Ответить
|
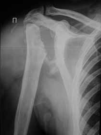
Re: Лизис костей плечевого сустава
Ostanin 19 Март 2011, 00:41
|
Не хронический остеомиелит? онко-протез 2полюсный, после санации?
|
[
Ответить ]
|
Re: Лизис костей плечевого сустава
Djoldas Kuldjanov, M.D. 19 Март 2011, 02:03
|
Несколько лет назад информация по поводу беcпричинного массивного остеолиза в плечевом сустава была выставлена на ОртоФоруме. Возможно, я ошибаюсь, но описанная клиника больше подходит к редкой болезни Gorham’s disease. Заболевание имеет множество синонимов, но главным симптомом заболевания является характерное разрушение и резорбция кости. В зависимости от клинических проявлении лечение различается, от лучевой терапии до анти остеокластических (bisphosphonate), а также alpha-2b-interferon.
Поэтому будьте внимательны, прежде чем предлагать методы лечения, сперва необходимо провести дифференциальную диагностику со множественными сходными состояниями или сделать хотя бы обычные снимки. Компьютерное Томографическое Исследование также поможет найти причину исчезновение кости и замены сосудистой структурой.
Djoldas Kuldjanov, M.D.
|
[
Ответить ]
|
Re: Лизис костей плечевого сустава
Отправитель: Djodas Kuldjanov 19 Март 2011, 11:07
|
Не усмотрел в анамнезе "ноябре 2009 - травма с потерей сознания. В феврале 2010 г - первый рентген правого плечевого сутава - перелом анатомитеской шейки".
Все таки "The first is characterized by vascular proliferation in connective tissue, which is consistent with hemangiomatosis and the second by replacement of the resorbed bone by fibrous tissue" Massive Osteolysis of the Hip: Gorham’s Disease by Panagiotis Stavlas, MD; Vassiliki Katsiva, MD; Yiannis Kouvaras, MD
Поэтому желательно выставить все рентгенологические и данные МРТ для сравнения со снимками из статьи.
Djoldas Kuldjanov, M.D.
Associate Professor
Department of Orthopedic Surgery
St. Louis University
|
[
Ответить ]
|
|
Re: Лизис костей плечевого сустава
Андрей Каминский 19 Март 2011, 16:49
|
Думаю, коллеги будут не против увидеть рентген.
Каминский А.
|
[
Ответить ]
|
Re: Лизис костей плечевого сустава
Игорь Девин 19 Март 2011, 16:52
|
Нужна открытая биопсия. будет саркома.
И.Девин
|
[
Ответить ]
|
Re: Лизис костей плечевого сустава
Отправитель: Чирков Николай 20 Март 2011, 02:45
|
Извиняюсь, что-то фотографии сразу не прошли. сейчас исправимся.

|
[
Ответить ]
|
|
Re: Лизис костей плечевого сустава
Женя 20 Март 2011, 17:34
|
Наверное это сирингомиелитическая артропатия. Наблюдал пяток таких пациентов за почти 30 лет, диагноз сирингомелии подтверждался неврологами. Лечили симптоматически - пункция, введение ГК-гормонов до 3-х раз, НПВП, физио. Достигали хорошего эффекта в плане купирования боли, экссудации и, даже, получали удовлетворительный объем движений. Как-то, далее все исчезли из поля зрения - исцелились?:)
|
[
Ответить ]
|
Re: Лизис костей плечевого сустава
Лапидус Дмитрий 20 Март 2011, 19:36
|
При сирингомиелитической артропатии, как правило, нет болевого синдрома.
|
[
Ответить ]
|
Re: Лизис костей плечевого сустава
Отправитель: Женя 22 Март 2011, 16:38
|
Собственно болевой синдром и ограничение движений приводили пациентов к нам.
|
[
Ответить ]
|
|
Re: Лизис костей плечевого сустава
Чирков Николай 22 Март 2011, 07:11
|
А может кто знает, есть ли какие-нибудь конструкции или способы для восстановления суставного отростка лопатки?
|
[
Ответить ]
|
Re: Лизис костей плечевого сустава
Отправитель: в.в. 26 Март 2011, 22:01
|
похоже на сирингомиелию, но должно быть выпадение чувствительности.Встречал таких пациентов, даже делал артроскопию плечевого сустава(лаваж)без анестезии.А как показатели крови? Необходимо мрт позвоночника, для сирингомиелии характерная картина.
|
[
Ответить ]
|
|
Re: Лизис костей плечевого сустава
Чирков Николай 01 Апрель 2011, 00:00
|
Все таки мы решили, что это посттравматичкский аваскулярный некроз. Принято волевое решение выполнить гемиартропластику. На операции: выраженная гипертрофия стенок субакромиальной бурсы. Она была раздута, на операции произведено ее вскрытие, эвакуировано 450 мл суставной геморрагической жидкости. По возможности бурса максимально иссечена, хотели промыть спиртовым расствором хлоргексидина, но побоялись. Вращ манжета - остатки ее найдены в задних отделах сустава, прикрепленные к большому бугорку. малого бугорка и сухожилия подлопаточной мышцы найдено на месте не было. нашли конечно, что-то похожее на сухожилие подлопаточной мышцы и пришили к кости, но я до конца не уверен. полость была дренирована. Сегодня 3 сут после операции - сустав отечен, из дренажа за сутки выделяется около 250 мл геморрагической жидкости. Однако это уже меньше чем в первые дни. Получает НПВС: нимулид по 1т 2 раза и диклофенак 1,0 в/м в сут. Вне зависимости от исхода, постараюсь рассказать об этом в следующих сообщениях. У кого есть мысли по этому, буду очень рад.
|
[
Ответить ]
|
( Ответить )
|