ВХОД ДЛЯ ПАЦИЕНТОВ
вверх
поиск
админ
главная
исходное
последующие
|
Re: МОС бедра, сустава Лисфранка.Тактика?
послал Ivan Petrov 29 Октябрь 2008, 20:17
|
Уважаемый Алексей.
Ситуация несколько сложней, чем представляется на первый взгляд.
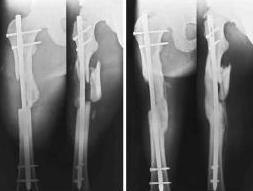
>>>Стержень конечно тонковат, торчит в колено...
Видимо не просто так он торчит, а его специально не добили, чтобы мыщелки "зацепить" на обе стяжки.
>>>Если не будет нагрузки, получите замедленное стащение...
Мне доводилось раз 5 вести переломы диафиза бедра со смещением консервативно (скелетное вытяжение, кокситная повязка). Без нагрузки в течение 4-5 месяцев все прекрасно срастается, даже при неидеальной репозиции.
Кроме того, есть рекомендации АО ("Принцип био-
логичного остеосинтеза заключается в минимизации ущерба биологии вследствие хирургического вмешательства и контакта с имплантатом. Это достигается за счет менее точной репозиции и менее
жесткой фиксации")и картинки в ряде классических руководств (вложеннный рисунок)

А вот если дать раннюю нагрузку на мыщелковые переломы бедра, может случится беда.
>>>Просто перештифтуйте ЗАКРЫТО более массивным штифтом, с рассверливанием и заблокируйте динамично.
А вот это до полной консолидации мыщелков сложновато. надо сначала влезть в коленный сустав, удалить гвоздь, выполнить ретроградное рассверливание и введение толстого штифта, не развалив при этом мыщелки. Коленка может "обидиться" на повоторное штифтование. Если штифтовать антеградно опять возникает вопрос: надо ли предварительно фиксировать мыщелки винтами?
Согласен, что пластина с костной платикой - это лишнее.
В ведении даннного больного важно, если консолидация не наступает в ожидаемые сроки, своевременно поменять имплантат до его поломки. имплантатов
|
| Послать ответ |
Обратите внимание: Поля с жирными названиями обязательны.
Старайтесь отвечать в рамках обсуждаемой темы, а не начинать новые обсуждения.
Указывайте адекватную тему сообщения, чтобы было ясно, о чем оно.
Не послайте сообщений не по теме (оффтопик), раздраженных, грубых или обидных комментариев. Здесь это неуместно.
|