ВХОД ДЛЯ ПАЦИЕНТОВ
вверх
поиск
админ
главная
исходное
последующие
|
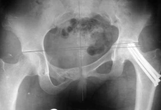
Re: AVN of femoral head and fracture of the pelvis.
послал Maxim Agalakov 18 Ноябрь 2009, 21:33
|

До сих пор идут большие дискуссии по поводу высокого центра ротации и единого мнения, насколько я знаю, нет. Компенсация длины, рычагов ягодичных мышц и т.д., а уж при вертикальном смещении таза,влияние его на последующее эндопротезирование просто не узнать (слишком мало наблюдений и много факторов, влияющих на конечный результат). Фото лишний раз подтверждают, укорочение за счет контрактуры.
|
| Послать ответ |
Обратите внимание: Поля с жирными названиями обязательны.
Старайтесь отвечать в рамках обсуждаемой темы, а не начинать новые обсуждения.
Указывайте адекватную тему сообщения, чтобы было ясно, о чем оно.
Не послайте сообщений не по теме (оффтопик), раздраженных, грубых или обидных комментариев. Здесь это неуместно.
|