AOTRAUMA.ORG Центр Илизарова  

Ортопедия и травматология Общие вопросы/General questions Help Информационные технологии в медицине
 вверх
 отправить
 поиск
 админ
 главная
 Предыдущее


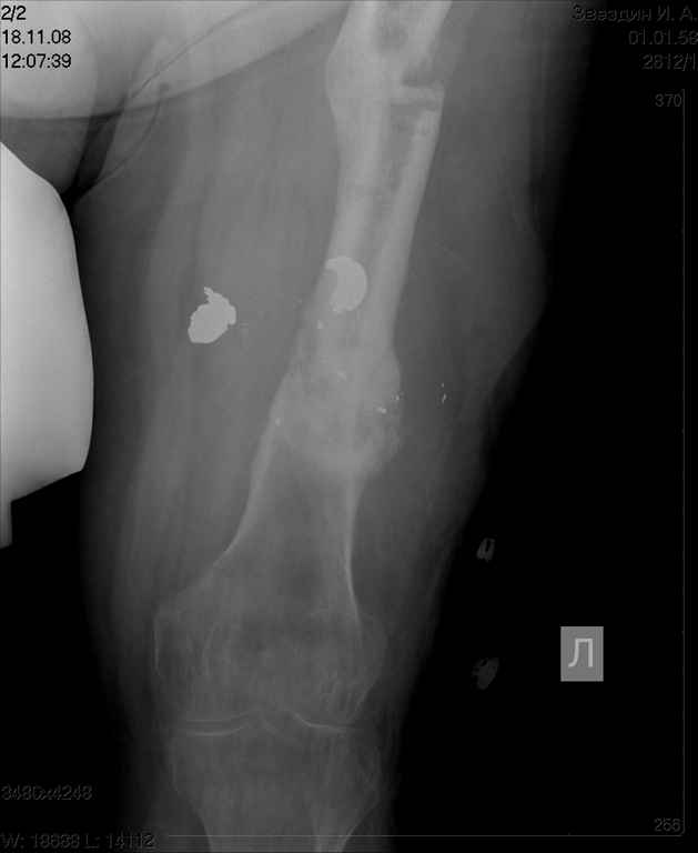
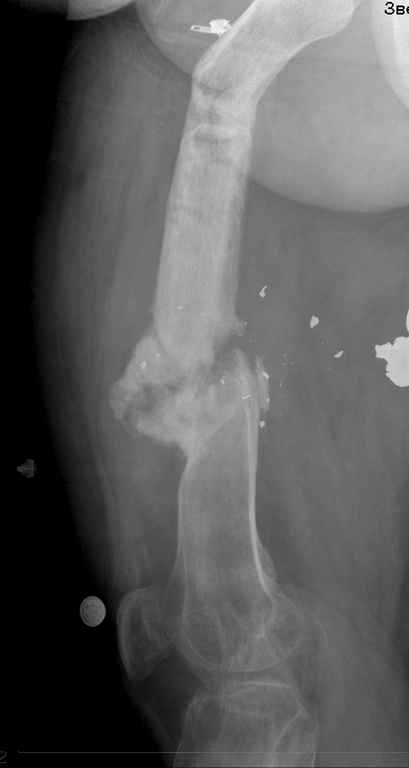
Re: ложный сустав бедра
керимов артур 29 Июль 2009, 23:59
анамнез дествительно красивый, но типичный для данной патологии, хорошо бы глянуть на снимки после травмы и в процессе лечения!! А что пациент из военных?

Центр травматологии и ортопедии
ГВКГ им. Н.Н. Бурденко
  • Сообщения о Ортопедия и травматология
  • Также керимов артур
  • Связаться с автором
  • Ответить

    Re: ложный сустав бедра
    Роман 30 Июль 2009, 15:07
    посылаю снимки отдельно

    [ Ответить ]

    • Re: ложный сустав бедра
      Отправитель: Alexander Chelnokov 01 Август 2009, 17:35
      Перед сохранением изображение нужно скадрировать. то есть оставить только область интереса, убрав попавшие в кадр пальцы, мебель, стены и прочее по краям кадра.
      После этого следует убедиться, что длина и ширина изображения не превышают 1000 пикселов. Если они больше, следует уменьшить их при помощи соответствующей возможности, которая есть в любой популярной программе просмотра и обработки изображений (FastStone, ACDSee, IrfanView, Lview и т.д.), не говоря о уж о Photoshop.
      Рентггенограмму надо преобразовать из цветной в полутоновую черно-белую, т.е. greyscale, оно же "оттенки серого".
      Фото и рентгенограммы необходимо преобразовать только в формат JPEG, который сохраняется с компрессией.
      Компрессию следует задать даже ниже средней, при этом изображение остается читаемым.
      Размер файла после такой обработки обычно не превышает 50-60 Кб.

      [ Ответить ]

     

    ( Ответить )

    Powered by Zope  Squishdot Powered MedLink
    Посетитель: 0400676
      "По форме правильно, а по существу - издевательство" В.И.Ленин
    ©2001-2019Orthoforum Coordinator.
    [ Главная | Отправить сообщение | Поиск | Админ ]