ВХОД ДЛЯ ПАЦИЕНТОВ
вверх
поиск
админ
главная
исходное
последующие
|
Re: Перелом пилона 6 мес. давности
послал Кучерявый И. 15 Февраль 2009, 19:09
|

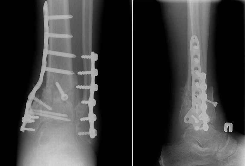
Прооперировали 6 февраля.
На операции - несращение проксимального диафизарного отломка и осколков эпифиза, которые представляли собой неправильно сросшийся, крепкий конгломерат. С учетом сохранности движений в голеностопном суставе (боясь ему навредить), решено было не разбирать их, а только исправить ось голени, что и было сделано, после остеотомии и резекции малоберцовой кости + остеопластика.
Получилось видимо не идеально, внушает оптимизм хорошее состояние мягких тканей и сохранность движений в голеностопном суставе после операции. Хотя... :)
|
| Послать ответ |
Обратите внимание: Поля с жирными названиями обязательны.
Старайтесь отвечать в рамках обсуждаемой темы, а не начинать новые обсуждения.
Указывайте адекватную тему сообщения, чтобы было ясно, о чем оно.
Не послайте сообщений не по теме (оффтопик), раздраженных, грубых или обидных комментариев. Здесь это неуместно.
|