Ответить
|
Re: Искривление и/м штифта
Abdurashid 09 Февраль 2009, 17:22
|

Снимки не очень качественные, почему-то все снимки такие . видимо поступило партия некачественных пленок.
|
[
Ответить ]
|
Re: Искривление и/м штифта
Отправитель: Max 10 Февраль 2009, 14:54
|
Здраствуйте! Моё мнение однозначно. Удаление внутрикостного стержня (будет, думаю, очень трудно) с последующим интерлокингом.
|
[
Ответить ]
|
Re: Искривление и/м штифта
Отправитель: Abdurashid 14 Февраль 2009, 23:43
|

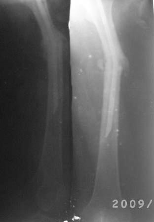
12.02.09г б-ная оперирована: з/остеоклазия (без особого труда- видимо тугой ложный сустав) коррекция деформации, удаление штифта из надвертельной обл, рассверливание канала гибкими развертками, реостеосинтез блокируюшим гвоздем Д-11мм.
Но я впервые почувствовал такую сильно ОСТЕОПОРОТИЧНУЮ кость, что блокируюшие винты проваливаются внутрь кости, что винты можно ввести без сверления кости, и что винты провинчиваются холостую, т.е. не стабильно.
Уважаемые коллеги! Что теперь делать?
1. Лечение остеопороза.
Я читал перевод статьи Laura Gehrig, Joseph Lane and Mary I. O'Connor J. Bone Joint Surg Am. 2008;90:1362-1374. Osteoporosis: Management and Treatment Strategies for Orthopaedic Surgeons
Лекция из цикла Американской Академии Хирургов-ортопедов (AAOS).Перевод - Анна Шведова, Середа Андрей.
Может быть, еще имеется практические советы?
2.Когда можно разрешить нагрузку? может, винты будут прорезываться при ранней нагрузке?
С уважением Абдурашид.
P.S. Снимки не качественные, извиняюсь! последний снимок ЭРГА, два снимка объединил.
|
[
Ответить ]
|
Re: Искривление и/м штифта
Отправитель: Ерсин Жунусов 15 Февраль 2009, 15:22
|
Уважаемый коллега!
Я заранее приношу свои извинения, но по демонстрации видно, что сама методика БИОС использована с нарушениями. Да я с Вами согласен и сам часто встречался подобными случаями, когда из-за отсутствия функции конечности (опорной и двигательной) поврежденный сегмент теряеть минеральную плотность, тем самым развивается остеопороз. Однако Вам надо было заранее учитывать эти моменты и дистальные винты надо было установить четко бикортикально, в Вашем случае верхний дистальный винт короткий, нижний дистальный винт вне отверстия, в таком расположении он никак не может быть в блокирующем отверстии. Ранняя опорная нагрузка зависит от стабильности синтеза, веса пациента, но в любом случае дозированная нагрузка (собственный вес конечности) нужна, иначе срастить ложный сустав и ликвидровать остеопороз невозможно (кость должна выполнять свою функцию). С уважением Ерсин Жунусов.
|
[
Ответить ]
|
Re: Искривление и/м штифта
Отправитель: Abdurashid 21 Февраль 2009, 18:46
|
Прошу прошения, был в командировке.
Уважаемый Ерсин. Спасибо за полезные советы.
Действительно из-за сильного остеопороза операция для меня была
очень трудной! тем более мы БИОС начали недавно это 6-по счету.
Гвозди мы закупали из предприятия ЦИТО, и если Вы заметили у них нижнее дистальное отверстие продолговато-овальное, а не круглое, поэтому оно позволяет ввести винт и под углом, конечно это тоже ошибка, ну два последних винта было введено из одного маленького разреза - поэтому так получилось!
Больная активизирована, начала ходить с костылями, с дозированной нагрузкой.
С уважением Абдурашид.
|
[
Ответить ]
|
Re: Искривление и/м штифта
Отправитель: Alexander Chelnokov 15 Февраль 2009, 15:40
|
Если речь о локальном остеопорозе от бездействия, то упомянутая статья к этой теме имеет мало отношения. По мере восстановления нагрузки местный остеопороз будет потихоньку регрессировать. Нагрузку я бы не ограничивал, пусть пользуется такой дополнительной опорой, чтобы не хромать.
|
[
Ответить ]
|
|
( Ответить )
|
|