Ответить
|
Re: Ведение больных после синтеза лонного сочленения
Maxim Agalakov 10 Апрель 2011, 20:46
|
Снимки выложите, желательно все, но хотя бы фас и inlet
|
[
Ответить ]
|
Re: Ведение больных после синтеза лонного сочленения
Алексей 10 Апрель 2011, 21:03
|
покажите снимки? сколько весит пациент?
повторный синтез я бы подстраховал аппаратом
|
[
Ответить ]
|
Re: Ведение больных после синтеза лонного сочленения
Михаил 11 Апрель 2011, 12:37
|
Повторно пластина+АВФ типа "передняя рама". И разрешайте нагрузку.
|
[
Ответить ]
|
Re: Ведение больных после синтеза лонного сочленения
Отправитель: Anatoly lazarev 13 Апрель 2011, 23:47
|
Повторная операция: если уж использовать аппарат, лучше сделать пластику симфиза мерсиленовой лентой 5 мм шириной по типу шнуровки с перекрестом через два отверстия в вертикальных ветвях лобковых костей - не надо будет потом убирать пластину.
ЛАФ
|
[
Ответить ]
|
|
Re: Ведение больных после синтеза лонного сочленения
Е.В. 13 Апрель 2011, 13:59
|
Ув.коллега.
Синтез лавсановой лентой через f.Obturat. ИМХО может вызвать перелом сам по себе, поскольку стабильности Вы никоим образом не достигните.
В нынешней ситуации дополнительно фиксация АНФ "передняя рама", при избыточном весе пациента по фиксация АНФ по методике Уральского научно-исследовательского института травматологии и ортопедии
С ув. Е.В.
|
[
Ответить ]
|
Re: Ведение больных после синтеза лонного сочленения
Djoldas Kuldjanov 16 Апрель 2011, 09:25
|
Рецидив смещения - признак несостоятельности фиксации. В первую очередь из-за ранней нагрузки, или когда имеется нестабильность в тазовом кольце. При повреждениях транссакральных структур сзади, фиксация переднего полукольца-симфиза облегчает репозицию, но не гарантирует стабильность. Нестабильное тазовое кольцо ранее или поздно срывает фиксацию симфиза.
Не знаком с технологией фиксации лавсановыми лентами, наверное местный бренд, хотя в начале карьеры приходилось наблюдать фиксацию симфиза серкляжной металлической лентой. Для проведения ленты надо было расширить доступ вниз и имеется риск что-то зажать в форамене. Потом узел серкляжа сидит на лобке, вызывает “некоторые трудности” у активных худощавых молодых пациентов.
Реконструктивные пластины слабые, и для усиления необходимо установить дополнительную верхнюю пластину или оставить передний наружный фиксатор. Предпочтительным для фиксации считаю специальную для симфиза жесткую пластину из набора Joel Matta (Stryker), которая лучше, чем остальные, создает жесткость.
Подробное изучение инлет и оутлет, а также КТ срезов, поможет разобраться в диагностике. Без обследования случай усложнится. Операция непростая, кроме технических навыков, надо иметь стандартные инструменты для операции.
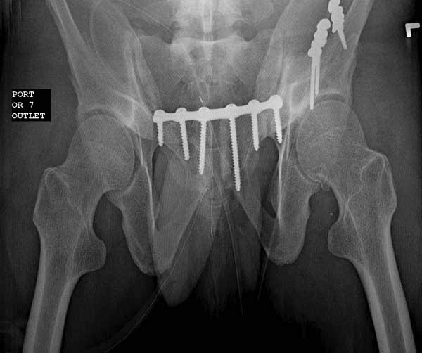
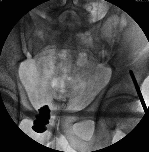
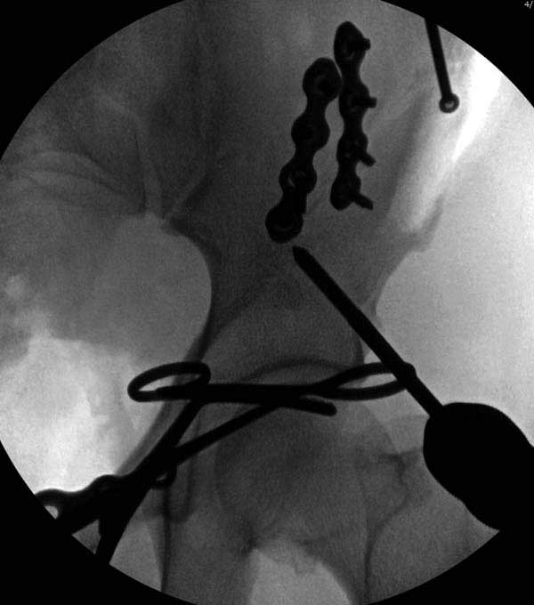
Здесь представлен случай 38 летнего больного (падение с высоты 9 метров) с нарушением тазового кольца. При поступлении для стабилизации передне-нижний аппарат наружной фиксации и на 6й день, вчера, операция из двух доступов.
Наружные фиксаторы создают не только стабильность костей таза, а также в экстренных случаях помогают уменьшить обьем таза в профилактике кровотечения!
Представлены снимки техники проведения стержней. Через место прикрепления прямой мышцы в Inferior Iliac Spine в направления вырезки создается жесткость. Weber clamp изнутри таза для репозиции, и фиксация после репозиции перелома крыла подвздошной кости. Наружный аппарат удален, нагрузка предполагается через два месяца.

Djoldas Kuldjanov, M.D.
Associate Professor
Department of Orthopedic Surgery
St. Louis University
|
[
Ответить ]
|
Re: Ведение больных после синтеза лонного сочленения
Гребнев Артем 16 Апрель 2011, 20:45
|
Уважаемый проф. Djoldas Kuldjanov,подскажите насколько стабильна фиксация в аппарате при таком характере перелома? Ведь линия перелома проходит через крыло и тело подвздошной кости и учитывая повреждение переднего полукольца формируется "свободный костный сектор". Как то я зафиксировал подобный перелом так же аппаратом на 2-х стержнях, однако получил замечание коллег на нестабильность фиксации. Предложили вариант с введением стержней в задние структуры с замыканием на переднюю раму (модификация аппарата это позволяет). Хотелось бы услышать Ваше мнение.
И к этой же тематике: как Вы поступаете при сопутствующих повреждениях вертлужной впадины - скелетное вытяжение, монтаж дополнительной рамы на бедро и замыкание с рамкой на таз с тракцией по оси? Всегда ли это необходимо делать?
Спасибо!
|
[
Ответить ]
|
Re: Ведение больных после синтеза лонного сочленения
Отправитель: Нудельман Павел 19 Апрель 2011, 16:59
|
Присоединяюсь к вопросу д-ра Гребнева. "Tile C translational injuries with complete instability cannot be sufficiently controlled with an anterior frame alone. If a C-clamp is unavailable or not applicable (posterior iliac fracture), then in addition to an anterior frame, supracondylar femoral traction with 25 lb can be used with the hip slightly flexed to improve posterior and superior displacement." (Master Techniques in Orthopaedic Surgery; Fractures, 2nd ed). Очевидно что дефинитивная операция будет тем проще чем анатомичнее будут стоять отломки. На мой взгляд, причина ограниченного использования скелетного вытяжения в таких случаях - его невысокая эффективность для репозиции. Хотелось бы узнать Ваше мнение. Спасибо!
|
[
Ответить ]
|
|
( Ответить )
|