ВХОД ДЛЯ ПАЦИЕНТОВ
вверх
поиск
админ
главная
исходное
|
Re: эндопротезирование ?
послал Алексей 15 Январь 2009, 22:01
|
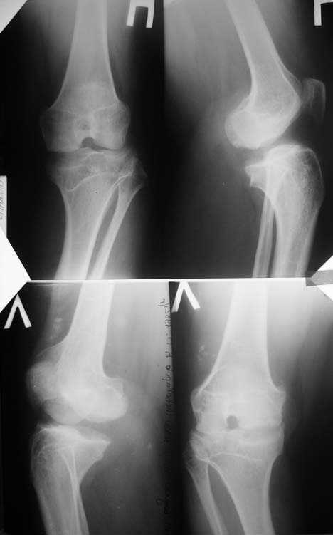
Вот остальные снимки, надеюсь качество немножко получше...
Прямая проекция т/б суставов

Аксиальная проэкция обоих т/б суставов

Прямая и боковая обоих коленных суставов

|
| Послать ответ |
Обратите внимание: Поля с жирными названиями обязательны.
Старайтесь отвечать в рамках обсуждаемой темы, а не начинать новые обсуждения.
Указывайте адекватную тему сообщения, чтобы было ясно, о чем оно.
Не послайте сообщений не по теме (оффтопик), раздраженных, грубых или обидных комментариев. Здесь это неуместно.
|