ВХОД ДЛЯ ПАЦИЕНТОВ
вверх
поиск
админ
главная
исходное
|
Re: перелом таза
послал Женя 31 Март 2010, 18:33
|

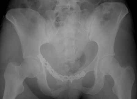
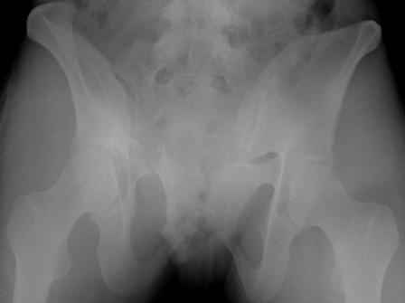
Уважаемые коллеги!
Серия до- и послеоперационных снимков этой пациентки. Хотя бы post factum обсудить. Не знаю, что можно сделать с задними отделами стержневым аппаратом, но три крепких парня открытым путем с помощью "волшебных" слов еле-еле смогли отрепонировать - сзади все было очень ригидно!
|
| Послать ответ |
Обратите внимание: Поля с жирными названиями обязательны.
Старайтесь отвечать в рамках обсуждаемой темы, а не начинать новые обсуждения.
Указывайте адекватную тему сообщения, чтобы было ясно, о чем оно.
Не послайте сообщений не по теме (оффтопик), раздраженных, грубых или обидных комментариев. Здесь это неуместно.
|