AOTRAUMA.ORG Центр Илизарова  

Ортопедия и травматология Общие вопросы/General questions Help Информационные технологии в медицине
 вверх
 отправить
 поиск
 админ
 главная
 Предыдущее


Re: сложный случай протезирования
Alexander Vinogradsky 07 Декабрь 2010, 00:08


Был у нас подобный случай
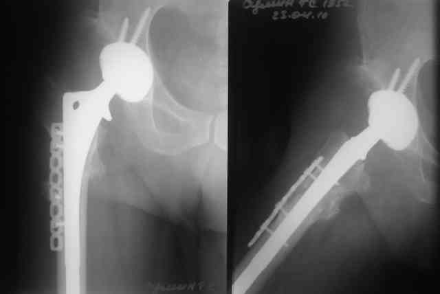
Выполнена одномоментная коррекция деформации, эндопротезирование DePyu Pinnacle-AML. Пластинка с деротационной целью. При использовании ножки с прямоугольным сечением, думаю, можно и без нее.
  • Сообщения о Ортопедия и травматология
  • Также Alexander Vinogradsky
  • Связаться с автором
  • Ответить

    Re: сложный случай протезирования
    Maxim Agalakov 07 Декабрь 2010, 00:13
    об этом и писал с-но

    [ Ответить ]

    • Re: сложный случай протезирования
      Отправитель: Rashid Tikhilov 07 Декабрь 2010, 00:19
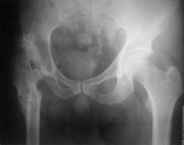
      Уважаемые коллеги, без Р-граммы таза нельзя рекомендовать что-н.конкретно, представьте себе, что второй сустав находится в анатомическом положении,тогда позиция шейки протеза на оперируемой стороне будет примерно на уровне малого вертела, и тогда вам придется так укоротить б/вертел, что вы можете остаться без него.... Это очень не простые операции и нельзя без оценки всего таза что-н.советовать, во всяком случае мне так кажется
      С ув.Р.Тихилов

      [ Ответить ]
      • Re: сложный случай протезирования
        Отправитель: Maxim Agalakov 07 Декабрь 2010, 20:11
        у пациента - эти проблемы с детства, потому по-нашему скромному опыту, лучше сохранить, некоторое укорочение, чтоб не произошел срыв компенсации, например на уровне позвоночника. Конечно же планировать нужно по нормальным снимкам.


        [ Ответить ]

     

    ( Ответить )

    Powered by Zope  Squishdot Powered MedLink
    Посетитель: 0390274
      "По форме правильно, а по существу - издевательство" В.И.Ленин
    ©2001-2019Orthoforum Coordinator.
    [ Главная | Отправить сообщение | Поиск | Админ ]