Ответить
|
Re: перелом таза
Алексей 23 Март 2010, 21:48
|
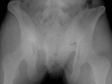
Ротационно-нестабильное повреждение.Наверняка есть перелом крестца слева.Нужно сделать проекцию хотя бы inlet.А в принципе можно скомбинировать, пластину на лоно + аппарат.
|
[
Ответить ]
|
Re: перелом таза
Maxim Agalakov 23 Март 2010, 22:56
|
думаю, для начала необходимо определиться с типом перелома. Для этого, как минимум необходима проекция inlet, дальше часть вопросов может отпасть сама-собой.
Конечно важен механизм травмы, на первый взгляд возможно двустороннее повреждение задних отделов.
|
[
Ответить ]
|
Re: перелом таза
Александр Н.(Самара) 24 Март 2010, 23:46
|
Считаю целесообразным наложить стержневой аппарат, который скорее всего позволит устранить большинство смещений и возможно станет окончательным видом лечения
IMG_0129.JPG
214KB (219953 bytes)
|
[
Ответить ]
|
Re: перелом таза
A.Mironov 25 Март 2010, 14:35
|
Уважаемый Евгений,
для принятия решения вход, выход из малого таза и кт задних отделов
С уважением А.Миронов
|
[
Ответить ]
|
перелом таза
Бен. Э. М. 25 Март 2010, 18:16
|
Больную нужно дообследовать- inlet, outlet, боковые проекции таза 3/4, КТ таза, таз 3D.
|
[
Ответить ]
|
Re: перелом таза
Женя 25 Март 2010, 18:47
|
Уважаемые коллеги!
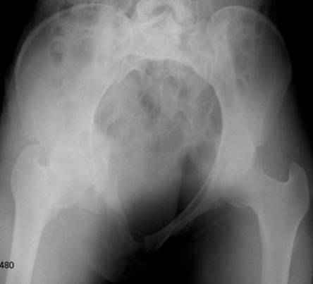
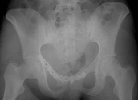
Спасибо за полезные советы! По inlet и outlet обнаружили перелом крестцас той-же стороны. Сегодня прооперировали реконструктивной пластиной с перекрытием симфиза, крестец, увы, фиксировать было нечем - оставили так (тем более, что грубой дислокации там нет). Рентгенограммы выложу позже.
|
[
Ответить ]
|
Re: перелом таза
Отправитель: Михаил 26 Март 2010, 01:56
|
Здравствуйте, Евгений! Надо было делать комбинированный остеосинтез, как предлагал Алексей: пластину на лоно+стержневой аппарат.
|
[
Ответить ]
|
Re: перелом таза
Отправитель: Андрей 26 Март 2010, 20:01
|
А разве стержневым аппаратом можно адекватно фиксировать задние отделы?
|
[
Ответить ]
|
Re: перелом таза
Отправитель: Maxim Agalakov 27 Март 2010, 23:54
|
можно, но вопрос не в этом. пока непонятен тип перелома
|
[
Ответить ]
|
|
Re: перелом таза
Женя 31 Март 2010, 18:33
|

Уважаемые коллеги!
Серия до- и послеоперационных снимков этой пациентки. Хотя бы post factum обсудить. Не знаю, что можно сделать с задними отделами стержневым аппаратом, но три крепких парня открытым путем с помощью "волшебных" слов еле-еле смогли отрепонировать - сзади все было очень ригидно!
|
[
Ответить ]
|
Re: перелом таза
Отправитель: Михаил 01 Апрель 2010, 01:43
|
Здравствуйте, Евгений! У меня видна только дооперационная проекция inlet.
|
[
Ответить ]
|
Re: перелом таза
Отправитель: Maxim Agalakov 12 Апрель 2010, 23:31
|
я бы остановился на передней раме, операция - 30 мин, в таком варианте вроде бы репозиция - ничего, но когда давать нагрузку, ведь в лонном сочленении тоже есть подвижность? а если не давать - зачем операция?
|
[
Ответить ]
|
|
Re: перелом таза
Mengel 24 Апрель 2010, 11:29
|
Уважаемые коллеги объясните не совсем понимаю как можно устранить и фиксировать вертикальное смешение таза с нарушением целостности заднего полукольца не понимаю к чему привязаться аппаратом для того чтобы удержать смещение я полагал что для этой цели необходима техника введения Транспедикулярного фиксатора да и на прямой проекции похоже линия перелома уходит в сустав выполнялась ли косая подвздошная косая запирательная проекции
|
[
Ответить ]
|
( Ответить )
|