Ответить
|
Re: Выделения из послеоперационной раны
Maxim Agalakov 06 Август 2010, 22:58
|
можно расценить как нагноение, рентген, посевы, СРБ
|
[
Ответить ]
|
Re: Выделения из послеоперационной раны
Djoldas Kuldjanov 08 Август 2010, 11:33
|
Непрекращающиеся послеоперационные выделения указывают на наличие гематомы, и образуется в результате нарушения гемостаза во время операции или нарушения правил послойного ушивания. Разжижающие препараты или преждевременное удаление дренажных трубок приводит к образованию гематомы. Тучные больные с ожирением также являются потенциальными кандидатами на возможные осложнения.
В начальном периоде, когда продолжаются выделения, мы обычно накладываем на рану Incisional Vac. Тот же вакуумный аппарат, который накладывается на шов, и снимается через пару дней. А потенциальным больным с развитой подкожной жировой клетчаткой вакуум устанавливается сразу после операции.
Сегодня KCI Wound Vac выпускает маленькие приборы, которые предназначены для наложения на ушитые раны.
Более чем двухнедельные не прекращающиеся серозные выделения трудно победить консервативной терапией, потому что образовавшаяся стойкая стенка продуцирует серозную жидкость, и такая рана нагнаивается вторично извне.
Срочная операция с ревизией позволит оценить место операции, и Irrigation & Debridment очистит рану и стенку. При отсутствие гноя, рану можно ушить послойно с дренажной трубкой. Главным критерием удаления дренажных трубок является уменьшение выделения до 30 мл в течение 12 часов, а обычно когда сухая рана через двое суток.
Нагноение в начальном периоде не является показанием к немедленному удалению импланта. Можно немного побороться - обработка, бусы с антибиотиком и Wound Vac (вакуумирование) очистит рану. Отрицательная культура из раны является показанием к закрытию раны.
Джолдас Кульджанов
--
Djoldas Kuldjanov, M.D.
Associate Professor
Department of Orthopedic Surgery
St. Louis University
|
[
Ответить ]
|
Re: Выделения из послеоперационной раны
Дмитрий Бондарь 09 Август 2010, 01:50
|
Доброго времени суток,коллеги! Хочется поблагодарить Джолдаса за подробный комментарий. Несколько раз возникали подобные проблемы. "промывания" и "дренирования" Не привели ни к чему, кроме вторичного инфицирования. При ревизии подобных ран обычно обнаруживал дефекты послойного ушивания и гематому.Иногда подобные проблемы возникали при нестабильном остеосинтезе (ретроспективная оценка). Как справедливо заметил Джолдас, чаще раны "сопливят у больных с развитой подкожной клетчаткой.
С уважением Д.Б.
|
[
Ответить ]
|
Re: Выделения из послеоперационной раны
Лукавин Руслан 09 Август 2010, 15:55
|
Обьем выделений уменьшился.... даже был период - сутки повязка была сухой. Но сегодня опять увидел над рано поверхностную пленку епидермиса.. и под ним - опять эта гемолизировання кровь. Выдавил около 5-10 мл... мало.. но ЕСТЬ!!! :-(
Гноя нет, повышения температуры нет, болезнености нет :-(
Стоит ли такого больного активизировать, ставить на костыли? Пока ревизию раны не рассматриваем - может прекратятся в конце-концов? В любом случае динамика какбы позитивная... хотя и очень "медленная" :-(
|
[
Ответить ]
|
Re: Выделения из послеоперационной раны
Отправитель: Михаил 09 Август 2010, 19:30
|
вообще все это похоже на лигатурный свищ. Что в анализах? почему не попробовали проконтрастировать?
|
[
Ответить ]
|
Re: Выделения из послеоперационной раны
Отправитель: Лукавин РУслан 10 Август 2010, 11:40
|
по анализам - спокойно... ничего серьезного. На счет контрастирования - выделения из точечных отверстий, или как щас - просто отслоения небольших зон эпидермиса - некуда контраст ввести.
|
[
Ответить ]
|
|
Re: Выделения из послеоперационной раны
Лукавин Руслан 10 Август 2010, 14:38
|

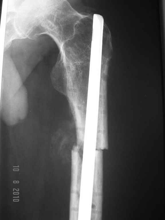
ДОбавил фото....
Условия больницы не блещут как собственно и финансовые возможности больного. Варианты типа БИОС, бусы с антибиотиками наверное так и останутся "вариантами". Пока интересует вопрос - остеомиелит? что делать?
Спасибо всем кто отписался и отпишется... жду...
|
[
Ответить ]
|
Re: Выделения из послеоперационной раны
Отправитель: Djoldas Kuldjanov 10 Август 2010, 23:44
|
Ваша категоричность в нежелании признать, что у больного имеется осложнение, и в то же время желание лечить остеомиелит, приводит к непониманию.
Не проще ли сейчас сделать все необходимое ради предупреждения осложнения, чем лечить остеомиелит, тем более ни в больнице, а также у больного, нет средств.
Остеомиелит выжиданием не лечат, надо действовать хотя бы теми средствами, что имеются под рукой.
При подозрениях на осложнение бактериальные посевы из ран являются обязательными, и, считаю, пустая трата средств, когда без данных результатов назначаются антибиотики.
Вместо повязки из салфетки, компрессирующая повязка на конечность, в виде тутора, так называемый Robert Johnеs Bulky Dressing, лучше поможет уменьшить выделения созданием давления между мышцами.
Намокшая повязка на клиническом снимке напоминает более серозную картину, чем лигатурный свищ. Рекомендуется ревизия раны, и если вы продолжаете оставаться категорично против такой тактики, тогда хотя бы сделать вакуумную повязку.
Функция самодельных вакуумных устройств с малым отсосом (аквариумным) не будет хуже оригинальной. Вакуум заменит ежедневные перевязки и сделает профилактику от инфицирования. (снимки самодельных вакуумных приспособлений были опубликованы неоднократно на страницах сайта)
Здесь, мне кажется, не только осложнение послеоперационной раны, а также имеется технические погрешности установки гвоздя. Трохантерная точка введения гвоздя является идеальной для антеградных гвоздей, но такие гвозди имеют изгиб в 4-5 градусов. Повело в варус за счет трансляции на диафизе, а также имеется подозрение на ротацию.
При желании, любой интрамедуллярный гвоздь с помощи пары шурупов в гвоздь или мимо гвоздя можно превратить в блокирующую конструкцию. Более стабильная конструкция дает лучше возможности ранней активности и нагрузки.
Поперечные переломы более стабильные в нагрузке, и учитывая, что с момента операции прошло не менее трех недель, сейчас можно разрешить полную нагрузку.
Djoldas Kuldjanov, M.D.
Associate Professor
Department of Orthopedic Surgery
St. Louis University
|
[
Ответить ]
|
|
Re: Выделения из послеоперационной раны
Лукавин Руслан 11 Август 2010, 00:42
|
Ув. Djoldas Kuldjanov
Большое спасибо за коментарий. Вы правы - смотрю на рану на перевязке и хочется верить в чудо :-( Но... оставим это в стороне.
1)Есть первые результаты посева. Дословно что услышал - есть грамотрицательные палочки. Подозреваю что имеется ввиду E.coli. Через пару дней будет результат посева флоры на чувствительность - тогда обязательно добавлю а/б
2)На счет ревизии раны - тоже склоняюсь к этой версии - некоторые коллеги почти уверены что там или часть резинового дренажа, или салфетка... или просто лигатура.
3)На счет полной нагрузки - больной готов... я - не очень. Это не усложнит течение процесса?
4)И еще - если без ревизии раны - ума не приложу куда воткнуть вакуумный дренаж - достаточно крупного отверстия то нет :-( Завтра попробую более активно сделать перевязку - уберу все лишнее, промою рану под давлением...
P.S. Опыта у меня немного, но как-то остеомиелиты не так начинались :-(
|
[
Ответить ]
|
Re: Выделения из послеоперационной раны
Лукавин Руслан 12 Август 2010, 14:29
|
Сделали фистулографию - контраст идет к кости и поднимается к вертельной зоне. :-( Явного остеомиелита кости пока нет.
|
[
Ответить ]
|
Re: Выделения из послеоперационной раны
Лукавин Руслан 12 Август 2010, 20:05
|
Пришел результат посева
Pseudomonas putida - разновидность синегнойной палочки.
Чувствительно только к Полимиксинам и Сульперазол. Полимиксинов уже "100 лет" никто в аптеках не видел (так мне ответили в апетчном складе). Сульперазол - завтра должны купить (в больнице нет). Думаю еще добавлю Метронидазол.
По остальным антибиотикам - нечувствительна... даже к Мерипенему :-(
|
[
Ответить ]
|
Re: Выделения из послеоперационной раны
Альберт Гиздетдинов 12 Август 2010, 23:08
|
По описанию состояния пациента и раны, в любом случае, независимо от посева, стоит перейти к активным хирургическим вмешательствам - ревизии раны. Ну а далее, по обстоятельствам, возможно и удаление конструкции с переходом на внеочаговую фиксацию.
|
[
Ответить ]
|
( Ответить )
|
|