вверх
отправить
поиск
админ
главная
|
Тяжелый открытый перелом бедра и голени - тактика |
 |
 |
 |
Отправлено Бережной Сергей 17 Октябрь 2008, 02:27 Мединцентр, Москва
Тяжелый открытый внутрисуставной перелом дистальной части бедренной кости и открытый голени в средней трети,множественные раны и некрозы на голени. Что делать? 4 суток после мотоциклетной травмы. 16 лет. Переведен из районной больницы, где основные раны на голени и бедре были ушиты наглухо и наложено скелетное вытяжение за бугристость и пятку, через 2 суток. При поступлении - высокая лихорадка, анемия. Из сопутствующих только сотряс. Раны на бедре и голени расскрыты, обработаны. На передней поверхности бедра рана с начавшимся нагноением, около 15х8см, полость распространяется от места перелома, где значительная часть отломков практически лишена связи с мягкими тканями, до верхней трети, откуда удалена гематома 200мл. 4-главая мышца повреждена, отрыв и перелом без смещения надколенника. Проксимальный отломок бедренной кости на протяжении 20см на 2 трети окружности лишен надкостницы. Резко выраженный отек бедра. На голени рана на передней поверхности 12 х 5см, дном является лишенная надкостницы большеберцовая кость, некроз краев раны. Множественные раны и участки некрозов кожи в области коленного сустава, обширные некрозы на голени в нижней и верхней третях. Пульсация на стопе отчетливая, при этом некрозы в нижней трети голени постепенно увеличиваются. Сейчас на ИВЛ с клиникой респираторного дистресс синдрома. Что делать - неясно. Возможен ли при таком переломе бедра интрамедуллярный остеосинтез? Было бы здорово фиксировать оба перелома через 1 доступ.
<
|
>
|
|
Ответить
|
Re: Тяжелый открытый перелом бедра и голени - тактика
Ivan Petrov 17 Октябрь 2008, 12:00
|
Уважаемый Сергей.
Интрамедуллярный остеосинтез абсолютно противопоказан по ряду факторов, главными из которых является наличие рдсв и нагноение раны в области перелома. А вот почему пациенту до сих пор не применена внешняя фисакция (любого типа) не понятно, вроде бы все показания имеются. Это необходимо сделать как можно скорее. По всей видимости, больному также показана фасциотомия и ревизия фасциальных футляров голени. Перед операцией больной тебует дообследования, как минимум УЗДГ сосудов ноги и ангиографии (так как наличие пульсации не исключает повреждение сосуда), при малейших сомнениях - операция дополняется ревизией сосуда. РДСВ, или по-новому, синдром острого легочного повреждения (ALI), слишком широкое понятие, и в данном случае требует скорейшего уточнения, так как может быть обусловлен: пропущенной закрытой травмой грудной клетки, синдромом мендельсона, ТЭВЛ, жировой эмболией,прогрессирующим ишемических некрозом мышц голени, сепсисом и рядом других причин, некоторые из которых также требуют немедленного хиругического вмешательства. Если вы представите больше объективных данных (РОГК, отклонения в стандартных анализах, ЭКГ, ЭхоКГ, колебания ЦВД, ДЗЛК)то круг поисков значительно сузится.
|
[
Ответить ]
|
Re: Тяжелый открытый перелом бедра и голени - тактика
Alexander Chelnokov 17 Октябрь 2008, 19:45
|
Ситуация на сейчас довольно однозначно направляет намерения в сторону остеосинтеза бедра и голени bridging стержневым аппаратом, с повторными минимально травматичными обработками ран. Раны хорошо бы закрывать с помощью VAC. На форуме эту технику не раз обсуждали. Она реализуется необязательно только с фирменными поролоном, пленкой и отсосом KCI. Окончательную внутреннюю фиксацию планировать уже после разрешения проблем с легкими и мягкими тканями. Лучше бы посмотреть не только CT, но и обычные рентгенограммы а протяжении. Может быть, и интрамедуллярный остеосинтез уместно будет обсудить.
|
[
Ответить ]
|
Re: Тяжелый открытый перелом бедра и голени - тактика
Отправитель: Бережной Сергей 17 Октябрь 2008, 22:54
|
Спасибо за быстрые и подробные ответы. Сегодня выполнена повторная достаточно радикальная хирургическая обработка ран, иссечены участки уже сформировавшихся некрозов на голени. Рана на бедре чистая, отек значительно уменьшился, так же к сожалению, как и количество отломков: часть пришлось удалить из-за полного отсутствия связи с мягкими тканями. Рана бедра закрыта вакуумной повязкой. Общее состояние улучшается. Последующие рентгенограммы обязательно представлю.
|
[
Ответить ]
|
Re: Тяжелый открытый перелом бедра и голени - тактика
Отправитель: Ivan Petrov 18 Октябрь 2008, 10:07
|
Аппарат внешней фиксации наложили? Максимально стабильная и малотравматичная фиксация переломов - это, так сказать key point, в лечени данного пациента (в т.ч и для лечения легочных проблем).
|
[
Ответить ]
|
|
Re: Тяжелый открытый перелом бедра и голени - тактика
Ерсин Жунусов 17 Октябрь 2008, 21:45
|
Уважаемый Сергей!
Сразу хочу сказать чем раньше перейдете на АВФ (спицевой или спицестержневой)тем больше шансов ликвидировать гнойно-воспалительный процесс и перейтти на БИОС на втором этапе. Дело в том, что скелетное вытяжение, нестабильность отломков и постоянное давление шиной Беллера по задней поврехности конечности еще более усугубить течение (порочный круг) открытого перелома. Необязательно накладывать кольцевой вариант АВФ и можно наложить прямо в ОАРИТ, мне кажется сейчас рану лучшее вести открыто и провести вторичную хиругическую обработку, если есть УЗ обработка или обильно промойте желательно пульсирующей струей 2-3 раза в день (самое главное рану держать влажно чтобы не высыхало оголенный на протяжении б/б кость иначе неизбежна сегментарная резекция).
Я тоже разделяю мнение Александра Николаевича, чем раньше перейдете на VAC, тем быстрее будет отторгаться некроз. Если есть РДС, возьмите бак посев и по чувствительности (введите желательно внутриартериальное) АБ терапия необязательно катетеризировать можно ввести пункционно (до 5-7 раз ничего страшного только с гепариновой пробкой) в бедренную артерию так как в/м и В/в введение легочной барьер не пройдет.
Подключите иммуномодулирующую терапию (полиоксдионий или ронколейкин). сейчас лучше поликосидоний т.к. он обладает иммуномодуляцией, дезинтоксикационным и антиоксидантным действием. Вообще БИОС возможен но, только после купирования и закрытия раневых поверхностей. Мы распологаем опытом около 100 случаев перехода на втором этапе лечения на БИОС, осложнения есть но не больше чем у других (в одном случае развился сепсис именно после БИОС). Оптимальный срок перехода не раньше 3 недель к этому времени в уже четко будете знать течение открытого перелома. извиняюсь за множество ошибок. после работы (целый день на операции). об остальных видах терапи я не стал писать и так понятно. Ерсин Жунусов. НИИТО РК. Астана. з/отд множ. травмы.
|
[
Ответить ]
|
Re: Тяжелый открытый перелом бедра и голени - тактика
В.Машталов 18 Октябрь 2008, 01:14
|
В данном случае показано стабилизация перелома, наложение внешнего фиксатора и фасциотомии с учетом повреждения мякгих тканей в зоне ведения - это бесспорно.
Спорны абсолютные противопаказания для интрамедулярного остесинтеза при респираторном дистресс синдроме вообще.
В тех случаях когда возможно выполнения БИОСа, то стабилизация перелома на фоне легочных осложнений травмы он более предпочнител как малоинвазивный
и окончательный (отличии от стержневых аппаратов).
В. Машталов
|
[
Ответить ]
|
Re: Тяжелый открытый перелом бедра и голени - тактика
Антон Андрианов 18 Октябрь 2008, 08:47
|
Трудно что-то добавить к комменту д-ра Петрова.Необходимо разобраться в чем причина тяжести общего состояния.Можно потерять пациента от общих осложнений в процессе достижения лучшего ортопедического результата.Но суть не в этом-до сих пор подобным больным, как и 36 лет назад, когда нас еще учили обязательному переводу открытого перелома в закрытый ЛЮБОЙ ценой, в ЦРБ общие хирурги стягивают раны.Вспоминаю слова одного ветерана районной хирургии, сказанные на областном обществе хирургов в 1975 году -как глухо не зашиваю раны,а гной все равно пробивается...перевозка подобных больных без АВФ могла привести к жировой эмболии.Налицо дефекты организации скорой помощи.Сейчас можно лишь пожелать удачи врачу и терпения больному.
|
[
Ответить ]
|
Re: Тяжелый открытый перелом бедра и голени - тактика
Антон Андрианов 18 Октябрь 2008, 08:47
|
Трудно что-то добавить к комменту д-ра Петрова.Необходимо разобраться в чем причина тяжести общего состояния.Можно потерять пациента от общих осложнений в процессе достижения лучшего ортопедического результата.Но суть не в этом-до сих пор подобным больным, как и 36 лет назад, когда нас еще учили обязательному переводу открытого перелома в закрытый ЛЮБОЙ ценой, в ЦРБ общие хирурги стягивают раны.Вспоминаю слова одного ветерана районной хирургии, сказанные на областном обществе хирургов в 1975 году -как глухо не зашиваю раны,а гной все равно пробивается...перевозка подобных больных без АВФ могла привести к жировой эмболии.Налицо дефекты организации скорой помощи.Сейчас можно лишь пожелать удачи врачу и терпения больному.
|
[
Ответить ]
|
Тяжелый открытый перелом бедра и голени - тактика
Бен Эльайфар Мохамед 18 Октябрь 2008, 19:09
|
АВФ накладывается до заживления ран, затем откр. репозиция и остеосинтез н/3 бедра длинной пластиной DCS, с костной пластикой если будет нужно.
|
[
Ответить ]
|
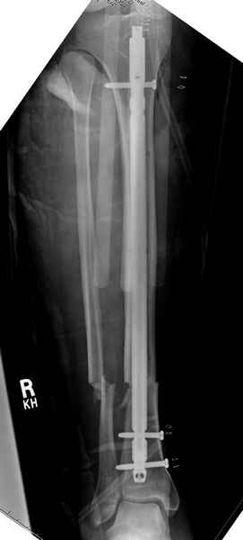
Re: Тяжелый открытый перелом бедра и голени - тактика
Djoldas Kuldjanov 19 Октябрь 2008, 17:43
|
Сегодня выполнена повторная достаточно радикальная хирургическая обработка ран, иссечены участки уже сформировавшихся некрозов на голени. Рана на бедре чистая, отек значительно уменьшился, так же к сожалению, как и количество отломков: часть пришлось удалить из-за полного отсутствия связи с мягкими тканями. Рана бедра закрыта вакуумной повязкой. Общее состояние улучшается. Последующие рентгенограммы обязательно представлю.”
Хирургическую обработку надо повторить неоднократно до очищения раны. Фиксатор типа "бедро-голень" помогает стабилизировать конечность и облегчит обслуживание.
Антибиотические бусы в мягких тканях оказывают то же действие, что и в костях, так что при наличии цемента с антибиотиком можно применить их для лечения.
Здесь похожий случай:

Больному с политравмой установлен наружный "spanning-bridging" фиксатор, после нескольких Irrigation&Debridment на фоне отрицательного посева из раны, через открытый участок установлен 4.5 mm Locking Plate.
На фоне фиксированного перелома бедра мероприятия по восстановлению мягкотканого покрова. Перелом голени зафиксирован после стабилизации бедра традиционным методом.
Антибиотические бусы могут быть оставлены в мягких тканях на длительный срок и не обязательно их удалять.
Из архива снимки самодельного "ваккумирования раны"
Djoldas Kuldjanov, MD
Department of Orthopedic Surgery
St. Louis University Medical Center
|
[
Ответить ]
|
( Ответить )
|
|