AOTRAUMA.ORG Центр Илизарова  

Ортопедия и травматология Общие вопросы/General questions Help Информационные технологии в медицине
 вверх
 отправить
 поиск
 админ
 главная
 Предыдущее


Re: Трудности при лечении открытого перелома голени
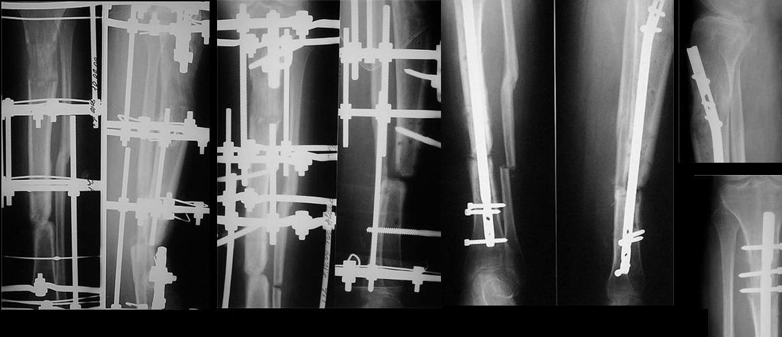
Виктор Попов 08 Ноябрь 2009, 21:27


сделан первый этап операции: остеосинтез спице-стержневым аппаратом 7.11.09 г. выполнен второй этап - БИОС с рассверливанием канала, операция прошла без ожидаемых трудностей, открывать зону ложного сустава не пришлось. Прошу сделать замечания.
Виктор Попов, Караганда.

  • Сообщения о Ортопедия и травматология
  • Также Виктор Попов
  • Связаться с автором
  • Ответить

    Re: Трудности при лечении открытого перелома голени
    Danil Bliznets 08 Ноябрь 2009, 23:03
    Рекурвация вроде осталась. Недорепонировали на этапе ЧКО.
    [ Ответить ]

    Re: Трудности при лечении открытого перелома голени
    Danil Bliznets 08 Ноябрь 2009, 23:06
    И мы бы, наверное, динамическое блокирование сделали за счёт проксимального отломка.
    [ Ответить ]

    Re: Трудности при лечении открытого перелома голени
    Danil Bliznets 09 Ноябрь 2009, 00:11
    И точка входа слишком низко.
    [ Ответить ]

    Re: Трудности при лечении открытого перелома голени
    Danil Bliznets 09 Ноябрь 2009, 00:11
    И гвоздик коротковат imho.
    [ Ответить ]

    Re: Трудности при лечении открытого перелома голени
    Danil Bliznets 09 Ноябрь 2009, 01:01
    Мы бы сделали заход через переднее межмыщелковое поле, тогда бы динамический блокирующий винт в овальном отверстии прошёл бы через нормальную кость, а не через регенерат. Ну, и стержень, соответственно, потребовался бы длиннее.
    Кликните для загрузки файла Безымянный.JPG
    4KB (4802 bytes)

    [ Ответить ]


    ( Ответить )

    Powered by Zope  Squishdot Powered MedLink
    Посетитель: 0000005
      "По форме правильно, а по существу - издевательство" В.И.Ленин
    ©2001-2019Orthoforum Coordinator.
    [ Главная | Отправить сообщение | Поиск | Админ ]