AOTRAUMA.ORG Центр Илизарова  

Ортопедия и травматология Общие вопросы/General questions Help Информационные технологии в медицине
 вверх
 отправить
 поиск
 админ
 главная
 Предыдущее


Re: Боль после эндопротезирования
Батал Шушания 04 Май 2011, 00:27
Хочу доложить, недавний случай.
Пациент 60 лет, мужчина. Оперирован в 2007 году, поочередно оперированы два тазобедренных сустава с интервалом в 4 месяца. В 2008 году оперирован на сердце(аорто-коронарное шунтирование).Операция осложнилась инфицированием операционной раны в области грудины, лечился в гнойном отделении.
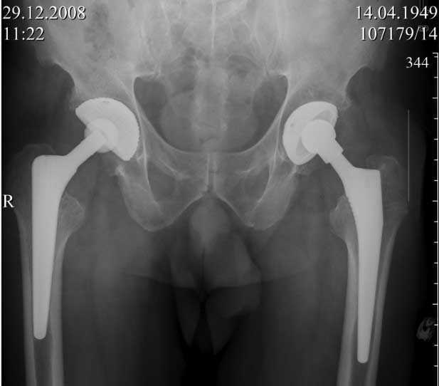
В конце 2008 года отметил боли в правой паховой области при опоре на правую ногу. На рентген снимках таза с тазобедренными суставами явных признаков нестабильности вертлужного компонента не обнаружено. В 2009 году нейрохирурги его "успешно" прооперировали на L\3-\4 связывая болевой синдром в правой паховой области с наличием грыжи указанного межпозвонкового диска. Состояние только ухудшилось, больной уже не мог долго сидеть, боль прогрессировала . Его в 2009 и 2010 годах смотрел ортопед, делались рентгенснимки, но почему то приходили к выводу что эндопротез справа стабилен. В марте 2011 года я впервые увидел его, через одну неделю после этого был прооперирован. На операции вертлужный компонент при упоре на него инструментом прокручивался во впадине и без труда был извлечен.
Эндопротез Ножка Cerafit компании Ceraver- чашка той же компании.
Расшорошили вертлужную впадину (дебридмент) Заменили чашку,учитывая невозможность полностью исключить инфекционный генез нестабильности, установили вертлужный компонент цементной фиксации (цемент с ванкомицином), поменяли головку из-за изменившихся взаимоотношении между бедренным компонентом и новой чашкой. Рану зашили наглухо. Провели антибактериальную терапию Кубицином. Выписали на 10 сутки после операции. Болевой синдром купирован, пациент радостный, уехал к себе в Калугу. Приедет на контрольный осмотр через месяц.
ниже снимок в 2008 году
далее снимок в 2009 году
далее снимок у меня на приеме



при этом, у этого пациента была СОЭ 20 мм в час, лейкоциты и формула лейкоцитарная в норме. Можно было пунктировать сустав, но мы этого не сделали и оказались правы: при вскрытии сустава на операции, сустав был сухой и жидкость для посева мы бы не получили.
Но все же, мы провели его лечение как инфицированного, учитывая анамнез: нагноение операционной раны грудины, после операции на сердце. К тому, боли в правом тазобедренном суставе он отметил после осложненной операции на сердце.



  • Сообщения о Ортопедия и травматология
  • Также Батал Шушания
  • Связаться с автором
  • Ответить

    Re: Боль после эндопротезирования
    Maxim Agalakov 05 Май 2011, 19:29
    На заключительных снимках явная нестабильность чашки и вероятная ножки, возможно на повторный прием придет не столь радостный (пессимистический прогноз) надеюсь, что все будет по-другому
    [ Ответить ]

    • Re: Боль после эндопротезирования
      Отправитель: Батал Шушания 11 Май 2011, 00:49
      Нет вы не поняли! Вы поспешили с выводом! Я не смог выслать окончательный, послеоперационный снимок, по техническим причинам. Я это сделал позже, что Вы и видите ниже! Извините, если я Вас запутал!
      С последним, третьим снимком он ко мне и обратился, после чего он был и прооперирован на правом тазобедренном суставе!
      С уважением Шушания Б.

      [ Ответить ]
    Re: Боль после эндопротезирования
    Светлана 30 Декабрь 2015, 23:08
    у меня СОЭ 01.12.15- 43 Нв 91
    09.12.15 41 Нв 90
    22.12.15 -46 Нв 111 принимала антибиотики обезбаливющее и сейчас еще хуже болит уже снова взяла костыли с Вами по скайпу можно поговорить? e vtyz d 2008 было ДТП я за рулем и мотор вьехал в колени и пошло--- собирали всю СЛАВА БОГУ летом 2015 летала как в 18лет сейчас как 60 родилась 1970 боль в паху периодами беспокоит снимки сказали нормальные а откуда СОЭ 46-?? и боль что без костыля идти не могу особенно первые 4 шага а потом легче.
    [ Ответить ]


    ( Ответить )

    Powered by Zope  Squishdot Powered MedLink
    Посетитель: 0410019
      "По форме правильно, а по существу - издевательство" В.И.Ленин
    ©2001-2019Orthoforum Coordinator.
    [ Главная | Отправить сообщение | Поиск | Админ ]