ВХОД ДЛЯ ПАЦИЕНТОВ
вверх
поиск
админ
главная
исходное
последующие
|
Re: Перелом н\3 плечевой кости. Тактика лечения?
послал Александр А. 26 Сентябрь 2009, 20:20
|

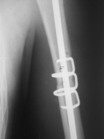
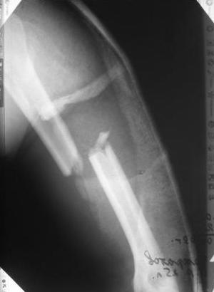
Да, как раз блокированная пластина и стоит, не синтезовская метадиафизарная, Рыбинская, но на порядок дешевле, а профилактика всех осложнений - в данном конкретном случае, начало ранней на вторые сутки - после удаления дренажа разработки движений в смежных суставах. Если же идти с ревизией т.е. всё равно, открыто как вариант небольших разрезов при поперечном переломе можно и комбинированный мос (см.на вкладыше), хотя думаю для такого способа перелом всётаки низковат.
Спасибо.
|
| Послать ответ |
Обратите внимание: Поля с жирными названиями обязательны.
Старайтесь отвечать в рамках обсуждаемой темы, а не начинать новые обсуждения.
Указывайте адекватную тему сообщения, чтобы было ясно, о чем оно.
Не послайте сообщений не по теме (оффтопик), раздраженных, грубых или обидных комментариев. Здесь это неуместно.
|