вверх
отправить
поиск
админ
главная
Предыдущее
|
Re: МОС бедра, сустава Лисфранка.Тактика?
Alexey Semenisty 29 Октябрь 2008, 15:33
|
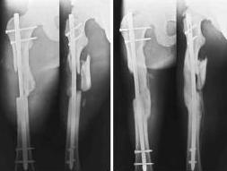
Здравствуйте , уважаемые коллеги. Обратился пациент, мужчина 42лет. для дальнейшего
лечения. Травма 11.09., ДТП.
15.09 проведено оперативное лечение (Блокирующий стержень левого
бедра - статическая система. Открытое вправление вывиха в суставе
Лисфранка и фиксация мет. фиксаторами.)
Hello, Петр!
1. По бедру... Стержень конечно тонковат, торчит в колено..не совсем ясно, что там с прокстимальным блоком(... Если не будет нагрузки, получите замедленное стащение, потом когда датите нагрузку получите перелом винтов (в лучшем случае), штифта - в худшем(
То, что перелом распространяется на сустав не имеет никакого значения и влияния (в данном конкретном примере) для отсрочки динамизации и нагрузки.
2- При такой Ro - картине будет ложный сустав или рефрактура после
удаления стержня, и поэтому идти на пластину с костной пластикой.
Сорри, коллега, эту фразу я ваще не понял... Сомневаетесь в перспективах сращения? что ж, вполне обоснованно! Просто перештифтуйте ЗАКРЫТО более массивным штифтом, с рассверливанием и заблокируйте динамично..
2. О суставе Лисфранка...
По суставу Лисфранка : 1- 8 -9 нед . полный покой в гипсовой шине,а
потом дозированная нагрузка. 2- Сейчас (на 7 нед.) пригипсовать
каблук под пятку и давать дозированную нагрузку, и на 12 нед,
Собственно такая фиксация сустава после вывизи никакой гипсовой иммбилизации не подразумевает! Через 6 недель винты можно удалять и разрешать полную нагрузку.... Прошло уже 7 недель, на сколько я понял, .....
Резюме: Удаляйте сейчас винты из стопы, динамизируйте стержень на бедре..Дайте нагрузку... Обсудите с больным вероятность и необходимость возможной реоперации на бедре, не дожидаясь таких осложнений как несращение, рефрактура и/или перелом штифта...
IMHO
С уважением, А.Семенистый.
ГКБ № 13, Москва.
|
|
|
Ответить
|
Re: МОС бедра, сустава Лисфранка.Тактика?
Ivan Petrov 29 Октябрь 2008, 20:17
|
Уважаемый Алексей.
Ситуация несколько сложней, чем представляется на первый взгляд.
>>>Стержень конечно тонковат, торчит в колено...
Видимо не просто так он торчит, а его специально не добили, чтобы мыщелки "зацепить" на обе стяжки.
>>>Если не будет нагрузки, получите замедленное стащение...
Мне доводилось раз 5 вести переломы диафиза бедра со смещением консервативно (скелетное вытяжение, кокситная повязка). Без нагрузки в течение 4-5 месяцев все прекрасно срастается, даже при неидеальной репозиции.
Кроме того, есть рекомендации АО ("Принцип био-
логичного остеосинтеза заключается в минимизации ущерба биологии вследствие хирургического вмешательства и контакта с имплантатом. Это достигается за счет менее точной репозиции и менее
жесткой фиксации")и картинки в ряде классических руководств (вложеннный рисунок)

А вот если дать раннюю нагрузку на мыщелковые переломы бедра, может случится беда.
>>>Просто перештифтуйте ЗАКРЫТО более массивным штифтом, с рассверливанием и заблокируйте динамично.
А вот это до полной консолидации мыщелков сложновато. надо сначала влезть в коленный сустав, удалить гвоздь, выполнить ретроградное рассверливание и введение толстого штифта, не развалив при этом мыщелки. Коленка может "обидиться" на повоторное штифтование. Если штифтовать антеградно опять возникает вопрос: надо ли предварительно фиксировать мыщелки винтами?
Согласен, что пластина с костной платикой - это лишнее.
В ведении даннного больного важно, если консолидация не наступает в ожидаемые сроки, своевременно поменять имплантат до его поломки. имплантатов
|
[
Ответить ]
|
Re: МОС бедра, сустава Лисфранка.Тактика?
Отправитель: Alexey Semenisty 30 Октябрь 2008, 08:10
|
"Мне доводилось раз 5 вести переломы диафиза бедра со смещением консервативно (скелетное вытяжение, кокситная повязка). Без нагрузки в течение 4-5 месяцев все прекрасно срастается, даже при неидеальной репозиции."
Видите ли, Ivan Petrov, переломы-то неплохо срастаются по биологическим законм... Хирургия которую мы делаем далеко не всегда более биологична, чем консервативное лечение... Да, срастаются бедра, голени, плечи и ключицы и др. даже с большими смещениями и без операций. Но ведь срастить перелом не самоцель. Интересует еще и возможность ранней реабилитации, ранней функции, ранней нагрузки...
Спасибо, что познакомили с рекомендациями АО...
"до полной консолидации мыщелков сложновато. надо сначала влезть в коленный сустав, удалить гвоздь, выполнить ретроградное рассверливание и введение толстого штифта, не развалив при этом мыщелки. Коленка может "обидиться" на повоторное штифтование."
Что сложного-то? Сначала не гвоздь надо удалить, а минуя гвоздь пару стягивающих винтов провести... Любой ретроградно вводимий бедренный штифт будет иметь минимальный диаметр этого конца 12 мм... Уже сейчас имеется вход,, который болжен был формироваться сверлом или шилом 13-14 мм. Так что, взяв достаточно "толстый" штифт 12 мм и рассверлив истмус до 13 мм, никакой дополнительной травмы мыщелкам и колену вы не нанесете. На выступающий конец штифта коленка скорее "обидется").
"А вот если дать раннюю нагрузку на мыщелковые переломы бедра, может случится беда."
Какая, если простой суставной перелом стянут винтами, и в условиях анатомичной репозиции и межфрагментарной компрессии губчатая кость за 7 недель уже должна была срастись???
С уважением, А.Семенистый.
ГКБ № 13, Москва.
|
[
Ответить ]
|
Re: МОС бедра, сустава Лисфранка.Тактика?
Отправитель: Петр 30 Октябрь 2008, 13:51
|
Ув. А.Семенистый, Вы считаете что в данном случае есть необходимость замены штифта в ближайшее время не дожидаясь динамизации системы, и нагрузку на бедро давать с новым стержнем?
|
[
Ответить ]
|
Re: МОС бедра, сустава Лисфранка.Тактика?
Отправитель: Петр 30 Октябрь 2008, 19:49
|
Какой смысл сейчас менять стержень, если в ближайшее время будет проведена динамизация системы?
|
[
Ответить ]
|
Re: МОС бедра, сустава Лисфранка.Тактика?
Отправитель: Alexander Chelnokov 30 Октябрь 2008, 22:27
|
Предложение Алексея Семенистого сделать реостеосинтез прямо сейчас приводит меня в смущение ума. Динамизировать - да, уже можно. И нагружать уже можно. Почему не дать возможность срастаться как есть хотя бы в течение месяцев 6? Стержень уже в бедре, несостоятельности фиксации нет. В колено он торчит не тревожно. Что указывает на то, что прогноз - настолько заведомая неудача, что уже пора думать о столь раннем реостеосинтезе?
|
[
Ответить ]
|
Re: МОС бедра, сустава Лисфранка.Тактика?
Отправитель: Alexey Semenisty 31 Октябрь 2008, 16:23
|
Чутье, Саша! Интуиция!... панимаю што не доказательно)))
С уважением, А.Семенистый.
ГКБ № 13, Москва.
|
[
Ответить ]
|
Re: МОС бедра, сустава Лисфранка.Тактика?
Отправитель: Ivan Petrov 31 Октябрь 2008, 11:03
|
>>>Какая, если простой суставной перелом стянут винтами, и в условиях анатомичной репозиции и межфрагментарной компрессии губчатая кость за 7 недель уже должна была срастись???
Уважаемый Алексей. Я рад, что Вы знаете сроки консолидации переломов и имеете твердые самостоятельные взгляды на лечение данных повреждений.
Всемирно известные ортопеды почему-то менее категоричны в оценках.
Открыл 3 первые попавшиеся книги:
1.Campbell's Operative Orthopaedics, 11th Edition 2008 : «We usually allow touch-down weight bearing with most locked intramedullary nails used for fixation of fractures without intraarticular extension. With intraarticular fractures, weight bearing is not allowed for 3 months, but early motion is encouraged».
2.Master Techniques in Orthopaedic Surgery: Fractures, 2nd Edition 2006 Глава 23
«Supracondylar Femur Fractures: Open Reduction Internal Fixation»:
«The postoperative rehabilitation protocol includes restricted weight bearing for 12 weeks. During that time, patients are allowed unrestricted passive and active knee range of motion combined with extension bracing».
3. «АО Principles of Fracture Management»:
«Patients with intercondylar fractures are not allowed full weight bearing for at least 12 weeks».
Здесь смысл не в консолидации перелома, а в сроках регенерации суставного хряща, в той или иной степени страдающего при таких повреждениях.
|
[
Ответить ]
|
Re: МОС бедра, сустава Лисфранка.Тактика?
Отправитель: Alexey Semenisty 01 Ноябрь 2008, 07:02
|
Здесь смысл не в консолидации перелома, а в сроках регенерации суставного хряща, в той или иной степени страдающего при таких повреждениях.
Вы можете предоставить ссылки на убедительные доказательства возможности регенерации гиалинового хряща в принципе?
Для простого суставного перелома (В1, С1 и С2), т.е. без вдавления и субхондрального дефекта, анатомично отрепонированного и стабильно фиксированного по принципам межфрагментарной компрессии, какой физический смысл имеет длительная разгрузка ??? После анатомичной репозиции повреждение хряща будет представленно тонкой линией, и все. Причем никогда не наступит сращения или регенерации именно гиалинового хряща по линии его перелома, хоть вы сколько не разгружайте и не вводите в сустав всякую ерунду под общим названием хондпрпротекторы!
Напротив, нормальный гиалиновый хрящ существует в условиях нагружения. длительная разгрузка может стать причиной его дегенеративных изменений....
С уважением, А.Семенистый.
ГКБ № 13, Москва.
|
[
Ответить ]
|
|
( Ответить )
|
|