Ответить
|
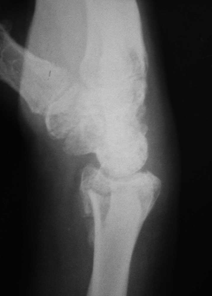
Re: Перелом дистального луча
Kuleshov 31 Октябрь 2009, 18:02
|

То же самое, только в профиль
|
[
Ответить ]
|
Re: Перелом дистального луча
Александр Петрушин 31 Октябрь 2009, 19:39
|
Я бы сделал остеотомию + аппарат Илизарова. Два базовых кольца или одно с дополнительной спицей на выносном спицедержателе, репонирующее полукольцо на штангах с шарнирами.
|
[
Ответить ]
|
Re: Перелом дистального луча
Гуза Николай 01 Ноябрь 2009, 01:28
|
Здравствуйте! Предлагаю произвести открытую репозицию отломков ладонным доступом, остеосинтез пластиной с угловой стабильностью или несколькими спицами. Рентгенографически имеются признаки пятнистого остеопрозоа костей кисти (синдром Зудека) -- следовательно во время открытой репозиции произвести декомпрессию тунельного канала.
|
[
Ответить ]
|
Re: Перелом дистального луча
Kuleshov 01 Ноябрь 2009, 03:04
|
Спасибо за советы, коллеги. Александр, на каком уровне предлагаете остеотомию (луча, я правильно понял?)
Николай, поясните, пожалуйста, как декомпрессия карпального канала при предполлагаемом синдроме Зудека(Reflex Sympathetic Dystrophy)должна должна помочь пациенту? Признаков синдрома карпального канала у пациента нет. Достаточно ли данных для диагностики синдрома Зудека? Остеопороз может быть вызван иммобилизацией, для боли и уменьшения объема движений тоже есть причины.
|
[
Ответить ]
|
|
|
Re: Перелом дистального луча
Бехтерев Антон 01 Ноябрь 2009, 06:07
|
Как я понял, срок иммобилизации составил 3 месяца! Описанная Вами функция лучезапястного сустава (странно, что не указана функция кисти) вполне соответствует этому. Дальше нужно определиться что лечить: рентгенограмму или больного. В первом варианте оправдано выполнение корригирующей остеотомии с костной аутопластикой. Выбор фиксации, ЧКДО или locking plate, зависит от Ваших предпочтений. В итоге получите красивую ретгенкартинку и кисть с функцией ласты. Плавать будет быстро.
Ну, нельзя же так, господа! Дайте больному шанс на восстановление функции при том стоянии отломков, которое есть. Ему не скальпель сейчас нужен, сколько грамотный реабилитолог и, возможно уже, психолог.
Продемонстрируйте фотографии руки, пожалуйста.
|
[
Ответить ]
|
Re: Перелом дистального луча
Алексей 01 Ноябрь 2009, 11:31
|
Абсолютно согласен!!!!!!! Дайте больному хороший курс реабилитации.... Посмотрите чего он добьётся...
Стоит ли провести курс лечебной физкультуры и оценить необходимость оперативных вмешательств спустя пару месяцев??
Стоит...
|
[
Ответить ]
|
Re: Перелом дистального луча
Maxim Agalakov 01 Ноябрь 2009, 20:24
|
мне кажется, можно попробовать дозированное исправление деформации в аппарате. Учитывая сроки, остеотомия на уровне "шипа" дистального отломка, выращивание трапециевидного регенерата.
С уважением, Максим Агалаков, Е-бург
|
[
Ответить ]
|
Re: Перелом дистального луча
Danil Bliznets 01 Ноябрь 2009, 23:26
|
Любые вмешательства imho после восстановления функции лучезапястного сустава и кисти, а после сам пациент может быть скажет вам, что ему больше ничего и не надо. :-)
Данил Близнец, УНИИТО, Екатеринбург
|
[
Ответить ]
|
Re: Перелом дистального луча
Михаил Васильев 03 Ноябрь 2009, 00:23
|
На практике в ближайшшее время (6 мес.) было выполнено 4 операции у пациентов с подобной патологией, правда срок давности в основном 2 месяца и меньше. Большей причиной для выполнения операции, все-таки было дастаточно значительное угловое смещение в боковой проекции или наличие осколков, ограничивающих функцию. С учётом анамнеза травмы (кататравма, 5 этаж) мне кажется, что коллеги правы склоняясь в сторону консервативного разрешения вопроса. Я думаю, что при такой траме есть более серьёзные вопросы по реабилитации. Михаил. г. Йошкар-Ола.
|
[
Ответить ]
|
Re: Перелом дистального луча
Kuleshov 03 Ноябрь 2009, 01:49
|
Из сопутствующей патологии - язвенная болезнь. Склоняюсь также к мысли о повреждении срединного нерва справа - уплощение тенара, тест с оппозицией 1 пальца привожу на фото.
IMGP4445.JPG
146KB (150294 bytes)
|
[
Ответить ]
|
Re: Перелом дистального луча
Отправитель: Kuleshov 03 Ноябрь 2009, 01:56
|
http://s49.radikal.ru/i123/0911/f6/56b0d2b93ad8.jpg
правая кисть - прямая проекция и разные степени проекции
http://s05.radikal.ru/i178/0911/16/9cc733bcfbf2.jpg
прямая проекция и с согнутыми в кулак пальцами
http://s06.radikal.ru/i179/0911/2e/43cce0e948f4.jpg
боковая и косая полупронированная проекции
|
[
Ответить ]
|
Re: Перелом дистального луча
Отправитель: Kuleshov 03 Ноябрь 2009, 02:01
|
разные степени пронации, конечно, прошу прощения
Внешний вид кисти
[URL=http://www.radikal.ru][IMG]http://s11.radikal.ru/i183/0911/c7/ea325ed77c0b.jpg[/IMG][/URL]
[URL=http://www.radikal.ru][IMG]http://s47.radikal.ru/i116/0911/5b/46c97b73cf56.jpg[/IMG][/URL]
[URL=http://www.radikal.ru][IMG]http://i053.radikal.ru/0911/b8/edd6dfac7ed1.jpg[/IMG][/URL]
[URL=http://www.radikal.ru][IMG]http://s50.radikal.ru/i127/0911/84/840cf0932995.jpg[/IMG][/URL]
|
[
Ответить ]
|
Re: Перелом дистального луча
Отправитель: Kuleshov 03 Ноябрь 2009, 02:01
|
разные степени пронации, конечно, прошу прощения
Внешний вид кисти
[URL=http://www.radikal.ru][IMG]http://s11.radikal.ru/i183/0911/c7/ea325ed77c0b.jpg[/IMG][/URL]
[URL=http://www.radikal.ru][IMG]http://s47.radikal.ru/i116/0911/5b/46c97b73cf56.jpg[/IMG][/URL]
[URL=http://www.radikal.ru][IMG]http://i053.radikal.ru/0911/b8/edd6dfac7ed1.jpg[/IMG][/URL]
[URL=http://www.radikal.ru][IMG]http://s50.radikal.ru/i127/0911/84/840cf0932995.jpg[/IMG][/URL]
|
[
Ответить ]
|
Re: Перелом дистального луча
Отправитель: Kuleshov 03 Ноябрь 2009, 02:06
|
[URL=http://radikal.ru/F/i050.radikal.ru/0911/78/c61970579c51.jpg.html][IMG]http://i050.radikal.ru/0911/78/c61970579c51t.jpg[/IMG][/URL]
|
[
Ответить ]
|
|
( Ответить )
|