AOTRAUMA.ORG Центр Илизарова  

Ортопедия и травматология Общие вопросы/General questions Help Информационные технологии в медицине
 вверх
 отправить
 поиск
 админ
 главная
 Предыдущее


Re: перипротезный перелом
Alexander Chelnokov 21 Февраль 2011, 14:12





















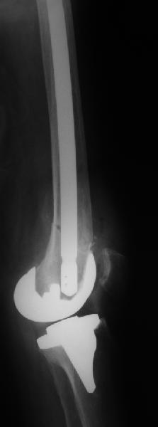
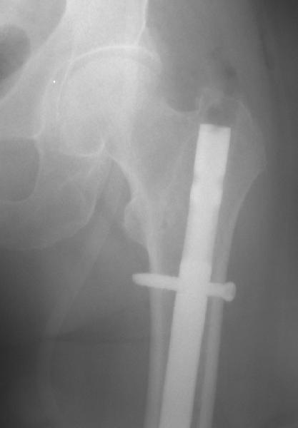
То, что планируется - наиболее распространенный подход. Еще менее инвазивный вариант - закрытый антеградный интрамедуллярный остесинтез. Мы используем гвозди, которые выпускаются предприятием ЦИТО, т.е. недорогие. Там в дистальное отверстие можно ввести 3 винта (2 снаружи и один навстречу), еще и угловая стабильность получается.
  • Сообщения о Ортопедия и травматология
  • Также Alexander Chelnokov
  • Связаться с автором
  • Ответить

    Re: перипротезный перелом
    Александр 19 Апрель 2011, 19:56
    Александр Николаевич, сколько у вас таких клиентов? Каковы исходы? Только ли ЦИТОвские стержни использовали? Были ли с неправильно сросшимися переломами? У меня есть 2 клиента. Только переломы срослись у одного с вальгусом у другого с варусом. Планирую ту же схему через остеотомию.
    [ Ответить ]

    • Re: перипротезный перелом
      Отправитель: Alexander Chelnokov 20 Апрель 2011, 00:15
      сколько у вас таких клиентов? Каковы исходы?


      Больше 10 уже. Были 1 механическая неудача (сломалась очень тонкая ножка) и 1 глубокая инфекция.


      Только ли ЦИТОвские стержни использовали?


      Приходится индивидуально делать под конкретную ножку, с предпритием ЦИТО это получается за несколько дней и недорого.

      Были ли с неправильно сросшимися переломами? У меня есть 2 клиента. Только переломы срослись у одного с вальгусом у другого


      Были пока только переломы и несращения. С деформациями как-то не попадались пока.
      Нам каждый случай интересен, так что давай созвонимся-спишемся, возможно, получится что-то совместно сделать.

      [ Ответить ]

     

    ( Ответить )

    Powered by Zope  Squishdot Powered MedLink
    Посетитель: 0180128
      "По форме правильно, а по существу - издевательство" В.И.Ленин
    ©2001-2019Orthoforum Coordinator.
    [ Главная | Отправить сообщение | Поиск | Админ ]