Ответить
|
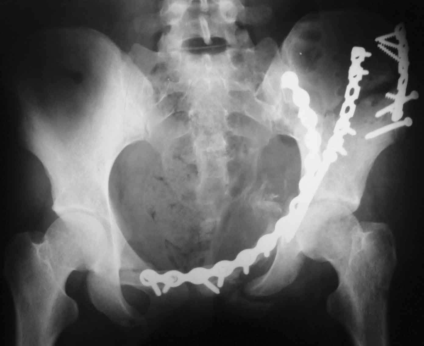
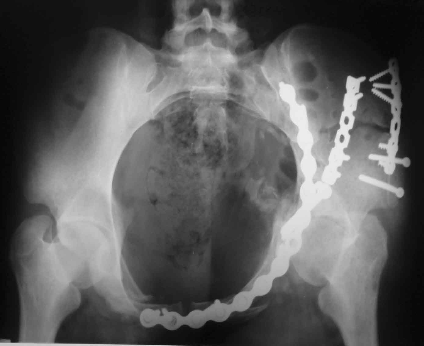
Рентгенограммы после операции
Атом Тер-Григорян 10 Декабрь 2008, 22:46
|

Прямая проекция
inlet
подвздошная
запирательная
|
[
Ответить ]
|
Re: Рентгенограммы после операции
Отправитель: Alex 12 Декабрь 2008, 23:52
|
уважаемый доктор Атом.....Вам не кажется доступ слишком кровавым и травматичным. ведь осуществляемый вами хирургическицй доступ утяжеляет состояние больного, а кровоточащие сосуды спина илиака увеличивают кровопотерю. А как же хронический ДВС синдром на фоне вашего вмешательства? РО - картина не очень, есть видимость винтов во впадине и ещё какова длительность, столь неоправдано большой операции? Покажите послеоперационную рану? Какие антибиотики вы используете? Время открытой раны?
и как на счёт нарушения функционирования внутритазовых органов при таком анатомичном выделении сакральных корешков? Страдает ли мочеотделение или половая функция?
|
[
Ответить ]
|
Re: пЕМРЦЕМНЦПЮЛЛШ ОНЯКЕ НОЕПЮЖХХ
Отправитель: юРНЛ рЕП-цПХЦНПЪМ 22 Декабрь 2008, 03:40
|
Уважаемый Alex. Извините за задержку. Я не состоял в списке рассылок ортофорума, и случайно обнаружил ваше сообщение.
Вы писали:
A>уважаемый доктор Атом.....Вам не кажется доступ слишком кровавым и травматичным. ведь осуществляемый вами хирургическицй доступ утяжеляет состояние больного, а кровоточащие сосуды спина илиака увеличивают кровопотерю. А как же хронический ДВС синдром на фоне вашего вмешательства?
Уважаемый коллега, не стоит строить утвердительные предложения с выражением "Вам не кажется". Данный хирургический доступ применяется около 8 лет. Помимо того что создаются благоприятные условия для репозиции, сокращается время операции и как следствие - уменьшается кровопотеря, которая составляет около 1 л. при свежих случаях. При застарелых же, по очевидным причинам, существенно выше. Максимальная кровопотеря была 5450 мл. у больного после спленэктомии и давностью травмы более 1 года. Была выполнена одномоментная реконструкция таза с протезированием тазобедренного сустава. Пользуемся Cell Server-ом, производим аутозабор в предоперационном периоде, возвращаем дренажную кровь. ДВС? Тьфу, тьфу, тьфу! Это заслуга АРО и трансфузиологов, и именно они нам позволяют выполнять такие вмешательства.
A>РО - картина не очень, есть видимость винтов во впадине
По всей видимости, вы имеете в виду канюлированный винт, который проецируется на вертлужной впадине. Та вот, он проведен не через лонную, а седалищную кость. Вертлужная впадина абсолютно интактна. Это хорошо видно на проекции inlet.
A>и ещё какова длительность, столь неоправдано большой операции? Покажите послеоперационную рану? Какие антибиотики вы используете? Время открытой раны?
На счет оправданности можно почитать на форуме http://weborto.net/forum/1228932999/index_html Антибиотики - цефалоспорины III поколения. Первая доза - интраоперационно. Продолжительность операции от 1,5 до 6 часов. К сожалению больная была выписана на 11-ые сутки. Представляю послеоперационную рану пациентки с аналогичной травмой и операцией, которая явилась на плановую консультацию через 3 мес.
A>и как на счёт нарушения функционирования внутритазовых органов при таком анатомичном выделении сакральных корешков? Страдает ли мочеотделение или половая функция?
Ни одного случая нарушения функций тазовых органов. Ни одного случая эректильной дисфункции. А по поводу стрессового недержания мочи - все гораздо проще: если не оперировать, а точнее не восстанавливать переднее полукольцо данный недуг не всегда удается излечить урологам, даже после многочисленных пластических операций. Кстати, в мае этого года на Пироговской конференции об урологических аспектах... докладывал А.Ф.Лазарев. Другое дело - нейропатия малоберцового нерва. К сожалению мы с этим сталкиваемся достаточно часто, когда одномоментно приходится низводить гемипелвис на 5 и более см. Наверное, это неизбежно. На фоне реабилитации обычно нерв восстанавливаются в течение одного года.
DSC03867.JPG
34KB (34832 bytes)
|
[
Ответить ]
|
|
( Ответить )
|
|