AOTRAUMA.ORG Центр Илизарова  

Ортопедия и травматология Общие вопросы/General questions Help Информационные технологии в медицине
 вверх
 отправить
 поиск
 админ
 главная
 Предыдущее


Re: Неправильно срастающийся оскольчатый перелом бедра
Alexander Chelnokov 06 Апрель 2011, 01:34
А чего ждать? Надо возвращать человека к нормальной жизни чем раньше, тем лучше.
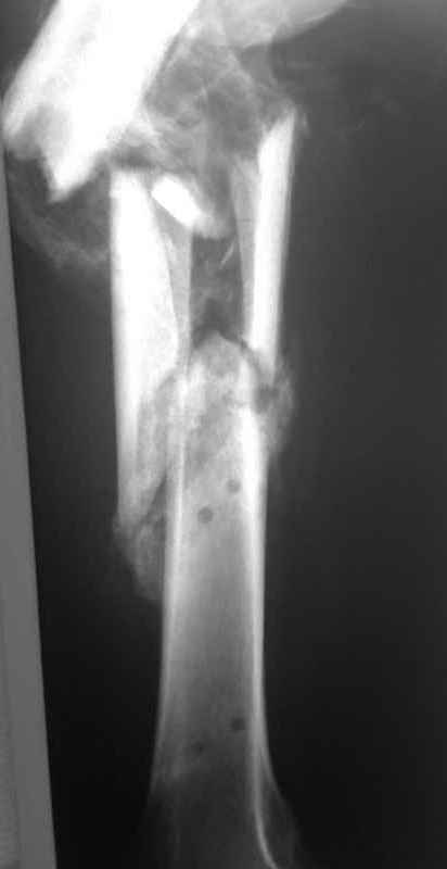
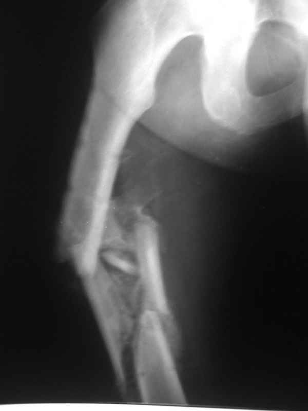
Конечно, снимки для планирования надо нормальные, не такой огрызок.
Можно закрыто мобилизовать отломки, наложить дистракционный аппарат, восстановить ось и длину, да и заштифтовать, на всякий случай с антибиотиковым цементным покрытием.
  • Сообщения о Ортопедия и травматология
  • Также Alexander Chelnokov
  • Связаться с автором
  • Ответить

    Re: Неправильно срастающийся оскольчатый перелом бедра
    Сергей Дукер 06 Апрель 2011, 13:40



    R

    [ Ответить ]

    • Re: Неправильно срастающийся оскольчатый перелом бедра
      Отправитель: Alexander Chelnokov 06 Апрель 2011, 20:10
      Спасибо за снимки. Предложения по тактике прежние.

      [ Ответить ]
      • Re: Неправильно срастающийся оскольчатый перелом бедра
        Отправитель: Андрей 11 Апрель 2011, 00:10
        Уважаемый Alexander Chelnokov!
        Вы думаете, что в данной ситуации возможна закрытая мобилизация?


        [ Ответить ]
        • Re: Неправильно срастающийся оскольчатый перелом бедра
          Отправитель: Alexander Chelnokov 11 Апрель 2011, 04:16
          Попробовать-то можно. И просто руками "об колено", а то и наложить аппарат, приложить флексионные и ротационые усилия прямо за разъединенные секции.
          Если уж никак, то сделать чрескожную остеотомию.
          Но если картинки недавние, IMHO должно получиться закрыто разобщить.

          [ Ответить ]

     

    ( Ответить )

    Powered by Zope  Squishdot Powered MedLink
    Посетитель: 0412173
      "По форме правильно, а по существу - издевательство" В.И.Ленин
    ©2001-2019Orthoforum Coordinator.
    [ Главная | Отправить сообщение | Поиск | Админ ]