ВХОД ДЛЯ ПАЦИЕНТОВ
вверх
поиск
админ
главная
исходное
|
Re: Ведение больных после синтеза лонного сочленения
послал Djoldas Kuldjanov 16 Апрель 2011, 09:25
|
Рецидив смещения - признак несостоятельности фиксации. В первую очередь из-за ранней нагрузки, или когда имеется нестабильность в тазовом кольце. При повреждениях транссакральных структур сзади, фиксация переднего полукольца-симфиза облегчает репозицию, но не гарантирует стабильность. Нестабильное тазовое кольцо ранее или поздно срывает фиксацию симфиза.
Не знаком с технологией фиксации лавсановыми лентами, наверное местный бренд, хотя в начале карьеры приходилось наблюдать фиксацию симфиза серкляжной металлической лентой. Для проведения ленты надо было расширить доступ вниз и имеется риск что-то зажать в форамене. Потом узел серкляжа сидит на лобке, вызывает “некоторые трудности” у активных худощавых молодых пациентов.
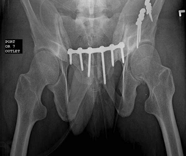
Реконструктивные пластины слабые, и для усиления необходимо установить дополнительную верхнюю пластину или оставить передний наружный фиксатор. Предпочтительным для фиксации считаю специальную для симфиза жесткую пластину из набора Joel Matta (Stryker), которая лучше, чем остальные, создает жесткость.
Подробное изучение инлет и оутлет, а также КТ срезов, поможет разобраться в диагностике. Без обследования случай усложнится. Операция непростая, кроме технических навыков, надо иметь стандартные инструменты для операции.
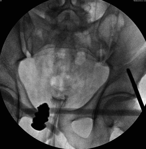
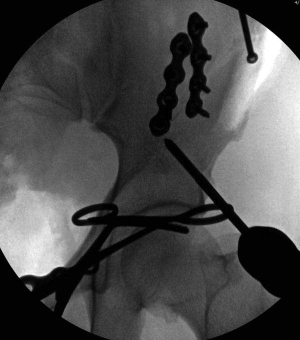
Здесь представлен случай 38 летнего больного (падение с высоты 9 метров) с нарушением тазового кольца. При поступлении для стабилизации передне-нижний аппарат наружной фиксации и на 6й день, вчера, операция из двух доступов.
Наружные фиксаторы создают не только стабильность костей таза, а также в экстренных случаях помогают уменьшить обьем таза в профилактике кровотечения!
Представлены снимки техники проведения стержней. Через место прикрепления прямой мышцы в Inferior Iliac Spine в направления вырезки создается жесткость. Weber clamp изнутри таза для репозиции, и фиксация после репозиции перелома крыла подвздошной кости. Наружный аппарат удален, нагрузка предполагается через два месяца.

Djoldas Kuldjanov, M.D.
Associate Professor
Department of Orthopedic Surgery
St. Louis University
|
| Послать ответ |
Обратите внимание: Поля с жирными названиями обязательны.
Старайтесь отвечать в рамках обсуждаемой темы, а не начинать новые обсуждения.
Указывайте адекватную тему сообщения, чтобы было ясно, о чем оно.
Не послайте сообщений не по теме (оффтопик), раздраженных, грубых или обидных комментариев. Здесь это неуместно.
|