AOTRAUMA.ORG Центр Илизарова  

Ортопедия и травматология Общие вопросы/General questions Help Информационные технологии в медицине
 вверх
 отправить
 поиск
 админ
 главная
 Предыдущее
 Весь тред


Re: rami nonunions
dan schlatterer 16 Октябрь 2010, 01:50
Dr. Routt,
Thank you very much. I was hoping you would weigh in on this case. I will keep you posted on her progress. at this point she wants to think about ssurgery a bit more. your email was very helpful in my conversation with her this morning. much appreciated, thanks again.
dan

Daniel R. Schlatterer, DO, MS
Vice Chairman, Orthopedic Surgery Residency Program
Atlanta Medical Center
  • Сообщения о Ортопедия и травматология
  • Также dan schlatterer
  • Связаться с автором
  • Ответить

    Re: rami nonunions
    Milton L. Routt 16 Октябрь 2010, 13:51
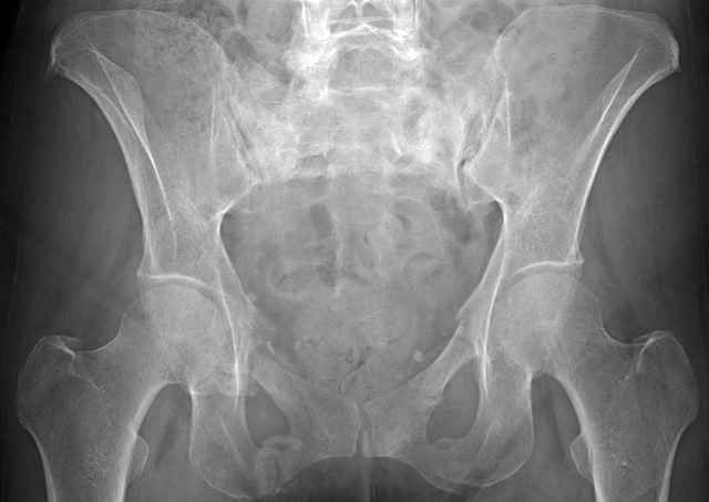
    Here are a recent patient’s example slides...




    54 yo Female Fell c/o Pain
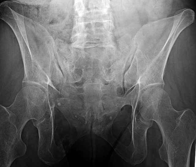
    Initial Films
    ?Instability on Exam - Limited by Pain
    NonOp Initial Mgmt



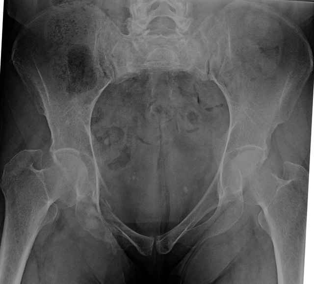
    3 Months After Fall
    Continued Pain & Immobility
    (+) Instability to Compressive Manual Exam



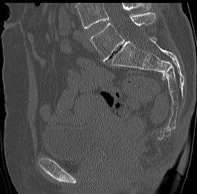
    Pelvic CT Scan - 3 Months After Fall
    Sacral Injuries
    Ramus Fractures




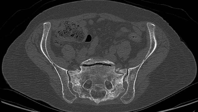
    Percutaneous Fixation
    (B) Ramus-Retrograde
    2 TransIliac-TransSacral
    Upper Segment

    mlcr

    [ Ответить ]


    ( Ответить )

    Powered by Zope  Squishdot Powered MedLink
    Посетитель: 0111676
      "По форме правильно, а по существу - издевательство" В.И.Ленин
    ©2001-2019Orthoforum Coordinator.
    [ Главная | Отправить сообщение | Поиск | Админ ]