный перелом бедра - открыто или закрыто?
послал Djoldas Kuldjanov 30 Сентябрь 2008, 22:13
|
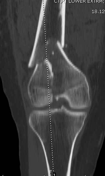
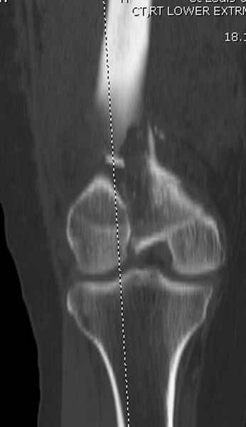
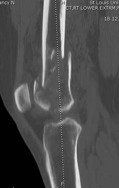
При наличии различных имплантов, любые варианты: слева (полу) открытым - мининвазивным, а справа закрытым интрамедуллярным методом, его считаем более чем приемлемым для фиксации данных переломов.
Проксимальная и дистальная блокировка, независимо от техники введения штифта, ретроградно или антеградно, гарантирует сращение сегментарных переломов бедра без укорочения. Штифты диаметром 12 мм с блокировкой сверху и вниз двумя шурупами выдерживают вес 75 кг больного, что позволяет раннюю профилактику контрактур.
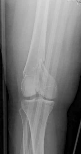
Погоня за "красивой рентгенограммой" не всегда оправдана для фиксации кости, где имеется массивное мягкотканое покрытие. Если так уж хочется исправить положение кости, то при наличии ЭОП, большие костные фрагменты могут быть развернуты или приближены к основному фрагменту методом применения Joystick.
Главное в лечении сегментарных переломов - необходима осторожность при рассверливании канала, продвижение гибкого сверло через сегмент проводят без сверления, толканием, а то были случаи, когда весь сегмент крутился вместе со сверлом.
Из-за вариабельности установки дистальных шурупов и возможности перкутанного введения проксимально предпочитаем DePuy Polyax, хотя на сегодняшнем маркете множеств вариантов фиксации дистального бедра перкутанном методом.

Djoldas Kuldjanov, MD
Department of Orthopedic Surgery
St. Louis University Medical Center
|
| Послать ответ |
Обратите внимание: Поля с жирными названиями обязательны.
Старайтесь отвечать в рамках обсуждаемой темы, а не начинать новые обсуждения.
Указывайте адекватную тему сообщения, чтобы было ясно, о чем оно.
Не послайте сообщений не по теме (оффтопик), раздраженных, грубых или обидных комментариев. Здесь это неуместно.
|