вверх
отправить
поиск
админ
главная
|
Сегментарный перелом бедра - открыто или закрыто? |
 |
 |
 |
Отправлено Алексей Смирнов 28 Сентябрь 2008, 23:15
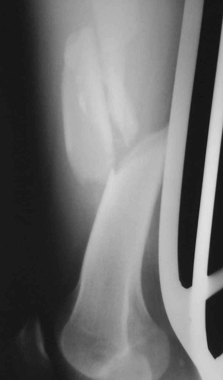
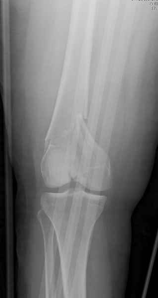
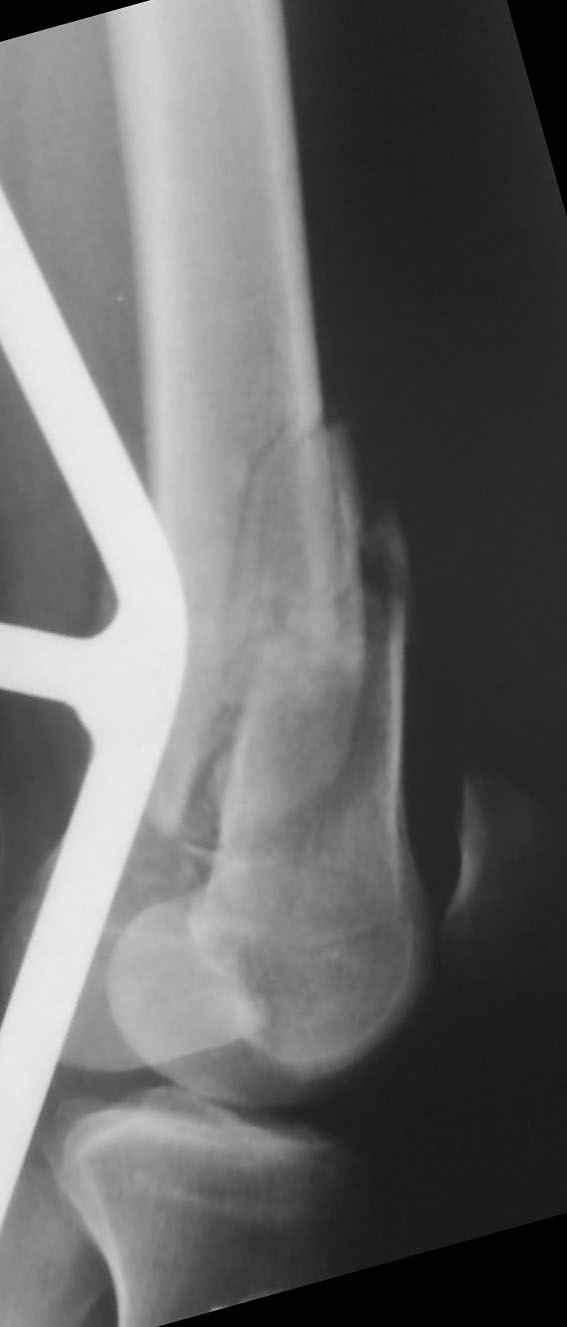
Привет из Нижнего Новгорода! К нам поступил пациент 25 лет с закрытыми переломами обеих бедренных костей, прошел месяц после травмы. Слева - внутрисуставной перелом, поэтому выбор здесь очевиден, открытая репозиция, стабильная фиксация, скорее всего LCP DF, а справа - мнения учёных, как говорится, разошлись. Лично я, как лечащий врач, за закрытый интрамедуллярный остеосинтез DFN. Со мной согласна половина коллектива, другая - за интрамедуллярный остеосинтез (DFN,UFN) но с открытой реопозицией, поскольку при закрытой методике все осколки останутся где-то сбоку, получится дефект и вдруг не срастется!Философский вопрос: что лучше - красивая рентгенограмма или сохранение кровоснабжения? Очень важно мнение коллег! Смирнов Алексей
<
|
>
|
|
Ответить
|
Re: Сегментарный перелом бедра - открыто или закрыто?
Alexander Chelnokov 29 Сентябрь 2008, 01:33
|

Мы бы не стали открывать, такие переломы срастаются, хотя бы и с краевым дефектом. То есть если удалять стержень потом, то сильно попозже обычного. В приложении пример. Сразу после операции и через 11 мес. Понятное дело, пациент к тому времени давно и не хромал, и функция колена была полная.
|
[
Ответить ]
|
Re: Сегментарный перелом бедра - открыто или закрыто?
Djoldas Kuldjanov 30 Сентябрь 2008, 22:13
|
При наличии различных имплантов, любые варианты: слева (полу) открытым - мининвазивным, а справа закрытым интрамедуллярным методом, его считаем более чем приемлемым для фиксации данных переломов.
Проксимальная и дистальная блокировка, независимо от техники введения штифта, ретроградно или антеградно, гарантирует сращение сегментарных переломов бедра без укорочения. Штифты диаметром 12 мм с блокировкой сверху и вниз двумя шурупами выдерживают вес 75 кг больного, что позволяет раннюю профилактику контрактур.
Погоня за "красивой рентгенограммой" не всегда оправдана для фиксации кости, где имеется массивное мягкотканое покрытие. Если так уж хочется исправить положение кости, то при наличии ЭОП, большие костные фрагменты могут быть развернуты или приближены к основному фрагменту методом применения Joystick.
Главное в лечении сегментарных переломов - необходима осторожность при рассверливании канала, продвижение гибкого сверло через сегмент проводят без сверления, толканием, а то были случаи, когда весь сегмент крутился вместе со сверлом.
Из-за вариабельности установки дистальных шурупов и возможности перкутанного введения проксимально предпочитаем DePuy Polyax, хотя на сегодняшнем маркете множеств вариантов фиксации дистального бедра перкутанном методом.

Djoldas Kuldjanov, MD
Department of Orthopedic Surgery
St. Louis University Medical Center
|
[
Ответить ]
|
Re: Сегментарный перелом бедра - открыто или закрыто?
Aonin 02 Октябрь 2008, 06:39
|
Я тоже сторонник закрытого синтеза в данной ситуации.
Конечно, во многом - дело личных пристрастий, но я бы вводил штифт антероградно и не беспокоил бы без нужды коленный сустав. Кстати, на этой неделе (впервые) столкнулся с гнойным артритом колена после ретроградного гвоздя, вбитого одним из моих коллег - безрадостная ситуация ...
|
[
Ответить ]
|
Re: Сегментарный перелом бедра - открыто или закрыто?
Ерсин Жунусов 02 Октябрь 2008, 22:23
|
Привет Алексей! Извиняюсь что поздно участвую форуме, я неоднократно сталкивался с такой ситуацией, оптимальным является закрытый блокирующий остеосинтез, во время операции у тея может возникнут первая проблема это сложность восстановить длину, через месяц на ортопедической приставке сложно, я накладываю дистрактор: два стержня вертельной области один максимально казди другой кнутри чтоб не мешал фиксирую на дуге 165 град от АВФ, затем через мыщеклки провожу 2 спицы перекрстно фиксирую в полукольце спереди бедра, сежиняю на вносных планках телескопическими стержнями, растягиваю под эопом, если растянул укладвываю на ок, если противополжная тоже сломана на полубок чтобы вышел вертел далше как обычно, за фрагментом вообще не гнояюсь, потом увидите он сам под тонусом приляжется к зоне перелома, пытатся одет на нее репонирующую спицу или сразу штифт лишняя мука, блокировка на стат винтах и с 10 дня давал награузку до 50%, еще через 3 нед полную, осокльчатые переломы любят нагрузку если все нормально будет массивный мозоль заткнет твоих оппнентов, буквально 3 мес назад оперировал мужика перелом 2 бедер, голеней и плеча. правое бедро имел такой же фрагмент как у Вашего пациента, еще расколото вдоль трубки, штифт завел закрыто больше половины фрагмента лежал на стороне, пришел без костылей на ренггене осколок улегся на место. еще после опрации застав его занятся напряженеием мышц бедра с утра до вечера (тзометричекая гимнатсика, мышцы все равно затолкает на место.
ерсин,астана, зав политравой
|
[
Ответить ]
|
Re: Сегментарный перелом бедра - открыто или закрыто?
Станислав Дмитриев 02 Октябрь 2008, 23:24
|
Алексей, привет! Слева поставил бы то же, что и ты планируешь. Справа бы UFN, лучше в экспертном исполнении, или отверстий насверли. DFN можно, конечно, но я бы колено дырявить не стал. Недавно "сделали" такой же перелом UFN-ом, снимки завтра перешлю на почту. Через месяц будут проблемы с репозицией. Не думал справа сначала аппаратом ось исправить, а затем штифтовать?
С уважением, Станислав Дмитриев.
|
[
Ответить ]
|
Re: Сегментарный перелом бедра - открыто или закрыто?
Солод Эдуард 06 Октябрь 2008, 21:03
|
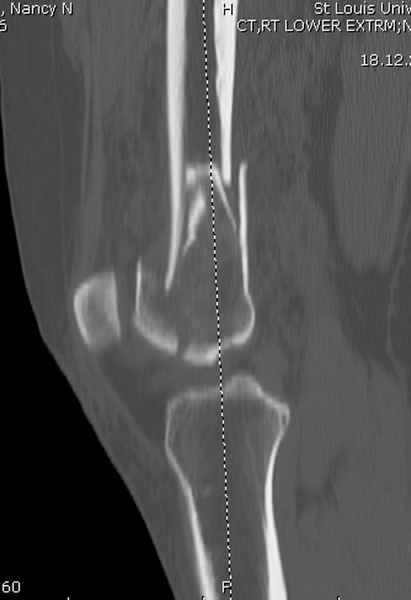
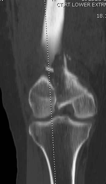
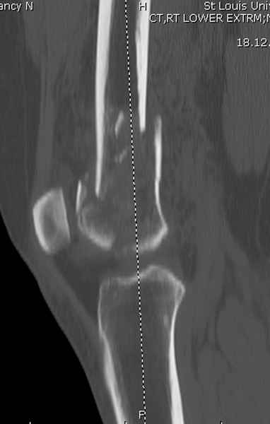
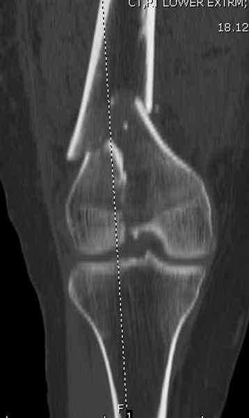
Приветствую всех коллег!!Во первых слева хотелось бы видеть четкую боковую проекцию а лучше КТ. По р-мам есть сомнения насчет повреждения суставной поверхности. При подобных переломах даже внутрисуставных без смещения хорошие результаты показал закрытый ретроградный остеосинтез универсальным бедренным стержнем Деост.Кстати при внутрисуставном переломе возможно применение вместо винтов стягивающих болтов!!(См. метод.Деост).При переломе справа также стержень Деост. Однако без открытия Вам не удастся устранить интерпозицию, только промучаетесь!Из минимального разреза удалите интерпозициб и фиксируйте стержнем. Причем универсальный стежень Деост позволяет фиксировать дистально минимум на трех уровнях!
|
[
Ответить ]
|
Re: Сегментарный перелом бедра - открыто или закрыто?
Солод Эдуард 06 Октябрь 2008, 21:05
|
Приветствую всех коллег!!Во первых слева хотелось бы видеть четкую боковую проекцию а лучше КТ. По р-мам есть сомнения насчет повреждения суставной поверхности. При подобных переломах даже внутрисуставных без смещения хорошие результаты показал закрытый ретроградный остеосинтез универсальным бедренным стержнем Деост.Кстати при внутрисуставном переломе возможно применение вместо винтов стягивающих болтов!!(См. метод.Деост).При переломе справа также стержень Деост. Однако без открытия Вам не удастся устранить интерпозицию, только промучаетесь!Из минимального разреза удалите интерпозициб и фиксируйте стержнем. Причем универсальный стежень Деост позволяет фиксировать дистально минимум на трех уровнях!
|
[
Ответить ]
|
Re: Сегментарный перелом бедра - открыто или закрыто?
Отправитель: Станислав Дмитриев 08 Октябрь 2008, 20:52
|
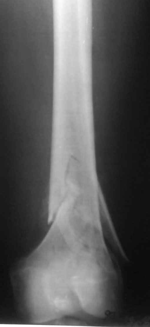
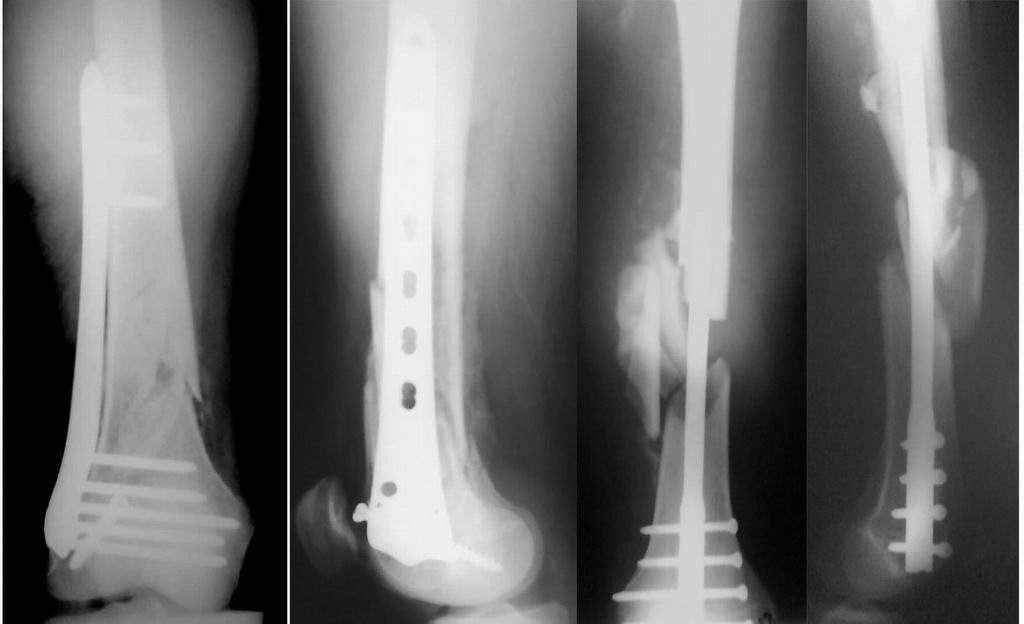
Уважаемые коллеги! От имени Алексея Смирнова всем спасибо за обсуждение. Больной прооперирован. Снимки в приложении.

|
[
Ответить ]
|
|
( Ответить )
|
|