AOTRAUMA.ORG Центр Илизарова  

Ортопедия и травматология Общие вопросы/General questions Help Информационные технологии в медицине
 вверх
 отправить
 поиск
 админ
 главная


переломы ребер
Ортопедия и травматология Отправлено Djoldas Kuldjanov 24 Декабрь 2009, 00:45
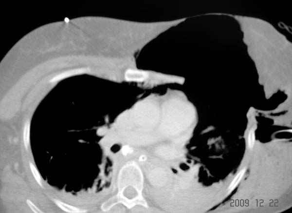
К нам поступила больная 56 лет после автоаварии в бессознательном состоянии, которая срочно заинтубирована в приемном отделении и сделаны необходимые исследования. Данные КТ и рентген показали перелом дистального бедра и Dissociation upper extremity - закрытый отрыв левой верхней конечности на уровне грудинно-ключичного сочленения и множественные переломы ребер.
На поверхности грудной клетки из-за полного разрыва грудной мышцы под кожей заметно биение сердца и след от ремня безопасности. Грудная клетка расширена из-за смещения верхней конечности вверх и латерально. Признаков васкулярного повреждения нет, и из-за отсутствия сознания не смогли определить наличия повреждения нервов.

Срочно в операционной наложен наружный фиксатор и травма хирургом поставлены трубки в плевральную полость.

На седьмые сутки нами совместно с торакальным хирургом сделана операция по фиксации грудинно-ключичного сочленения и переломов ребер.

После кожного разреза обнаружили полный разрыв грудной мышцы и повреждение перикард от уровня второго до восьмого ребер. Хирург находился с нами и после нашей работы зафиксировал повреждение перикарда и разрыв грудной мышцы.

Недавно сделана операция на дистальном бедре, которое за три недели почти срослось, и пришлось немного разрушить образовавшуюся мазоль.

Не все переломы ребра фиксированы, и поэтому хотели услышать комментарии тех, у кого имеется опыт.

Больная в данный момент с трахеостомой, стабильная, пришла в сознание. На сегодняшнем осмотре больная шевелит пальцами, что говорит об отсутствии повреждений нервов.

Пластина из Synthes http://int.synthesmatrixrib.com/html/Overview.5.0.html

Djoldas Kuldjanov, MD
Department of Orthopedic Surgery
St. Louis University Medical Center

<  |  >

 

  • Сообщения о Ортопедия и травматология
  • Также Djoldas Kuldjanov
  • Связаться с автором
  • Ответить

    Re: переломы ребер
    Alexaander Artemiev 24 Декабрь 2009, 04:29
    Джолдас, привет.
    Как всегда исключительно интересная презентация. Но в данном случае, я думаю, она просто уникальная. В том смысле, что повтор вряд ли когда
    увидишь, если только не сработает закон парных случаев.

    > К нам поступила больная 56 лет после автоаварии в бессознательном
    > состоянии, которая срочно заинтубирована в приемном отделении и
    > сделаны необходимые исследования.


    Я так понимаю, от поступления до КТ проходят минуты, но в принципе рациональной является другая последовательность - дренирование (после
    клинической диагностики), а затем интубация , поскольку проведение ИВЛ при повреждении легкого чревато развитием напряженного пневмоторакса.

    > Данные КТ и рентген показали
    > перелом дистального бедра и Dissociation upper extremity - закрытый
    > отрыв левой верхней конечности на уровне грудинно-ключичного
    > сочленения и множественные переломы ребер.
    > На поверхности грудной клетки из-за полного разрыва грудной мышцы
    > под кожей заметно биение сердца и след от ремня безопасности.
    > Грудная клетка расширена из-за смещения верхней конечности вверх и
    > латерально. Признаков васкулярного повреждения нет, и из-за
    > отсутствия сознания не смогли определить наличия повреждения нервов.


    Думаю, в данной ситуации повреждение нервов имело второстепенное значение. В пользу сохранности нервов говорит отсутствие симптома Горнера, который проявляется при отрыве конечности вместе с плечевым сплетением. Мне однажды довелось наблюдать это явление при отрыве руки на уровне плечевого сустава в бетономешалке. Там сомнений не возникало - привезли уже без руки солдата из стройбата.

    > Срочно в операционной наложен наружный фиксатор и травма хирургом
    > поставлены трубки в плевральную полость.
    > На седьмые сутки нами совместно с торакальным хирургом сделана
    > операция по фиксации грудинно-ключичного сочленения и переломов ребер.
    > Не все переломы ребра фиксированы, и поэтому хотели услышать
    > комментарии тех, у кого имеется опыт.


    С трудом могу себе представить какой-либо обобщенный опыт в такой нестандартной ситуации.
    А фиксацию переломов ребер пластиной вижу впервые. У нас (в смысле в России) переломы ребер не синтезируются в принципе. Они всегда срастаются самостоятельно. Пусть в неправильном положении, но это не составляет проблему.
    Хотя это проблема не ортопедов, а торакальных хирургов.

    Огромное спасибо за презентацию.
    Интересно было бы обсудить на хирургическом форуме.
    С уважением Александр Артемьев
    [ Ответить ]

    • Re: переломы ребер
      Отправитель: Alexander Chelnokov 24 Декабрь 2009, 04:36
      Есть пророков в своем отечестве, в смысле было 3 года назад на форуме про фиксацию ребер пластиной, и как раз из России. Тогда, помнится, Джолдас рассказывал, что американские доктора удивлялись этой картинке.


      [ Ответить ]
      • Re: переломы ребер
        Отправитель: Alexaander Artemiev 25 Декабрь 2009, 00:42
        Здравствуйте, Alexander.
        Саша, я не рассматриваю экзотику типа остеосинтеза локтевой кости уретральным катетером (в какой-то старой книжке видел картинку).
        Я говорю за всю, пардон, Одессу.
        Ещё раз подчеркиваю - это проблема не ортопедическая.
        Военно-полевая скажем так доктрина достаточно четко определяет показания к разлилчным элементам тактики при травме груди различной тяжести. Внутренний остеосинтез ребер там не фигурирует, хотя в обзорах я видел ссылки на опыт отдельных авторов.
        Есть методики создания каркаса путем подкожного проведения спиц, даже внешние фиксаторы пытались внедрить на базе стержневых аппаратов. Но
        речь идет о фиксации реберного клапана и устранении связанных с этим патологических явлений. Собственно говоря ИВЛ - один из наиболее
        рациональных методов.
        Представленный Джолдасом случай уникален, и вполне логично, как мне кажется, было применить остеосинтез ребер пластинами, коль уж они
        торчат в ране. Но специально гоняться за ребрами не нужно.

        A>> А фиксацию переломов ребер пластиной вижу впервые. У нас ( в смысле в
        A>> России)переломы ребер не синтезируются в принципе.

        > Есть пророков в своем отечестве, в смысле было 3 года назад на форуме
        > про фиксацию ребер пластиной, и как раз из России. Тогда, помнится,
        > Джолдас рассказывал, что американские доктора удивлялись этой картинке.


        Возникшая недавно тема оказания помощи пострадавшим с травмой груди пошла совсем не в том направлении, в котором нужно. Принять в участие в дискусси возможности не было. Но представленный случай деомнстрирует очень логичное и рациональное участие и хирургов и ортопедов в лечении. Но это же совсем другая страна.
        С уважением Александр Артемьев

        [ Ответить ]
    Re: переломы ребер
    Бережной Сергей 24 Декабрь 2009, 14:40
    Впервые довелось ассистировать на остеосинтезе ребер в 1987г. в маленьком якутском городке. Торакальный хирург приехал из Якутска и операция для него была далеко не первой. Россия большая.
    [ Ответить ]

    Re: переломы ребер
    Паськов Роман 24 Декабрь 2009, 20:46
    Спасибо за интересное наблюдение.
    Скажите, исследовали ли Вы позвоночный столб? Ведь описанный механизм травмы не редко вызывает повреждения Seat-belt.

    Паськов Роман
    [ Ответить ]

    Re: переломы ребер
    Казанцев А. 25 Декабрь 2009, 18:15
    Остеосинтез ребер при нестабильности реберного каркаса в нашем отделении считается ургентной операцией. В течении 8 лет оперировано порядка 30 больных. Всем выполнялся остеосинтез пластинами. При множественных переломах по одной линии синтез выполняли из вертикального кожного разреза над переломами далее расслаивали (не рассекая) мышцы и выходили на перелом. Использовали обычные реконструктивные пластины по 2 (редко3) спонгиозных шурупа в каждый из отломков этого бывает достаточно. Шурупы проводили через 2 кортикала.То что концы шурупов выходили в плевральную полость ни в одном случае не привело к каким то осложнениям. Пластины моделировали по изгибу ребра.При окончатых переломах ребро синтезировали 2 пластинами уже из продольного доступа или из двух вертикальных. Это в случаи если сломаны были 4-5 ребер и передняя и заднии линии переломов проходит по одной вертикальной линии (как чаще всего и бывает). При наличии гемоторакса после остеосинтеза ребер выполняли санирующую торакоскопию. Дренировали плевральную полость только при наличии показаний. Синтез ребер делали подряд не пропуская сломанные. Остеосинтез ребер очень благодарная операция которую у нас очень любят реаниматологи. Когда у больного с нарушением каркасности грудной клетки с субкомпенсированной дыхательной недостаточностью реаниматологами ставится вопрос о переводе его на ИВЛ, мы выполняем остеосинтез, и наследующий день они задают другой вопрос, а что больной делает в реанимации? Из клинических примеров (пока без рентгенограмм) расскажу о двух. Первый это больной с переломами 10 ребер справа и 9 слева синтезировали по 6 и 5 соответственно прошел без ИВЛ. И больная 98 лет с переломами 10 ребер слева оперирована через 4 часа после травмы выполнен остеосинтез 5 ребер прошла без ИВЛ и без пневмонии. Поэтому считаю операцию остеосинтеза ребер при нарушении каркасности грудной клетки операцией выбора и активный подход к этой патологии должен только приветствоваться.
    Казанцев А.
    [ Ответить ]

    Re: переломы ребер
    Djoldas Kuldjanov 26 Декабрь 2009, 15:02
    Уважаемые друзья и коллеги по Ортофоруму, поздравляю всех с Рождеством и наступающим Новым Годом! Всем желаю семейного счастья, здоровья и успехов в жизни! Большое спасибо всем за участие в Ортофоруме, за выставленные презентации, присланные отзывы и пожелания!



    >У нас (в смысле в России) переломы ребер не синтезируются в принципе. Они всегда срастаются самостоятельно. Пусть в неправильном положении, но это не составляет проблему. Хотя это проблема не ортопедов, а торакальных хирургов



    В основном переломы ребер мы тоже не фиксируем, но учитывая, что в данной презентации, кроме разрыва грудинно-ключичного сочленения, дополнительно имелись множественные переломы ребер, некоторые сегментарные. После такой травмы трудно восстановить функцию западающей грудной клетки, и поэтому после дисскуссии с торакальным хирургом мы коллективно приняли решение зафиксировать переломы ребер тоже.


    Отмеченный Александром случай из России заинтриговал меня давно и как раз выдался случай..., тем более новый имплант от Synthesа в 1.5 мм отвечал всем требованиям остеосинтеза ребер.

    Здесь линк к методичке: http://products.synthes.com/KYO_US/kyo_us_cmf/home/submenu.asp?MEDBODYRGN=THORACIC&partImg=skel_thor.jpg&headImg=sub_thor.gif&


    Насчет последовательности принятия мер в ургентных случаях в наших Травма Центрах (Level One Trauma Center) существует правило, что решение с больными политравмой принимает Trauma Surgeon.


    Врач Хирург Травматолог является главным специалистом по координации сложных больных с травмой и является лечашим врачом, а остальные заинтересованные специалисты, в том числе ортопеды, участвуют как консультанты. В зависимости от повреждении каждая заинтересованная служба делает свою работу независимо от местонахождения больного в клинике.

    Кстати, все травматические больные могут находится вперемешку в одной палате, если на двоих, там могут оказаться разные больные, например, с абдоминальной и травмой конечности.

    Не по "нашему", но система работает, и здесь за год наши статические данные:

    За 2007 год у нас прошло 3365 больных, из них 552 больных с ISS более 17.

    Из 3300 проперированных: переломы бедра составил 92, 126 тибиа, из них 74 открытые, более 150 переломов и реконструктивных операций таза и ацетабулум. Около 1900 операции с внутрисуставными и переломами стопы. 400 случаев реконструктивной хирургии, включая ложные суставы и деформации.

    > Впервые довелось ассистировать на остеосинтезе ребер в 1987г. в маленьком якутском городке. Торакальный хирург приехал из Якутска и операция для него была далеко не первой. Россия большая.

    >Остеосинтез ребер при нестабильности реберного каркаса в нашем отделении считается ургентной операцией.


    Дело не в приоритете, кто и когда, а главное, при наличии публикации результатов фиксации многим не пришлось бы гадать о правильности принятия решении. Такие публикации совместно с торакальными хирургами помогут разработать тактику и руководство по лечению множественных переломов ребер. Также поможет разработать новые адекватные импланты вместо существующих..


    Скажите, исследовали ли Вы позвоночный столб?

    Исследование позвоночного столба входит в протокол исследования травматических больных и обычно делается при поступлении в первую очередь. КТ показала негативный результат.

    Для ознакомления с категориями уровня повреждении принятой у нас публикую наши данные.

    К категории Первого уровня:

    1. Кома по критерии определения по Глазго 13 (во время осмотра)

    2. Систолическое давление меньше 90

    3. Частота дыхания меньше 10 или 29 и выше

    компромизация воздушных путей, опавшая грудная клетка, гемо или пневмоторакс

    активные кровотечения

    пенетрирующая травма головы, шеи, тела

    травма конечности с отсутствием пульсации

    ампутации: проксимального уровня кисти или голеностопа

    параличи или симптомы повреждении спинного мозга

    ожоги более 20% поверхности тела или симптомы ожогов дыхательных путей

    электрические повреждения 200 вольт и выше

    два или более переломы (плечо/бедро)

    описания клинического состояния парамедиками


    К категории Второго уровня:



    Автомобильные аварии

    Начальная скорость больше 60 км/ч

    Деформации машины более 50см

    Аварии с вовлечением более 12 пассажиров в кабине

    Смерть пассажира в кабине

    Время экстракции пострадавшего из кабины больше 20 мин

    Вылет из машины или когда машина перевернулась

    Авто-пешеходные/авто-велисопедные повреждения при ударе больше 8км/ч

    Мотоцикл или АТВ больше 28 км/ч или отрыв от мотоцикла

    приступы с потерей сознания

    Падения с высоты более более 3.5 метра

    Тазовые переломы

    Все открытые переломы

    Все повреждения с отслойкой/ размозжением

    Пенетрирующие повреждения конечностей проксимальнее локтевого сочленения или колена

    Ампутации конечности расположенные в проксимальной части кисти и голеностопа

    Беременность с острыми болями в животе


    К категории Третьего Уровня:

    Автоаварии скоростью менее 60 км/ч

    приступы с потерей сознания

    Ожоги поверхности менее 20%

    Авто-пешеходные/авто-велисопедные повреждения при ударе менее 8км/ч

    Мотоцикл или АТВ менее 60 км/ч

    Все падания менее 3.5 м или 5 ступеней

    Пенетрирующие повреждения конечностей дистальнее локтевого сочленения или колена

    Повреждения с вовлечением беременной



    К категории Четвертого Уровня:


    Гипотермии меньше 34 градусов

    Ядовитые укусы

    Спортивные травмы

    Повешения

    Утопление неполное


    В зависимо от категории оказывается помощь различными специалистами, например при категориях первой и второй степени вызывается Травма Хирург, а степени 3 и 4 оказывается помощью с помощью Врачей Ургентной Службы (Приемного Отделения)



    С уважением,



    Джолдас Кульджанов

    [ Ответить ]


    ( Ответить )

    Powered by Zope  Squishdot Powered MedLink
    Посетитель: 0382795
      "По форме правильно, а по существу - издевательство" В.И.Ленин
    ©2001-2019Orthoforum Coordinator.
    [ Главная | Отправить сообщение | Поиск | Админ ]