вверх
отправить
поиск
админ
главная
Предыдущее
Весь тред
|
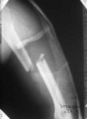
Re: Перелом н\3 плечевой кости. Тактика лечения?
Бережной С. 26 Сентябрь 2009, 18:02
|
У Синтеза (да и у других производителей, вероятно) есть блокируемые метадиафизарные пластины. Как раз для таких случаев. Учитывая высокую вероятность появления гетеротопических оссификатов на фоне ОЧМТ, успех во многом будет определяться стабильной фиксацией, санацией посттравматической гематомы, профилактикой послеоперационной гематомы (адекватный дренаж, эластичное бинтование), ранней разработкой движений.
|
|
|
Ответить
|
Re: Перелом н\3 плечевой кости. Тактика лечения?
Александр А. 26 Сентябрь 2009, 20:20
|

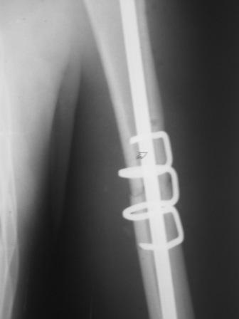
Да, как раз блокированная пластина и стоит, не синтезовская метадиафизарная, Рыбинская, но на порядок дешевле, а профилактика всех осложнений - в данном конкретном случае, начало ранней на вторые сутки - после удаления дренажа разработки движений в смежных суставах. Если же идти с ревизией т.е. всё равно, открыто как вариант небольших разрезов при поперечном переломе можно и комбинированный мос (см.на вкладыше), хотя думаю для такого способа перелом всётаки низковат.
Спасибо.
|
[
Ответить ]
|
Re: Перелом н\3 плечевой кости. Тактика лечения?
Отправитель: Alexey Semenisty 27 Сентябрь 2009, 08:52
|
.... Если же идти с ревизией т.е. всё равно, открыто как вариант небольших разрезов при поперечном переломе можно и комбинированный мос (см.на вкладыше), хотя думаю .
Ничего не понял((... чтто значит: "всё равно, открыто как вариант небольших разрезов при поперечном переломе"???, "комбинированный мос"???... что смотреть на вкладыше?
"..для такого способа перелом всётаки низковат" - для какого такого??
Dear Сергей!
... Техничски возможно и анте- и ретроградно штифтовать, и открыто и закрыто, а также остеосинтез радиционной пластиной или LCP , и спереди и сзади тоже возможно...
Мы бы, скорее всего, предпочли антеградное штифтование
С уважением, А.Семенистый.
ГКБ № 13, Москва.
|
[
Ответить ]
|
Re: Перелом н\3 плечевой кости. Тактика лечения?
Отправитель: Сергей 27 Сентябрь 2009, 18:17
|
Спасибо Алексей! Я и планировал провести антеградное штифтование но меня смущал относительно небольшой дистальный отломок. Может для кого-то данные вопросы и кажутся пустяком...но я только недавно начал использовать в своей работе штифты преимущественно Synthes. Еще раз спасибо
|
[
Ответить ]
|
Re: Перелом н\3 плечевой кости. Тактика лечения?
Отправитель: Alexander Chelnokov 27 Сентябрь 2009, 18:50
|
Может для кого-то данные вопросы и кажутся пустяком...
В том-то и беда, что Вы не задаете те вопросы, которые бы следовало задать, если предстоит не сильно знакомая операция антеградного остеосинтеза довольно дистального перелома плеча.
Давайте я Вам задам несколько вопросов. Какой гвоздь будуете использовать - производитель, длина, диаметр? Будете ли рассверливать канал? Чем, до какого диаметра? Как будете делать репозицию - на руках, дистрактор? Как будете запирать стержень в дистальном отломке - направление, количество винтов?
Спасибо.
|
[
Ответить ]
|
Re: Перелом н\3 плечевой кости. Тактика лечения?
Отправитель: Александр А. 30 Сентябрь 2009, 20:28
|
Уважаемый Алексей Юрьевич!
Всё правильно, просто я несколько разрозненно пытался сказать на частных примерах, то , что Вы систематизировали. Совершенно верно данный перелом можно и так и эдак, наиболее оптимально антеградное штифтование, хотя я бы предпочёл пластину LCP(просто - ну лучше у меня это получается и всё, а больному не вредит тот же функциональный способ). А низковато для неблокированного штифтования с конструкциями с термомеханической памятью, то, что представленно на втором снимке.
Спасибо.
|
[
Ответить ]
|
|
( Ответить )
|
|