ВХОД ДЛЯ ПАЦИЕНТОВ
вверх
поиск
админ
главная
исходное
|
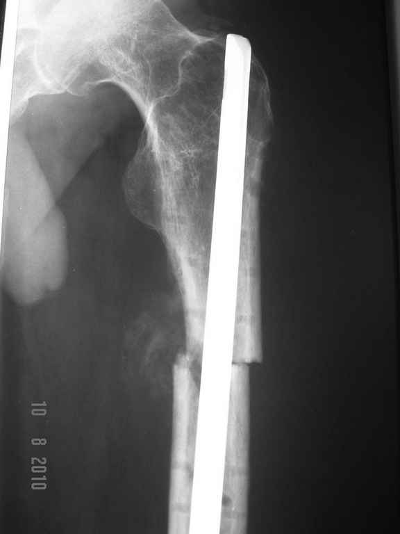
Re: Выделения из послеоперационной раны
послал Лукавин Руслан 10 Август 2010, 14:38
|

ДОбавил фото....
Условия больницы не блещут как собственно и финансовые возможности больного. Варианты типа БИОС, бусы с антибиотиками наверное так и останутся "вариантами". Пока интересует вопрос - остеомиелит? что делать?
Спасибо всем кто отписался и отпишется... жду...
|
| Послать ответ |
Обратите внимание: Поля с жирными названиями обязательны.
Старайтесь отвечать в рамках обсуждаемой темы, а не начинать новые обсуждения.
Указывайте адекватную тему сообщения, чтобы было ясно, о чем оно.
Не послайте сообщений не по теме (оффтопик), раздраженных, грубых или обидных комментариев. Здесь это неуместно.
|