вверх
отправить
поиск
админ
главная
Предыдущее
|
Re: Перелом пилона 6 мес. давности
Djoldas Kuldjanov 26 Январь 2009, 23:40
|
На снимке типичный перелом пилона с компрессией метафиза и с укорочением берцовой кости. Свежие переломы пилона лечатся восстановлением длины малоберцовой и с замещением дефекта большеберцовой структурным пластическим материалом. Обычная аутокость или синтетические заполнители служат пластическим материалом. В зависимости от перелома пластину устанавливают медиально или латерально.
Без восстановленного метафизарного дефекта перелом пилона со временем коллапсируется, а малоберцовая удерживает нагрузку и конечность деформируется в варус.
планируем наложение аппарата Илизарова для устранения смещения по оси и длине, затем планируется накостный остеосинтез большеберцовой и малоберцовой
В данном случае навряд ли аппарат Илизарова поможет, во-первых, дистальный эпиметафиз за 7 месяцев так размягчился, что потерял возможность что-либо удержать. Спицы прорежутся при первой же возможности. Без остеотомии в фокусе травмы трудно добиться устранения укорочения большеберцовой, а при несросшемся переломе лучше подождать до полного сращения.
Для создания опороспособности конечности я бы рекомендовал исправить ось остеотомией малоберцовой. Фиксация малоберцовой создаст латеральную стабильность. Идеальный мортизный снимок подскажет, насколько надо укоротить малоберцовую.
Наличие медиальной (locking) пластины не обязательно, хотя установленная щадящим (перкутанно) методом пластина даст уверенность.
Послеоперационно функциональный брейс для предупреждения контрактуры или при отсутствии обычный гипсовый сапожок.
Полная нагрузка ускорит процесс. Укорочение большеберцовой на данном этапе можно проигнорировать.
Djoldas Kuldjanov, MD
Department of Orthopedic Surgery
St. Louis University Medical Center
|
|
|
Ответить
|
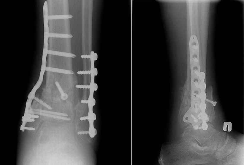
Re: Перелом пилона 6 мес. давности
Кучерявый И. 15 Февраль 2009, 19:09
|

Прооперировали 6 февраля.
На операции - несращение проксимального диафизарного отломка и осколков эпифиза, которые представляли собой неправильно сросшийся, крепкий конгломерат. С учетом сохранности движений в голеностопном суставе (боясь ему навредить), решено было не разбирать их, а только исправить ось голени, что и было сделано, после остеотомии и резекции малоберцовой кости + остеопластика.
Получилось видимо не идеально, внушает оптимизм хорошее состояние мягких тканей и сохранность движений в голеностопном суставе после операции. Хотя... :)
|
[
Ответить ]
|
( Ответить )
|
|