AOTRAUMA.ORG Центр Илизарова  

Ортопедия и травматология Общие вопросы/General questions Help Информационные технологии в медицине
 вверх
 отправить
 поиск
 админ
 главная
 Предыдущее
 Весь тред


Re: Некорректная установка
Alexander Chelnokov 03 Сентябрь 2011, 16:19
Приветствую,

2 сентября 2011 г. 1:54 пользователь Volodymyr Kovalchuk написал:

Еще один очень важный нюанс при лечении диафизарных переломов бедра и голени - это лигаментотаксис.


При диафизарных переломах нет необходимости в лигаментотаксисе, то есть тяге за связки через сустав, тракционное усилие целесообразно прикладывать непосредственно к концам поврежденного сегмента.



Простыми словами, перелом нужно достаточно растянуть. Нам известно три способа как это сделать:


Есть возможность использовать дистрактор из полуколец и дуг аппарата Илизарова, которые крепятся к спицам.



следить за ротацией. Мышечно-фасциальные футляры во время тракции восстановят правильные соотнешения, если только нет интерпозиции.


Мышечная интерпозиция после восстановления длины с перерастяжением - не миф?


Представляю вам один из наших недавних случаев выполнения малоинвазивного остеосинтеза бедренной кости обычной пластиной 95


Получилось очень симпатично, поздравляю и восхищаюсь мастерством.
Хотя закрытый остеосинтез блокированным гвоздем выглядит технически проще, особенно при диафизарных переломах. Не говоря о биомеханических преимуществах внутрикостного имплантата, еще меньшей инвазивности, возможности динамизации при проблемах со сращением... Стоимость гвоздей и пластин сопоставимая, на рынке есть масса отечественных предложений.



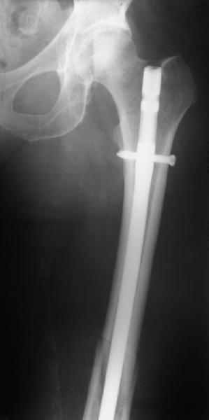
В приложении - недавний перипротезный перелом.
Методичка по закрытому интрамедулярному остеосинтезу при дистальных переломах бедра тут.

  • Сообщения о Ортопедия и травматология
  • Также Alexander Chelnokov
  • Связаться с автором
  • Ответить

    Re: Некорректная установка
    Сергей 04 Сентябрь 2011, 17:43
    Спасибо, рады любой информации, особенно методикам установки. Если бы еще муниципалитет нам гвозди помог приобрести... только мечты.

    [ Ответить ]


    ( Ответить )

    Powered by Zope  Squishdot Powered MedLink
    Посетитель: 0400687
      "По форме правильно, а по существу - издевательство" В.И.Ленин
    ©2001-2019Orthoforum Coordinator.
    [ Главная | Отправить сообщение | Поиск | Админ ]