вверх
отправить
поиск
админ
главная
Предыдущее
Весь тред
|
Re: AVN of femoral head and fracture of the pelvis.
Алексей Гринь 17 Ноябрь 2009, 23:06
|
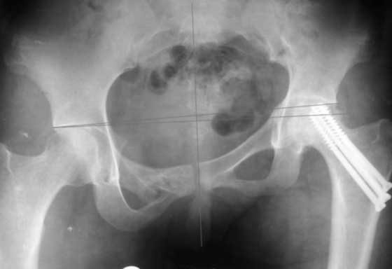
Согласен с Рунковым. Девочка молодая. Имеется ассиметричное расположение вертлужных впадин в прямой проекции. Так как повреждение таза было вертикально-нестабильное, вероятно имеется так же ассиметрия в передне-заднем направлении. Конечно протезом можно компенсировать имеющееся укорочение, но ассиметрично расположенные тазобедренные суставы приведут к нарушению двигательного стереотипа, нарушение походки, остеохондроз и т.д.
С уважение А.Гринь.
|
|
|
Ответить
|
Re: AVN of femoral head and fracture of the pelvis.
Maxim Agalakov 18 Ноябрь 2009, 21:33
|

До сих пор идут большие дискуссии по поводу высокого центра ротации и единого мнения, насколько я знаю, нет. Компенсация длины, рычагов ягодичных мышц и т.д., а уж при вертикальном смещении таза,влияние его на последующее эндопротезирование просто не узнать (слишком мало наблюдений и много факторов, влияющих на конечный результат). Фото лишний раз подтверждают, укорочение за счет контрактуры.
|
[
Ответить ]
|
Re: AVN of femoral head and fracture of the pelvis.
Отправитель: Рунков А.В. 18 Ноябрь 2009, 22:22
|

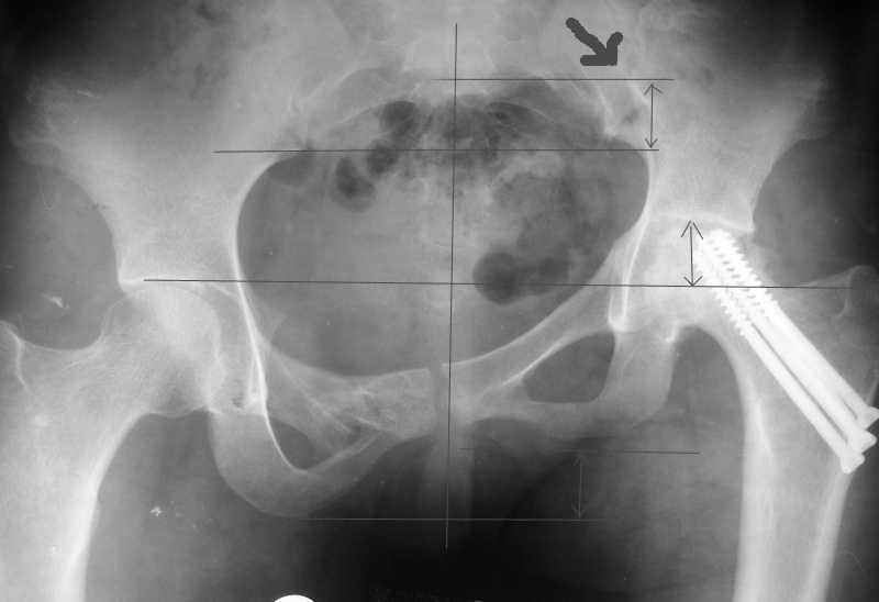
Привет, Макс. Не торопись, посмотри внимательно на истинную картину. Толстая стрелка указывает на нижний край смещенного кп сочленения.
Поэтому считаю, что Принять какое-либо решение без кт и дополнительных проекций неразумно.
РАВ
|
[
Ответить ]
|
Re: AVN of femoral head and fracture of the pelvis.
Отправитель: Maxim Agalakov 19 Ноябрь 2009, 02:52
|
разговоров нет, смещение значимое, какое оно было, такое и осталось. Будут проблемы и с сидением и с осанкой и т.д. Идеальным вариантом было бы, конечно, исправить деформацию, а потом запротезировать. Но... цена вопроса. сейчас деформация, судя по костной мозоли, стабильная, и таз несет основную свою функцию - опорную, явно КПС не болит. Превратить стабильную деформацию в нестабильную и потом ее исправить - задача непростая, но выполнимая. Оперативное лечение будет сложное, скорее всего многоэтапное и длительное. С определенными рисками, общехирургическими и специфическими, например несращение зоны остеотомий - нестабильный таз, ризидуальное смещение (в пределах 1 см вполне вероятно). Если считать, что на тазе укорочение см 3, остальные 5. все-таки сгибательно-приводящая контрактура. На протезе от контрактуры можно избавиться, да и см 2 удлинить за счет опила, головки. В такой ситуации решение должна принять пациентка и оно должно быть действительно информированным.
|
[
Ответить ]
|
|
( Ответить )
|
|