AOTRAUMA.ORG Центр Илизарова  

Ортопедия и травматология Общие вопросы/General questions Help Информационные технологии в медицине
 вверх
 отправить
 поиск
 админ
 главная


Ложный сустав вертельной области бедра.
Ортопедия и травматология Отправлено Попов Виктор. г.Караганда 27 Февраль 2009, 19:56
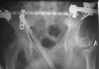
Уважаемые коллеги! Нужен совет.Больной Х., 21 год, ДЗ: ложный сустав вертельной области правого бедра.
Травма 8 мес. назад, ДТП, получил закрытый межвертельный перелом правого бедра. Лечился в городской больнице одного из городов-спутников г. Караганды скелетным вытяжением в течение 3 недель, затем кокситной гипсовой повязкой 2 мес. В настоящее время имеется укорочение конечности на 7 см, умеренная боль в вертельной области; ходит без костылей, полностью нагружая больную конечность, при нагрузке отмечается смещение дистального отломка проксимально примерно на 1,0 см.; объем движений в коленном суставе сохранен; при пальпации отломков боли нет, умеренная патологическая подвижность. Планируем внеочаговый остеосинтез спице-стержневым аппаратом, дистракция до восстановления длины бедра, вторым этапом остеосинтез стержнем Гамма. Есть надежда, что на дистракции пойдет сращение и у больного хватит терпения завершить лечение в аппарате.
Компоновка аппарата: три стержня в центральный отломок на полукольце или сегменте, кольцо с тремя спицами в зоне мыщелков бедра, две из них с упорными площадками; по стержню в конец дистального отломка и диафиз. Нуждаемся в советах:
1. правильно ли выбрана тактика лечения
2. какую оптимальную компоновку аппарата посоветуете
3. темп дистракции: дистракция с надеждой сформировать регенерат или форсировать с целью быстрого восстановления длины бедра
4. следует ли открывать зону ложного сустава, нужна ли костная пластика
5. каким видится окончательный вариант фиксации отломков (как вариант - остеосинтез DHS)
6. сроки проведения второго этапа операции.
7. есть ли шанс, открыв зону перелома, восстановить длину сегмента и фиксировать отломки одномоментно
Виктор.

<  |  >

 

  • Сообщения о Ортопедия и травматология
  • Также Попов Виктор. г.Караганда
  • Связаться с автором
  • Ответить

    Re: Ложный сустав вертельной области бедра.
    Абдрахманов Алибек 28 Февраль 2009, 07:56
    Где снимки,Зин..?
    [ Ответить ]

    • Re: Ложный сустав вертельной области бедра.
      Отправитель: Антон Жаглин 28 Февраль 2009, 09:28
      Во вложенном файле справа, Вань...

      [ Ответить ]
      • Re: Ложный сустав вертельной области бедра.
        Отправитель: Абдрахманов Алибек 01 Март 2009, 10:38
        Не могу открыть.Подскажите пожалуйста, как? Я,действительно,ваня!

        [ Ответить ]
        • Re: Ложный сустав вертельной области бедра.
          Отправитель: Alexander Chelnokov 01 Март 2009, 14:24
          Снимки были в приложенном pdf файле. Сейчас они выложены отдельно, вверху исходного сообщения. Если их не видно, перезагрузите страничку.

          [ Ответить ]
    Re: Ложный сустав вертельной области бедра.
    Djoldas Kuldjanov 28 Февраль 2009, 23:52
    Во-первых, большое спасибо за представленный случай с полным исследованием больного и во-вторых, надеюсь, что Вы не останетесь посторенним наблюдателем со стороны, а примете активное участие при разборе Вашего случая.

    А насчет предложенных, все варианты в зависимости от опыта специалиста подходят для лечения ложного сустава проксимального бедра.

    В реконструкционных случаях, кроме механической стабильности импланта, важную роль играет состояние мягких тканей. Контрагированные рубцовые ткани создают трудности для восстановления, и могут осложниться при открытых процедурах. Поэтому поэтапное восстановление считаю более щадящим методом.



    Перед выбором метода сперва надо определить свободу движения в проксимальной части бедра. Метод-тракция за конечность с рентгенограммой сустава подскажет, насколько можно низвести бедро.

    Если на рентгенограмме отсутствует свобода движения в проксимальной части бедра, что затруднит одномоментное низведение во время операции, тогда можно применить гибридный аппарат “a la Yekaterinburg”.

    Аппарат “таз-бедро” удобен из-за отсутствия стержней в фокусе ложного сустава. Также при наличии стержней, я бы воздержался от спиц с упорной площадкой в дистальное бедро, менее стабильные спицы на бедре осложняется чаще, чем стержни.



    При наличии других, менее щадящих методов у активных молодых больных, вариант окончательного лечения в аппарате считаю более агрессивным вариантом.


    Наличие ортопедического тракционного стола облегчит применение Gamma 3, но для костной пластики необходимо открывать место ложного сустава. Идеальный имплант для свежих чрезвертельных переломов в этом случае может подвести.

    Из-за короткого периода низведения не обязательно применение аппарата внешней фиксации, а простое скелетное вытяжения на несколько дней решит проблему меньшими усилиями.

    Персонально я бы применил 95-градусную Blade Plate, конструкция которого в головке бедра создаст большую стабильность, чем DHS или другие цефало- медуллярные конструкции. Латеральный внесуставной подвастусный доступ создаст отличное обозрение и костная пластика из крыла таза облегчит сращение.

    Djoldas Kuldjanov, MD
    Department of Orthopedic Surgery
    St. Louis University Medical Center
    [ Ответить ]

    Re: Ложный сустав вертельной области бедра.
    Igor 01 Март 2009, 08:28
    Я думаю в данном случае для начала необходимо наложить спице - стержневой аппарат таз - бедро с низведением проксимального отломка. Во-вторых открытый остеосинтез DHS c костной аутопластикой. Доступ чрезъягодичный. В даанном случае возможны большие трудности при введения gamma.
    [ Ответить ]

    Re: Ложный сустав вертельной области бедра.
    Alexander Chelnokov 01 Март 2009, 14:41
    По опыту подобных случаев, аппарат лучше на бедро, без таза пока. В проксимальный фрагмент 3 стержня по оси шейки. Дистальный - хватит 1 стержня или 2 спиц в дистальном метафизе и 1 стержня вверху. Если планируете гвоздь, надо с гиперкоррекцией восстановить длину и ось, т.е. вальгизировать проксимальный отдел. При наложении аппарата сделать остеоклазию, добиться уверенной подвижности. Регенерат не нужен, тяните на пределе переносимости пациентом - хоть 2 см/сут. Обычно меньше.
    Второй этап - на следующий день после окончания коррекции.
    Если все получилось, т.е. закрыто сопоставить с гиперкоррекцией, накладываете дистрактор таз-бедро или используете тракционный стол, и гвоздь можно делать закрыто. Пластика то есть не нужна. Если клинковая пластина - может получиться как при меежвертельной остеотомии, боковая компрессия by mismatch. Тогда тоже пластика не нужна. Если не получатся, можно и сделать.
    Одномоментно сделать можно, но это может быть травматичнее, и лучше дистрактор какой-то все равно. Если будет оставаться варус, с ним лучше
    справиться можно с помощью пластины, не гвоздя.

    [ Ответить ]

    Re: Ложный сустав вертельной области бедра.
    Попов Виктор. 02 Март 2009, 18:12
    Alexander Chelnokov :
    1. ...В проксимальный фрагмент 3 стержня по оси шейки...


    Почему 3 стержня по оси шейки, а не один в ось, а два других с разбросом в 35-45 град. и на разных уровнях?

    2. ...При наложении аппарата сделать остеоклазию, добиться уверенной подвижности...

    Имеется в виду закрытая остеоклазия или пройти между отломками узким долотом через прокол?

    Igor:
    … открытый остеосинтез DHS c костной аутопластикой…. возможны большие трудности при введение gamma…
    Djoldas Kuldjanov
    … я бы применил 95-градусную Blade Plate, конструкция которого в головке бедра создаст большую стабильность, чем DHS или другие цефало-медуллярные конструкции…
    … и костная пластика из крыла таза облегчит сращение…

    95-градусную Blade Plate с костной пластикой уже применял при ложных суставах вертельной области с хорошими результатами. Гамма-гвоздь посчитал как более продвинутую успешную технологию. Согласен, что установка Гамма-гвоздь вызовет трудности. Принимаю вариант с Blade Plate с костной пластикой, это будет более надежно, да и проще технически и материально.
    Djoldas Kuldjanov
    … Аппарат “таз-бедро” удобен из-за отсутствия стержней в фокусе ложного сустава. Также при наличии стержней, я бы воздержался от спиц с упорной площадкой в дистальное бедро, менее стабильные спицы на бедре осложняется чаще, чем стержни…

    Дистракция в аппарате «таз-бедро» должна привести к «запрокидыванию» центрального отломка. Кроме того, планирую вести больного амбулаторно, а в аппарате «таз-бедро» есть риск нагноения мягких тканей в области крыла подвздошной кости. Учитывая замечания, склоняюсь к мысли о бедренной компоновке « чисто» стержневого аппарата.

    Виктор

    [ Ответить ]

    • Re: Ложный сустав вертельной области бедра.
      Отправитель: Alexander Chelnokov 02 Март 2009, 20:36
      ПВ> Почему 3 стержня по оси шейки, а не один в ось, а два других с
      ПВ> разбросом в 35-45 град. и на разных уровнях?


      Отломок короткий, и стержни по оси шейки будут наибольший рычаг обеспечивать.

      >>2. ...При наложении аппарата сделать остеоклазию, добиться уверенной подвижности...
      ПВ> Имеется в виду закрытая остеоклазия


      Да, ротацией.

      ПВ> Дистракция в аппарате «таз-бедро» должна привести к «запрокидыванию»
      ПВ> центрального отломка.


      Здесь мало дистракции, надо смещение по ширине устранять, и при нефиксированном центральном отломке он будет в тазобедренном суставе поворачиваться, оставаясь в том же положении по отношению к периферическому отломку.

      [ Ответить ]
    Re: Ложный сустав вертельной области бедра.
    Leonid Solomin 03 Март 2009, 22:07
    Уважаемый Попов Виктор!




    Возможно, пример (в приложении) поможет Вам определиться с выбором тактики лечения (у нашего пациента, кроме тугого ложного сустава вертельной области, сложная деформация н/3 бедренной кости; т.к. это не имеет значения к обсуждаемой теме - оставил "за кадром"). Как Вы видите, мы в данном случае не вводили чрескостные элементы в зону установки имплантата. При отказе от наложения опоры на таз (кстати, она не обязательно может быть громоздкая спицевая; арки со стержнями-шурупами, введенными в крыло подвздошной вполне достаточно) "не удивляйтесь", если опора со стержнями-шурупами, введенными в вертельной области в скором времени дестабилизируется, возникнет воспаление мягких тканей у чрескостных элементов. Такая опора "имеет на это право": нагрузка конечности от вершины дистального фрагмента до кончиков пальцев ляжет на нее. А двух-трех введенных рядом стержней-шурупов, как их не разноси от фронтальной плоскости, в данном
    случае явно недостаточно для адекватной фиксации. + для того, чтобы выбрать оптимальные чрескостные элементы для промежуточной и дистальной опор, можете воспользоваться атласом


    Всего наилучшего,




    [ Ответить ]

    • Re: Ложный сустав вертельной области бедра.
      Отправитель: Alexander Chelnokov 03 Март 2009, 23:32
      LS> видите, мы в данном случае не вводили чрескостные элементы в зону
      LS> установки имплантата. При отказе от наложения опоры на таз (кстати,
      LS> она не обязательно может быть громоздкая спицевая; арки со
      LS> стержнями-шурупами, введенными в крыло подвздошной вполне достаточно)


      Дорогой Леонид, спасибо за интересный пример.
      В этом случае, по-моему, аппаратный этап не был уж настолько важен. При использовании DHS или клинковой пластины при таком исходном положении отломков можно было делать и одномоментную коррекцию.
      Срубить латеральную стенку периферического отломка для облегчения вальгизации.

      LS> вертельной области в скором времени дестабилизируется, возникнет
      LS> воспаление мягких тканей у чрескостных элементов. Такая опора "имеет
      LS> на это право": нагрузка конечности от вершины дистального фрагмента до
      LS> кончиков пальцев ляжет на нее.


      Здесь ожидаемо прорезание тканей. Благодаря нагрузке опора напряжена, и оттого стабильна, как танк. Соответственно, в период коррекции воспаление менее вероятно, чем в период фиксации аппаратом, когда все и начинает расшатываться.
      Если, конечно, стержни проведены так, что усилие не реализуется в виде их проворачивания в кости.

      В приложении пример пациента, близкого по картине к тому, что представил Виктор (варус и смещение периферического отломка на поперечник кзади). Сделали как раз то, что Виктор исходно намеревался - аппаратная коррекция и затем гамма.




      [ Ответить ]
    Re: Ложный сустав вертельной области бедра.
    Васецкий Александр 05 Март 2009, 02:15
    1. Аппаратное лечение не нужно.
    2. Провести оперативное лечение: закрытый металоостесинтез DHS с костной аутопластикой (максимально восстановив длину конечности на ортопедическом столе). Костный трансплантант взять с диафиза боьшеберцовой кости и ввести его выше винта DHS. В течении 3 мес наступит сращение.

    [ Ответить ]

    • Re: Ложный сустав вертельной области бедра.
      Отправитель: Djoldas Kuldjanov, M.D. 05 Март 2009, 18:43
      "Аппаратное лечение не нужно."
      Согласен, не обязательно аппарат, дистракцию можно создать засчет скелетного вытяжения в течение нескольких дней или одномоментно во время операции на ортопедическом столе.

      Провести оперативное лечение: "закрытый" металоостесинтез DHS
      Наверное здесь оговорка "открытый" остеосинтез с DHS.

      "Костный трансплантант взять с диафиза боьшеберцовой кости и ввести его выше винта DHS. В течении 3 мес наступит сращение."
      Интересная рекомендация ввести винты выше винта DHS. Каким образом кортикальный трансплантант действует при чрез-вертельном ложном суставе?
      Где можно ознакомится описанием технологии забора трансплантанта из голени, например размер, разрез и сколько?
      Доказательные снимки и ссылки на источник снимут все вопросы оппонентов.


      [ Ответить ]
    • Re: Ложный сустав вертельной области бедра.
      Отправитель: Alexey Semenisty 06 Март 2009, 01:52
      1. Аппаратное лечение не нужно.
      2. Провести оперативное лечение: закрытый металоостесинтез DHS с костной


      Как у Вас, Васецкий Александр, все просто!!!

      . В течении 3 мес наступит сращение.
      ...И катеорично оптимистически!!!((((

      С уважением, А.Семенистый.
      ГКБ № 13, Москва.

      [ Ответить ]
    Re: Ложный сустав вертельной области бедра.
    Попов Виктор 05 Март 2009, 03:44
    Провести оперативное лечение: закрытый металоостесинтез DHS с костной аутопластикой (максимально восстановив длину конечности на ортопедическом столе).

    Как понять "максимально восстановив длину конечности на ортопедическом столе", а остальное куда - резецировать или приложить бок в бок?

    Костный трансплантант взять с диафиза большеберцовой кости и ввести его выше винта DHS. В течении 3 мес наступит сращение

    Выше винта - это в шейку бедра? зачем?


    [ Ответить ]

    Re: Ложный сустав вертельной области бедра.
    Попов Виктор 06 Март 2009, 02:05
    Djoldas Kuldjanov, M.D.
    ….Согласен, не обязательно аппарат, дистракцию можно создать засчет скелетного вытяжения в течение нескольких дней или одномоментно во время операции на ортопедическом столе…
    Ваш опыт позволяет думать, что это должно получиться, но как объективно проконтроливать наступающие в момент тракции неврологические и сосудистые нарушения? Мой горький опыт: в одном случае после операции навсегда «зависла» стопа; в другом удлинял бедро, после того как коллеги вынуждены были резецировать зону ложного сустава для адаптации отломков. Уверенно, без «гусарства» и неожиданностей, сделать одномоментную операцию и не возиться с аппаратом в моей ситуации, а я работаю в частной клиники, был бы праздник. А если открою, а сопоставить не удается, останется одно – резекция и последующее удлинение, что я скажу больному? Или тянуть до победы в надежде что «господь нас уважает».
    Виктор.

    [ Ответить ]

    Re: Ложный сустав вертельной области бедра.
    Абдрахманов Алибек 08 Март 2009, 09:41
    Виктор! Судя по снимкам,укорочение не более 2-3 см (даже линия Шентона сохранена). При таком укорочении дистракционный остеосинтез аппаратом внешней фиксации на конкретном сегменте,действительно представляется агрессивным.Может быть,как предлагает D.Kuldjanov,ограничиться предоперационным скелетным вытяжением и после рентгенконтроля использовать Blade Plate или Гамму с губчатой аутопластикой.Возможна миотомия приводящих мышц.Смещение не столь велико,чтобы его форсированное устранение грозило неврологическими осложнениями.Даже остаточное укорочение в пределах 1см вряд-ли усложнит операцию и существенно повлияет на исход.Учитывая статус клиники,для пациента не менее важны комфортность в послеоперационном периоде,возможность полноценно жить и работать в период реабилитации, максимальное снижение вероятности послеоперационных осложнений.А этим условиям аппарат Илизарова не отвечает.
    [ Ответить ]

    • Re: Ложный сустав вертельной области бедра.
      Отправитель: Alexander Chelnokov 08 Март 2009, 11:14
      АА> ограничиться предоперационным скелетным
      АА> вытяжением и после рентгенконтроля использовать Blade Plate или
      АА> Гамму с губчатой аутопластикой.


      Если перед остеосинтезом остается варус, гамму или другой проксимальный гвоздь правильно установить не получается.

      АА> жить и работать в период реабилитации, максимальное снижение
      АА> вероятности послеоперационных осложнений.А этим условиям аппарат Илизарова не отвечает.


      Аппарат не предлагается использовать для окончательной фиксации, только для малоинвазивного восстановления длины и оси. После чего перейти на внутреннюю фиксацию.


      [ Ответить ]
      • Re: Ложный сустав вертельной области бедра.
        Отправитель: Aлибек Абдрахманов 08 Март 2009, 15:06
        По поводу послеоперациооного периода и ребилитации Вы правы. Но ,мне кажется,при таком укорочении варус устраним во время операции,тем более после миотомии.

        [ Ответить ]
    Re: Ложный сустав вертельной области бедра.
    Виктор Попов 08 Март 2009, 16:49
    Если судить по снимкам, то укорочение кажеться не критическим, но обьективно и на 3D - укорочение на 6-7 см.
    Думаю сделать так: под адекватной анестезией на тракционном столе попробую максимально низвести бедро. Если получится, рентгенконтроль/оценка ситуации и Blade Plate с костной пластикой (помню предостережение Александра Николаевича о возможной варусно-антекурвационной установке центрального отломка и трудности в использовании Гамма-гвоздя). Если останется укорочение на 3-4 см придется на короткое время (2-2,5 недели) наложить стержневой аппарат "бедро-бедро" и дробно, но форсированно, ориентируясь на ощущения больного и поведение дистальных отделов конечности адаптировать отломки (больной на это период останется в стационаре). Если же появятся первые признаки воспаления мягких тканей в области проксимальных стержней, аппарат снимаю, перевожу на скелетное вытяжение и готовлю больного ко второму этапу.

    Спасибо всем за добрые советы, которые помогли мне определиться.
    Виктор.
    [ Ответить ]

    Re: Ложный сустав вертельной области бедра.
    Корнеев Ф.А. 08 Март 2009, 17:55
    я бы вам предложил рассмотреть вариант одномоментной операции. томия, и остеосинтез DHC, возраст сработает на пациента
    [ Ответить ]


    ( Ответить )

    Powered by Zope  Squishdot Powered MedLink
    Посетитель: 0392090
      "По форме правильно, а по существу - издевательство" В.И.Ленин
    ©2001-2019Orthoforum Coordinator.
    [ Главная | Отправить сообщение | Поиск | Админ ]