AOTRAUMA.ORG Центр Илизарова  

Ортопедия и травматология Общие вопросы/General questions Help Информационные технологии в медицине
 вверх
 отправить
 поиск
 админ
 главная


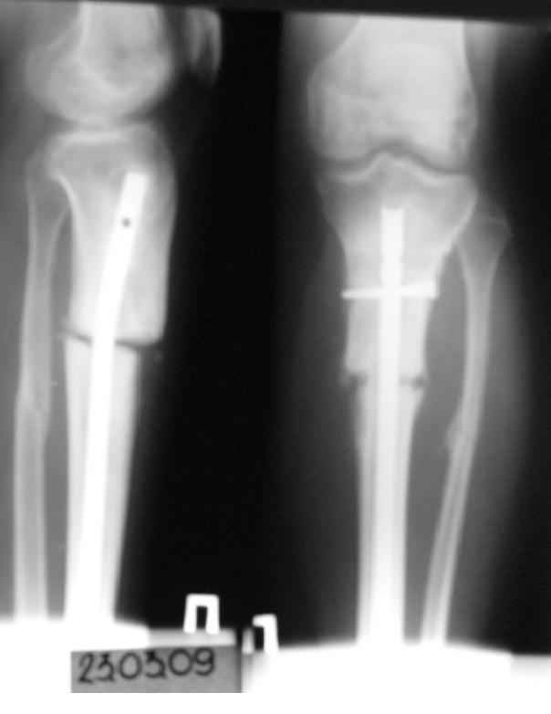
Синтезированный перелом в/3 голени. ложный сустав
Ортопедия и травматология Отправлено Сорокин Игорь 17 Апрель 2009, 20:12
Буду благодарен за любые комментарии по сложившейся ситуации
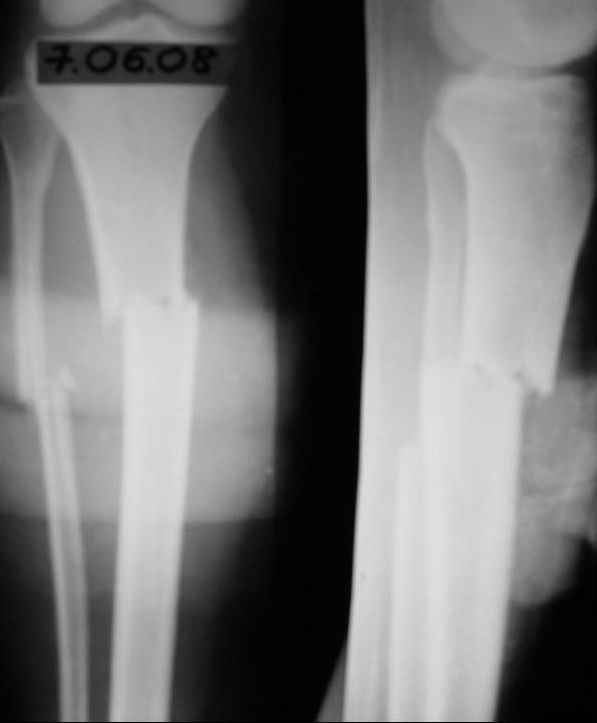
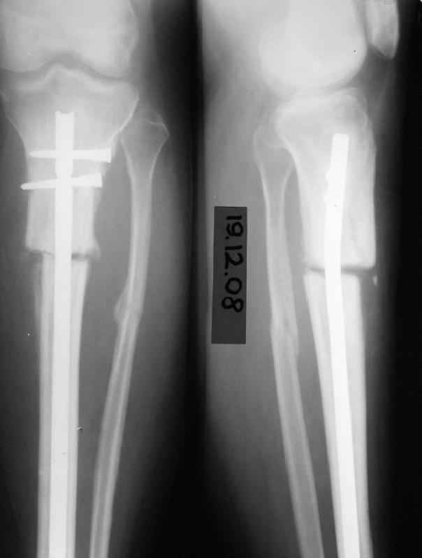
История следующая: женщина (медработник)сбита машиной 7.06.08 - о.перелом обоих костей голени в/3 со смещением. В ПДО ПХО раны,вытяжение за пяточную кость. После заживления раны 20.06.08 выполнен остеосинтез блокирующем стержнем. в течение первого месяца после травмы сохранялась субфебрильная температура на фоне приема антибиотиков. Затем температура стабилизировалась.Б-ая как положено ходила в гипсе на костылях. На контрольных рентгенограммах консолидация не достигалась, иммобилизация продлевалась. Пациентка на себе опробовала все препараты костной регенерации. В марте удален один из фиксирующих винтов. На сегодняшний день идет 11 мес. после травмы. Решается вопрос о инвалидности. Буду благодарен за предложения по дальнейшему ведению больной. Операция?

<  |  >

 

  • Сообщения о Ортопедия и травматология
  • Также Сорокин Игорь
  • Связаться с автором
  • Ответить

    Re: Синтезированный перелом в/3 голени. ложный сустав
    Адонин 17 Апрель 2009, 23:09
    Безусловно. Иссечение сантиметра-двух малоберцовой, рассверливание костно-мозгового канала большеберцовой и штифтование максимально толстым штифтом без дистального блокирования. послеоперационно - полная нагрузка
    [ Ответить ]

    Re: Синтезированный перелом в/3 голени. ложный сустав
    ANDREW 17 Апрель 2009, 23:10
    А разве полежено после остеосинтеза блокировиным стержнем применять гипс:???????????? Через 8 месяцев делать динамизацию не позно ли? При этом, я думаю, нужно было бы сделать остеотомию малоберцовой кости, которая срослась и мешает отломкам двигатся при нагрузке.Я думаю можно сначала сделать остеотомию малоберцовой кости и удалить и верхний винт и дать нагрузку.
    [ Ответить ]

    Re: Синтезированный перелом в/3 голени. ложный сустав
    Александр Ситник 17 Апрель 2009, 23:26
    На сегоднящний день кроме хирургического лечения действительно ничего не придумаешь. Варианты разные в зависимости от Вашего опыта. Замена на более толстый гвоздь с рассверливанием вполне рабочий вариант. Остеотомия малоберцовой обязательно.

    Есть пара вопросов:
    -зачем так глубоко погружать гвоздь - не боитесь проблем при удалении?
    - почему блокирующие винты введены снаружи - рана или другая причина?
    - куда, вернее как исчезло смещение на передне-задней проекции?

    И наконец, судя по снимкам - гвоздь SIGN, или я ошибаюсь? У нас есть опыт их применения при похожих переломах (8-10 случаев) - все срастались не менее 7-8 месяцев, часто требовали динамизации и пр.
    Если менять гвоздь (мое мнение) лучше подыскать вариант с большим количеством отверстий проксимально и в разных плоскостях.

    Удачи

    А. Ситник

    [ Ответить ]

    Re: Синтезированный перелом в/3 голени. ложный сустав
    Батал Шушания 17 Апрель 2009, 23:31
    Здравствуйте. Мне кажется, вы наступаете на грабли, на которые наступали травматологи на заре блокируемого интрамедуллярного остеосинтеза. Во первых, нет снимка дистального отдела голени, есть ли там блокирование?(скорее всего есть дистальное блокирование), далее о какой гипсовой повязке вы говорите, после интрамедуллярного остеосинтеза?....интересно сколько она ходила в гипсовой повязке без нагрузки на нижнюю конечность?....Ведь интрамедуллярный остесинтез с блокированием предполагает использование оперированной конечности сразу(может быть не всегда на 100%, но хо тябы на 50% в течение первого месяца)
    Ошибки:
    1)гипсовая иммобилизация оперированной конечности;
    2)отсутствие ранней дозированной нагрузки на оперированную конечность;
    3)отстутсвие своевременной динамизации гвоздя в канале большеберцовой кости;


    Сегодня мы имеем консолидированный перелом малоберцовой кости, являющийся распоркой и отстутствие консолидации большеберцовой кости, и ваша динамизация гвоздя, выполненная с опозданием не ришила проблем.
    Первым этапом нужно попробовать остотомию малоберцовой кости на уровне дифиза и дать полную нагрузку на конечность. Могут появиться боли... куда деваться... нужно потерпеть.....
    Другой вариант...реостеосинтез гвоздем с динамическим блокированием с рассверливанием костномозгового канала большеберцовой кости в сочетании с остеотомией малоберцовой кости...
    Дерзайте.....
    С уважением Шушания Батал Алексеевич. ФГУ "3 ЦВКГ имени А. А. Вишневского"









    [ Ответить ]

    Re: Синтезированный перелом в/3 голени. ложный сустав
    Михаил Василинец 18 Апрель 2009, 00:11
    Основной причиной несращения считаю неправильный выбор метода остеосинтеза(очень высоко).Идеальным выбором для такого перелома считаю LSP пластина или стержневой апарат.Что делать?
    1)остеотомия м/берцевой в с\3
    2)учитывая зону перелома,наличие каких-то елементов параосальной мозоли,отсутствие атрофического псевдоартоза-ЧКДО стстержневым или спицестержневым апаратом
    3)полная нагрузка после операции
    [ Ответить ]

    Re: Синтезированный перелом в/3 голени. ложный сустав
    Alexander Chelnokov 18 Апрель 2009, 00:19
    СИ> рентгенограммах консолидация не достигалась, иммобилизация продлевалась. Пациентка на
    СИ> себе опробовала все препараты костной регенерации. В марте удален один из фиксирующих
    СИ> винтов. На сегодняшний день идет 11 мес. после травмы. Решается вопрос о инвалидности. Буду


    Не нужно ждать так долго, давно пора делать реостеосинтез.
    Не показан нижний конец гвоздя. Винты надо было убирать из него, зачем из верхнего-то отломка.
    Остеосинтез сделан был небезупречно. Гвоздь SIGN и так не самый лучший выбор для такого перелома. Но можно было сделать не хуже, чем каким-то специализированным для проксимального отдела. Следовало использовать трансмедуллярные (Poller) винты. То есть искусственно сузить канал в центральном отломке.
    Судя по изменению положения гвоздя в послеоперационном периоде (хотя и в благоприятную сторону) нестабильность была очевидна. И не стоило
    пытаться решить проблему гипсом, надо было сразу делать ревизионный остеосинтез. В итоге пациент бы не потерял год на лечение.

    Сейчас надо перештифтовать. При удалении взять посев. Не просто рассверлить старый канал и поменять гвоздь на больший, а устранить все смещения при помощи отклоняющих винтов. Рассверлить надо. Малоберцовую, наверно, лучше пересечь внизу.
    [ Ответить ]

    Re: Синтезированный перелом в/3 голени. ложный сустав
    Сорокин Игорь 18 Апрель 2009, 06:54
    Всем огромное спасибо за советы. На все появившиеся вопросы ответить к сожалению не могу, так как сам не участвовал в операции, а познакомился с пациенткой недавно на амбулаторном этапе. Больная говорит, что гипс был наложен через несколько дней после операции, потомучто был выраженный отек. В послеоперационном периоде при поворотах,движении отмечала патологическую подвижность (в области перелома ощущала движение). Дистальный блокируемый винт стоит. Буду настраивать больную на операцию.

    [ Ответить ]

    Re: Синтезированный перелом в/3 голени. ложный сустав
    Андрей Рагозин 18 Апрель 2009, 23:52
    Игорь, на мой взгляд основная проблеиа недостаточная динамизация, необходтимо удалить оставшийся проксимальный винт, ходиба с полной
    нагрузкой, должно сростись. В любом случае это первый этап и вы ничего не теряете
    АОР
    [ Ответить ]

    • Re: Синтезированный перелом в/3 голени. ложный сустав
      Отправитель: Alexander Chelnokov 18 Апрель 2009, 23:57
      Андрей, дорогой, какой "первый этап" - дело уже к году подходит! Тут и так проблема в основном обусловлена нестабильностью, и дальнейшее ее (нестабильности) увеличение вряд ли станет решением.


      [ Ответить ]
      • Re: Синтезированный перелом в/3 голени. ложный сустав
        Отправитель: Андрей Рагозин 19 Апрель 2009, 09:08
        нмой взгляд основная проблема поздняя попытка динамтизации, но в связи с резорбцией кости в зоне перелома, как проявлением "shielding" синдрома,
        размкра овального окна в стержне оказалось недостаточно. Необходимо продолжить динамизацию, для этого необходимо удаление проксимального винта.

        с Уважением А. Рагозин


        [ Ответить ]
        • Re: Синтезированный перелом в/3 голени. ложный сустав
          Отправитель: Alexander Chelnokov 19 Апрель 2009, 09:19
          AR> нмой взгляд основная проблема позняя попытка динамтизации, ио в связи с
          AR> резорбцией кости в зоне перелома, как проявлением "shielding" синдрома,


          Судя по разнице послеоперационных и последующих снимков, с самого начала уже была задана "гипердинамизация", раз положение отломков изменялось буквально на сантиметры.

          >AR> размкра овального окна в стержне оказалось недостаточно. Необходимо
          AR> продолжить динамизацию, для этого необходимо удаление проксимального винта.


          Для той динамизации, которую мы все подразумеваем, должно обеспечиваться только сближение отломков по оси, а не по ширине, под углом и ротации. Эта ненужная подвижность уже была сразу после операции. И дальнейшая дестабилизация вряд ли улучшит что-то.
          Для настоящей динамизации надо убрать винт(ы) в дистальном отломке. А в проксимальном не только не убирать, а еще и ввести ополнительные мимо стержня, чтобы наконец там его стабилизировать.

          [ Ответить ]
    Re: Синтезированный перелом в/3 голени. ложный сустав
    Ерсин Жунусов 19 Апрель 2009, 19:48
    Уважаемый коллега! Я тоже разделяю мнение о том, что необходимо реостеосинтез с косой остеотомией м/б кости (считаю достаточным чем её резецировать). Реостеосинтез в динамическом режиме (дистальная динамика) и с ранней полной опорной нагрузкой (с 10 дня с момента операции).
    Также согласен с мнениями, что изначально нарушены принципы ЗБИОС (я имею ввиду: гипсовую фиксацию, блокировку в статическом режиме, позднюю нагрузку и т.д.).
    Учитывая общие сроки с момента травмы ситуацию надо расценивать как несросшиийся перелом, тогда вся тактика будет понятно (реостеосинтез с рассверливанием к/канала). С уважением Ерсин Жунусов.
    [ Ответить ]

    Re: Синтезированный перелом в/3 голени. ложный сустав
    Djoldas Kuldjanov 21 Апрель 2009, 07:38
    Идеальным выбором для такого перелома считаю LSP пластина


    Из всех погружных имплантов для трубчатых костей идеальным считается 'load bearing" импланты. Динамизированные интрамедуллярные гвозди нагрузку принимают прямо на себя, а пластины являются "load sharing", когда нагрузка принимается "косвенно" через образовавшуюся костную мозоль. Поэтому для околосуставных преломов показаны пластины, где имеется потребность ранних движении и поздней нагрузки.



    "или стержневой апарат."

    Без компрессии стержневые аппараты в основном накладываются при политравмах как стабилизирующие - временные импланты.

    На рентгенограмме несоответствия кортикальной аппозиции в виде потерянного сегмента и пластическая деформация малоберцовой, это знак оставленного ротационного смещения во время операции.

    Движение вокруг проксимального гвоздя означает разгибательно-сгибательную нестабильность в проксимальной части большеберцой.

    При применении традиционной интрамедуллярной техники проблему короткого импланта решают дополнительным на 15-20 мм заглушкой. Но, возможности гвоздей от SIGN ограничены и они рассчитаны для ортопедов из третьего мира, где вообще отсутствует рентгенологические возможности во время операции.


    Блокировка шурупов, которая сделана с наружной стороны с большим риском для малоберцовой, не создает двойную кортикальную стабильность. Для облегчения нахождения отверстия без рентгена, входящее кортикальное отверстие делается большего диаметра и проведенный шуруп держится только за дальний кортекс.

    Со временем появляется нестабильность и даже отлично подобранный диаметр гвоздя в середине не гарантирует хорошую фиксацию. Дополнительные гипсовые повязки не создадут стабильность, лучше сужение канала с помощи блокирующих шурупов или спиц.

    Для окончательного решения надо иметь снимки голени, включая косые и дистальный отдел.

    Применение большего диаметра гвоздя с укорочением малоберцовой для стабильности и после устранения ротации, рассверливание канала для стимуляции процесса считаю методом лечения. Рассверленную стружку из канала можно добавить как аутотрансплантант в место ложного сустава из минимального доступа.

    Трудности будут во время удаления гвоздя. Для облегчения надо заранее рассчитать вектор гвоздя совпадающий с вектором инструмента для удаления, иначе образуется огромный костный дефект. Множественные блокирующие шурупы под разными углами создадут дополнительную жесткость в системе.

    Или в зависимости от опыта и желания врачей возможно применение менее щадящей техники, вариант без удаления штифта, только дожатием в аппарате из двух колец.

    Djoldas Kuldjanov, MD
    Department of Orthopedic Surgery
    St. Louis University Medical Center
    [ Ответить ]

    Re: Синтезированный перелом в/3 голени. ложный сустав
    Сорокин Игорь 23 Апрель 2009, 20:18
    Уважаемые коллеги возникло противоречие!
    Больная сегодня проконсультирована травматологом красноярской краевой больницы №1:рекомендовано консервативное лечение, поливитамины, миакльцик, полная нагрузка на ногу, рентген контроль через 1,5 мес, за формирование ложного сустава он не высказывается.Больная в шоке от двух диаметрально противоположных мнений: заочной весьма убедительной консультации на форуме в пользу операции и очного осмотра краевого травматолога в пользу, что надо подождать. Куда еще обратиться?
    [ Ответить ]

    Re: Синтезированный перелом в/3 голени. ложный сустав
    Paul 26 Апрель 2009, 22:30
    У больной сформировался псевдоартроз в/3 голени, имеется ротационное смещение (либо раскалывание центрального отломка)- видно на снимках после операции, в течение месяца всохранялась температура - скорее всего тромбоз вен голени. Вот все это - не позволит благополучно перенести реостеосинтез с расверлианием.
    Наиболе рационально в данной ситуации чрекостный остеосинтез спицевым или спице-стержневым аппаратом, остеотомия м/б, аутокостная пластика с погружением трансплантата из минимального доступа.
    Стратегическая задача не ухудшить, а максимально восстановить утраченное кровоснабжение.

    [ Ответить ]

    Re: Синтезированный перелом в/3 голени. ложный сустав
    цикунов Борис 27 Апрель 2009, 20:25
    Игорь, здесь нужно повторно ставить стержень большего диаметра, заблокировать с компрессией насколько возможно и раннюю нагрузку. Можно и LSP, но тогда по полной схеме: с костнй пластикой или любым другим стимулятором (коллапан и т.п.)потому что по срокам - ложный сустав. Честно говоря подумать еще надо о гвозде - и так верх нестабильный, а еще и рассверливать придется, да и при удалении, вернее после однозначно будет дифицит костной ткани, наверное все таки пластина. Успехов.
    [ Ответить ]


    ( Ответить )

    Powered by Zope  Squishdot Powered MedLink
    Посетитель: 0000224
      "По форме правильно, а по существу - издевательство" В.И.Ленин
    ©2001-2019Orthoforum Coordinator.
    [ Главная | Отправить сообщение | Поиск | Админ ]