Ответить
|
Re: эндопротезирование ?
Alexander Chelnokov 13 Январь 2009, 02:07
|
Надо бы представить остальные рентгенограммы. Лучше их не сканировать на таком сканере, а сделать фото с негатоскопа цифровым фотоаппаратом.
|
[
Ответить ]
|
Re: эндопротезирование ?
Рашид Муртузалиевич Тихилов 13 Январь 2009, 16:23
|
Алексей, качество Р-грамм не очень хорошее, канал виден только в одной плоскости (по-моему аксиальной), размеры кости не понятны. Думаю что можно подрыться без к/пластики, но головка то есть всегда. Канал не виден, ничего не могу сказать. Но наверно можно Аллоклассик с подстраховкой Вагнером.
С ув.Р.Т.
|
[
Ответить ]
|
Re: эндопротезирование ?
Каминский Андрей 13 Январь 2009, 21:39
|
По одной рентгенограмме тазобедренного сустава сложно ответить на вопрос о возможности протезировния (коленных особенно).
Если есть возможность прислать снимки таза и прямую проекцию тазобедренного сустава с бедром, то можно будет обсудить и вероятность и перспективы.
Коленный сустав в 2-х проекциях, а в идеальном случае - осевой снимок всей нижней конечности.
Уверен, что после этого ответы на все Ваша вопросы будут.
Каминский А. г.Курган.
|
[
Ответить ]
|
Re: эндопротезирование ?
Алексей 14 Январь 2009, 21:01
|
Прошу большое прощения, снимок что-то "выложился" только один.
Обязательно выложу остальные снимки в лучшем качестве.
Всем большое спасибо что отозвались.
С уважениям Алексей!
|
[
Ответить ]
|
Re: эндопротезирование ?
Алексей 15 Январь 2009, 22:01
|
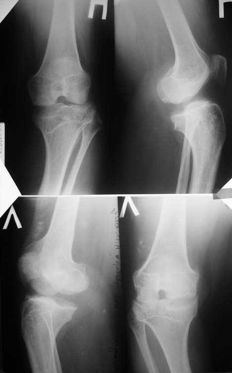
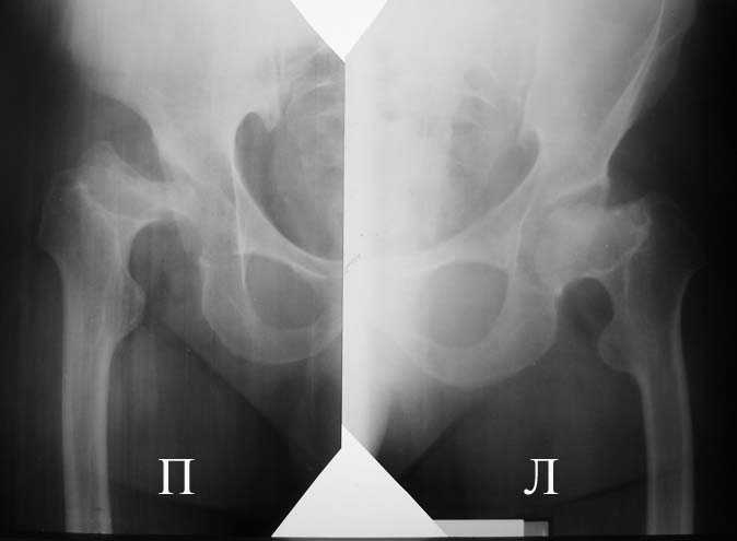
Вот остальные снимки, надеюсь качество немножко получше...
Прямая проекция т/б суставов

Аксиальная проэкция обоих т/б суставов

Прямая и боковая обоих коленных суставов

|
[
Ответить ]
|
Re: эндопротезирование ?
Отправитель: Андрей Каминский 18 Январь 2009, 09:33
|
Алексей, судя по снимкам, правый тазобедренный сустав нуждается в замене. Думаю, что получится поставить протез без дополнительных конструкций во впадину и особых ножек. Важным является диаметр канала. Надо по шаблонам оценить размер. Самые маленькие из известных мне ножек в России предсталены у De Puy (бесцементная 6), и новинка от BIOMET бесцементная диспластическая ножка.
О коленях надо больше клинической информации, а главное чего хочет сам пациент.
С уважением, Каминский А., г.Курган.
|
[
Ответить ]
|
|
( Ответить )
|