AOTRAUMA.ORG Центр Илизарова  

Ортопедия и травматология Общие вопросы/General questions Help Информационные технологии в медицине
 вверх
 отправить
 поиск
 админ
 главная


Непростой случай с бедрами.
Ортопедия и травматология Отправлено Миронов Андрей 13 Июнь 2011, 21:10
На лечении находится пациент с тяжелой сочетанной травмой. На сегодняшний день встал вопрос о тактике лечения переломов бедер( по месту жительства бедрами не занимались).
Пациенту 22 года. Травма в июле 2010г, лечился в районной больнице. К нам попал в апреле 2011г.Тяжелая сочетанная травма (29.07.2010): тупая травма живота с повреждением внутренних органов. Закрытая травма грудной клетки с переломом ребер. Пневмоторакс справа. Тяжёлая позвоночно-спинномозговая травма. Закрытый осложнённый переломо-вывих С5 позвонка. Верхний парапарез, нижняя параплегия, нарушение функции тазовых органов по типу недержания. Цекостома. Пролежень левой ягодичной области. Неправильно консолидированные переломы верхних третей обеих бедер. Застарелый вывих левого бедра.Осложнение: Поддиафрагамльный абсесс слева, забрюшинного пространства. Свищ желудка и ободочной кишки. Синегнойный сепсис. Двухстороняя пневмония. Но это уже анамнез.Пациент был неоднократно оперирован на органах брюшной полости и осложнениями с ними связанными.
И с таким букетом переведен к нам.
04.05.11 выполнена операция Ламинэктомия С5, С6 позвонков.Резекция тел С5, С6 позвонков. Спондилодез С4-7 имплантатом из пористого никелида титана + передняя фиксирующая пластина.Действующая цекостома. Закрывать цекостому пока хирурги не будут(учитывая предшествующие проблемы с животом)

В настоящее время состояние больного удовлетворительное, по анализам компенсирован, не температурит.

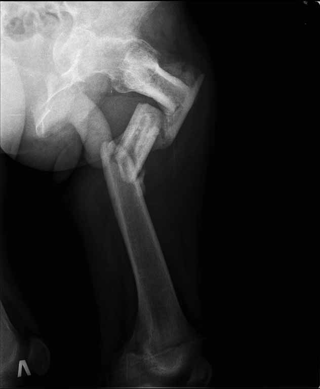
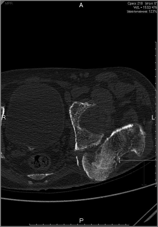
В ягодичной области слева глубокий пролежень размером 2х2см, дном является вывихнутая головка бедра. Неврологически в нижних конечностях динамика положительная, появились движения в правой стопе, чувствительность в стопах.По переломам бедер: подвижности в местах переломов нет, снимки высылаю.

Уважаемые коллеги, помогите определиться с оптимальной тактикой в лечении перелома бедер. Степень оснащенности у нас достаточная (аппараты, штифты, пластины, ЭОП).

Планирую начать с правого бедра, ЧКО таза (передняя рама) с фиксацией бедра. О/клазия места перелома правого бедра и устранение грубых смещений в аппарате. окончательно можно оставить и в аппарате. Далее аппаратное устранение вывиха левого бедра.

Жду ваших комментариев , советов.Заранее спасибо. Андрей.

<  |  >

 

  • Сообщения о Ортопедия и травматология
  • Также Миронов Андрей
  • Связаться с автором
  • Ответить

    Re: Непростой случай с бедрами.
    Maxim Agalakov 15 Июнь 2011, 00:04
    Мне кажется, что нудно начать с резекции головки левого бедра (как минимум - вы устраните очаг хр. инфекции) далее заниматься закрытием стом и правой стороной (судя по неврологической динамике).К левой стороне можно вернуться позже, если понадобится.
    [ Ответить ]


    ( Ответить )

    Powered by Zope  Squishdot Powered MedLink
    Посетитель: 0174830
      "По форме правильно, а по существу - издевательство" В.И.Ленин
    ©2001-2019Orthoforum Coordinator.
    [ Главная | Отправить сообщение | Поиск | Админ ]