вверх
отправить
поиск
админ
главная
Предыдущее
|
Re: Ложный сустав в/3 плечевой кости!
Ерсин Жунусов 29 Апрель 2009, 21:48
|
Уважаемые коллеги!
Неоднократно сталкивался и оперировал подобные случаи (во многих регионах Казахста широко применяются травматичные способы фиксации, как экстрамедуллярный). Мое мнение: без лишней травматизации (доступ с разрезом до 5-7 см) открыть зону ложного сустава, удалить винты, так как один из них расположен поперечно к к/каналу,вскрыть костномозговой канал, остеосинтез БИОС с рассверливанием. Один момент: насчет костной пластики я лично не приверженец, так как считаю, что не трансплантат служит основой сращения, а стабильный и функциональный остеосинтез способствует сращению, во вторых после укладки трансплантата её необходимо фиксировать (в данном случае это возможно только проволокой, который служит удавкой и приведеть к преждевременному рассасыванию), лучше вколотить отломки между собой, при этом иногда неизбежен укорочение плечевой кости. Не знаю на сколько убедительны Вам мои аргументы, но во всяком случае пока нам удается таким образом получить желамый результат. С уважением Ерсин Жунусов.
|
|
|
Ответить
|
Re: Ложный сустав в/3 плечевой кости!
Ivan Petrov 29 Апрель 2009, 23:45
|
Тема лечения ложных суставов плеча неоднократно обсуждалась на форуме и раньше. Большинство авторитетных специалистов рекомендуют введение остеоиндуктивного материала в зону ложного сустава (BMP, аутокость и др.). См. http://www.weborto.net/forum/1120587821/index_html.
По личным наблюдениям после неудачного остеосинтеза пластинами ложные суставы лечить гораздо труднее, чем после других видов фиксации, видимо из-за обширной травматизации надкостницы при установке пластины. С внедрением в практику БИОС мы пытались лечить "послепластиночные" ложные суставы закрыто, но во всех случаях понадобились повторные операции с резекцией концов отломков и костной пластикой.Ниже несколько примеров недостаточности только стабильного остеосинтеза для лечения гипопластических ложных суставов.
|
[
Ответить ]
|
Re: Ложный сустав в/3 плечевой кости!
Ivan Petrov 29 Апрель 2009, 23:45
|
Тема лечения ложных суставов плеча неоднократно обсуждалась на форуме и раньше. Большинство авторитетных специалистов рекомендуют введение остеоиндуктивного материала в зону ложного сустава (BMP, аутокость и др.). См. http://www.weborto.net/forum/1120587821/index_html.
По личным наблюдениям после неудачного остеосинтеза пластинами ложные суставы лечить гораздо труднее, чем после других видов фиксации, видимо из-за обширной травматизации надкостницы при установке пластины. С внедрением в практику БИОС мы пытались лечить "послепластиночные" ложные суставы закрыто, но во всех случаях понадобились повторные операции с резекцией концов отломков и костной пластикой.Ниже несколько примеров недостаточности только стабильного остеосинтеза для лечения гипопластических ложных суставов.
|
[
Ответить ]
|
Re: Ложный сустав в/3 плечевой кости!
Отправитель: Ivan Petrov 29 Апрель 2009, 23:50
|

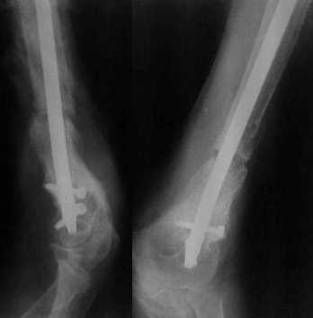
Более года назад пациент был оперирован в одном из НИИТО. При контрольном осмотре через год: болевой синдром, контрактура в локтевом суставе, патолгическая подвижность нижней трети плеча
|
[
Ответить ]
|
Re: Ложный сустав в/3 плечевой кости!
Отправитель: Alexander Chelnokov 02 Май 2009, 10:29
|
Что этот пример должен подтвердить или опровергнуть?
|
[
Ответить ]
|
Re: Ложный сустав в/3 плечевой кости!
Отправитель: Ivan Petrov 29 Апрель 2009, 23:59
|

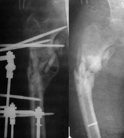
Неудачный остеосинтез пластиной: поломка винтов, миграция фиксатора. После удаления пластины сформировался гипопластический ложный сустав нижней трети бедренной кости, укорочение н/к 5 см. Выполнялся дистакционный остеосинтез аппратом Илизарова на штифте. Зона ложного сустава "не открывалась". Через 10 месяцев, когда даже регенерат полностью перестроился, консолидации в зоне ложного сустава не наступило, несмотря на стабильную фиксацию и постоянную компрессию(штифт+аппрата на 4 кольцах).
|
[
Ответить ]
|
Re: Ложный сустав в/3 плечевой кости!
Отправитель: Ivan Petrov 30 Апрель 2009, 00:26
|

Неудачный остеосинтез пластиной: поломка винтов. После удаления сформирался гиполастический ложный сустав. Остеосинтез АВФ, циклическая компрессия-дистракция в области ложного сустава привела к формированию хорошей рентгенологической костной мозоли. Через 1,5 месяца ходил в аппарате без дополнительных средств опоры. Через 6 месяцев после клинической пробы - демотаж. Через 4 месяца после демонтажа - лизис костной мозоли, рецидив деформации.
|
[
Ответить ]
|
Re: Ложный сустав в/3 плечевой кости!
Отправитель: Alexander Chelnokov 01 Май 2009, 23:49
|
В подобной ситуации закрытое штифтование с рассверливанием сразу после удаления пластины или, при необходимости, после восстановления оси аппаратом, имеет подавляющие шансы на успех. Вмешательство на зоне несращения не нужно.
А эти пресловутые вторичные деформации специфичны для аппаратного лечения, после шитфтования этой проблемы нет.
|
[
Ответить ]
|
Re: Ложный сустав в/3 плечевой кости!
Отправитель: Alexander Chelnokov 01 Май 2009, 23:33
|
> и раньше. Большинство авторитетных специалистов рекомендуют введение
> остеоиндуктивного материала в зону ложного сустава (BMP, аутокость и
Это одна из точек зрения, причем мало кто полагается только на BMP, остеосинтез играет ключевую роль.
> пластины. С внедрением в практику БИОС мы пытались лечить
> "послепластиночные" ложные суставы закрыто, но во всех случаях
> понадобились повторные операции с резекцией концов отломков и костной
Практика показывает, что большую роль играет не столько сам метод, сколько его исполнение. И закрытое штифтование при ложных суставах плечевой кости вполне может быть успешным, хотя, наверно, и не при всех подряд.
Здесь довольно специфическая ситуация, и надежная малоинвазивная фиксация по крайней мере решит проблему функционаальной реабилитации.
Если и потребуются дополнительные действия для достижения сращения, лучше их делать не на фоне контрактур.
|
[
Ответить ]
|
|
( Ответить )
|
|